

X线胸片
通俗地被称为“拍片”,也被列为常规体检的检查项目之一。X线摄影的快捷、简便、经济的优势日渐突出,成为胸部检查的优先选择。但是很多病人在医院拍完胸片后,都不知道病变处是哪里,是支气管、肺、肋骨还是胸膜?

专家


北京航天中心医院 胸外科窦学军主任

拍胸片是为了看看肺部有没有疾患,有没有长肿瘤、肿块或是恶性的病变,也可以查一些良性的疾病,比如肺上有没有阴影、炎症,肺上寒气是不是多,有没有肺气肿。有时也能查看到一些另外的器官情况,比如说肋骨和胸膜是否病变。
拍胸片应注意:
拍胸片前,穿一些薄的,比如棉的衣服,去掉佩戴的首饰。
拍胸片过程中,一定听从医生指挥;
要站着拍摄;
而且期间大概要闭住气大概1、2秒。
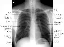
看胸片秘诀:
观察胸廓是否对称, 两侧肋骨肋间隙是否正常;两肺纹理是否清晰,未见明显实质性浸润;两侧肺门纵膈未见明显异常;心脏大小形态在正常范围;膈肌平滑,双侧肋膈角锐利。

拍出结节,心态放好:
正常人如果做体检,大部分人都能发现结节。空气质量不好,或者是不注意保养,吸烟等都会导致结节。
据统计来说,70%以上的人都是良性的结节。比如,胸片常看见的钙化点,钙化点是原来有过炎症,它慢慢愈合了,只不过是它吸收的不是那么太好,但也是一种愈合的方式。所以有结节不一定就是恶性的。
胸片可以发现长到一公分以上的结节 ,而小于一公分的结节,需要做ct检查。
如果要预防结节发生病变就需要定期做检查监测。正常的情况下应该是每年做体检,但是结节五毫米以下的,半年查一次。结节比较大,就要高度怀疑,每三个月再查一次。一般小于一厘米以下的是小结节,主要根据它生长的情况来决定多长时间复查和监测它一下。
胸片,胸透的异同:
其实胸透和胸片原理是一样的,都是放射线成像 。但胸透跟胸片各有优缺点。
胸透是一种可以实时的各个角度观察肺部有没有病变的检查方法,但它的缺点就是没有实物底片。看完以后只有一些透视报告。
胸片一般是照正位和侧位,有底片,但有些角度它不像透视的那么清楚。

拍胸片的辐射问题:
一般拍摄胸片的时候,看到诊室前面提醒,有辐射之类,但我们一年体检一次拍胸片,放射线对我们人体影响很小,甚至可以忽略不计。
但年轻的女性要想怀孕的话,需要提前告诉医生,一般情况下医生会让你穿铅衣来减少对生殖器官的辐射。



< 养生妙招 >


肺是很重要的一个器官,但是有很多人却不知道去保护自己的肺,对于大多数的男性朋友来说,因为经常性的吸烟,自己的肺部健康已经受到了很大的伤害,那么我们该怎么去保护好我们的肺部健康呢?
7种方法保护肺部健康
1、增加抗氧化剂的摄取
富含抗氧化剂和硫代葡萄糖苷等营养素丰富的食品,对于肺部功能和健康都有一定的效果。据研究显示,这种成分蕴含在丰富的十字花科蔬菜(西兰花、油菜、青菜、小白菜等),一周吃5次以上的人比吃这种蔬菜少的人,肺癌发生的危险减低50%多。

2、监视大气状况
现在城市的污染是非常严重的,出现污染程度严重或浮尘、沙尘暴预警的话,一定要采取减少运动,户外活动时要戴口罩等措施。

3、环保产品的使用
油漆、纤维玻璃、洗涤剂、绝缘剂等在家里使用的物品中,有害气体或有毒的物质挥发的话,对肺部健康就会有一定的威胁。所以,家里使用的东西要尽量环保。
4、完全戒烟
吸烟对肺部的影响是最坏的,这是所有人都知道的一个“常识”。吸烟的话,肺气肿、慢性支气管炎、肺癌的风险急增。研究发现,吸烟所呼出的烟气是导致肺癌的主要原因之一。85%患肺癌的人与吸烟有关联,肺部疾病发生的风险高低也和吸烟时间和吸烟量有关。

5、使用呼吸器官保护装备
焊接工程师和建筑工人、油漆工、美容师等,会接触到灰尘、化学物质、烟、废弃物等职业的人们,最好使用呼吸器官保护设备,以保护自己的肺部不被这些物质所侵害。

6、切断室内空气污染物质
现在的污染不仅仅是在室外,室内也存在大量污染。宠物的皮毛或霉菌、建筑材料、芳香剂、通风系统、壁炉等会使室内空气质量降低。室内通风口和地毯等要定期清扫,小心霉变,保持室内环境干净。
7、肺部排毒措施
可借助咳嗽清除肺部的毒素,早上在空气清新的地方或雨后练习深呼吸,深吸气时先缓缓抬起双臂,然后忽然咳嗽,同时迅速垂下双臂使气流从口鼻喷出,将痰液咳出。如此反复多遍,天天坚持这样做,能使肺保持清洁,此外还可以多吃黑木耳,因为黑木耳含有的植物胶质有较强的吸附力,可以清肺,清洁血液,经常食用还可以有效地清除体内污染物质。


《名医坐堂》

网友素素:前段时间我在不知道怀孕的情况下做了胸透,请问大夫这样会不会对胎儿有影响?
窦医生: 这方面肯定得具体咨询妇产的专家,对胎儿的影响程度与怀孕时间长短也有关系,如果怀有胎儿已经超过三个月,基本器官发育成熟了,这种应该影响相对弱一些,早期的可能影响相对大一些。但做了就没必要太焦虑这个问题,因为一般情况下,影响不算很大。

网友小迷糊:室友之前一直咳嗽,我也没太在意,后来她去医院,发现她有肺结核,结果今年体检,发现我也被传染了,这该怎么办?
窦医生:既然已经被传染了,并确诊是结核,那应该去正规医院进行正规的治疗,结核疗程的时间最短也得六个月。结核病是属于传染病,在治疗期间你将被隔离治疗。若真被确诊为结核病,请尽快去医院进行治疗。

感谢阅读!
希望此文能帮助到您!
实习编辑:周倩芝
编辑:何姝寰
统稿:许越淋,尹媛
监制:张磊