神龟虽寿,犹有竟时; 腾蛇乘雾,终为土灰。 老骥伏枥,志在千里; 烈士暮年,壮心不已。 盈缩之期,不但在天; 养怡之福,可得永年。 幸甚至哉,歌以咏志。

联合国将老年人口定义为年龄>60岁的人,但世界卫生组织(WHO)将这一限制定为65岁;健康和生活方式条件的改善表明,这一限制可以提高到 70 岁,尽管这仍然存在争议 。老年人口增长迅速,预计到 2050 年每年增长 2.9% 。胶质母细胞瘤 (GBM) 是中枢神经系统 (CNS) 中第三常见的肿瘤 (14.9%),也是恶性肿瘤中的第一位 (47.1%),通常被诊断出的中位年龄为 64 岁。在过去十年中,>70 岁患者的发病率不断上升。可以预见,随着预期寿命的不断增长,这一比率将在几年内进一步增加。年龄是一个不利的预后因素,由于临床和遗传特征,老年患者的 HGG 似乎具有最具攻击性的行为。尽管这个年龄段的人口在不断增加,但由于老年人的虚弱和众所周知的高级别胶质瘤的侵略性,许多神经外科医生和神经肿瘤学家仍然对老年人群的积极切除手术的好处持怀疑态度。因此,超过65岁的高级别胶质瘤患者甚至没有参与新疗法的临床试验的机会;事实上,他们也代表了Stupp研究中使用 RT 联合替莫唑胺 (TMZ) 的一小部分。
与年轻患者相比,这些患者接受切除术和接受辅助治疗的可能性要小得多,并且通常只提供姑息治疗。幸运的是,由于上述人口结构变化,老年患者的这些肿瘤的管理已成为神经肿瘤学中一个重要且具有挑战性的课题。 科学界已经认识到,高龄不能成为剥夺患者积极治疗方法的唯一原因。 手术计划和围手术期医疗和麻醉支持的创新以及技术进步为更积极地管理 CNS 肿瘤提供了机会,减少了术后并发症。而这样的机会为老年患者最合适的治疗打开了一个悬而未决的问题。
考虑到患者年龄,身体状况及可能的术后并发症等因素,老年人的脑胶质瘤治疗通常困难重重,老年人得了胶质瘤真的就是被宣判了“死刑”吗?老年人身体机能下降,作为子女常常会担心老人不能承受手术或者放化疗的痛苦,经常被问及,能不能不手术,让老人少遭点罪?
“我爷爷已经70好几了,最近一段时间检查出来有脑瘤,去广州看了一下医生,医生说他脑子里有两个跟鸡蛋一样大小的胶质瘤,可能压到了脑神经,四肢都没有力气,吃喝拉撒都要帮忙弄,我看他这样好难受,请问你有什么办法可以帮帮我吗?看到了可以回复一下我嘛拜托了!”
那么,不手术能让老人少遭罪么?老年人得了胶质瘤还有治疗的机会吗?
一、症状管理
神经认知障碍、情感或情绪障碍、癫痫发作、血栓栓塞并发症和疲劳经常发生在老年胶质瘤患者中。支持性护理的目的是缓解疾病的这些症状,这些症状会导致更多的共病、生活质量受损和死亡率。因此,必须为每一位患有神经胶质瘤的老年患者提供症状管理。这种治疗主要包括皮质类固醇和抗癫痫药物。
皮质类固醇是症状性瘤周水肿的治疗支柱,这种水肿更常见于HGG患者。它们缓解继发于水肿的神经系统局灶性缺陷,以及由颅内高压引起的症状,如头痛和呕吐。然而,皮质类固醇与广泛的有害副作用有关,这在老年患者中可能更为明显。骨质疏松症、肌肉和皮肤萎缩、不良精神事件和淋巴细胞减少相关的肺囊病似乎在该人群*特中**别常见。因此,类固醇治疗只能以尽可能低的剂量和最短的持续时间给予有症状的患者。此外,应在这些患者中认真考虑旨在降低此类有害影响风险的预防措施,特别是钾、钙和维生素D补充剂、双膦酸盐疗法、用胃酸*制剂抑**预防胃肠溃疡以及甲氧苄啶/磺胺甲恶唑预防卡氏肺孢子虫肺炎。
癫痫是老年LGGs和HGGs的另一种常见并发症,尽管其表现可能比年轻患者更微妙,并且其存在显著增加了这一脆弱人群跌倒和骨折的风险。癫痫治疗的一般原则也适用于老年患者,但有一些注意事项。抗惊厥药只能给那些癫痫发作的病人开。为了避免药物相互作用和不良反应,特别是在共病的情况下,抗癫痫药物单一治疗与拉莫三嗪或左乙拉西坦是优选的。较低剂量的抗惊厥药和较长时间的向上滴定是可取的。一方面,老年人似乎比年轻的同龄人对抗癫痫药物治疗更有反应。另一方面,在较低的血清抗惊厥药浓度下,他们也更容易出现不良事件,尤其是认知障碍和失衡。因此,患有神经胶质瘤相关癫痫的老年患者应密切监测,特别注意避免抗惊厥药浓度在较高范围内。低于通常有效范围的水平可能适合他们。
患有神经胶质肿瘤的老年患者通常活动能力降低,因此发生深静脉血栓形成和血栓栓塞事件的风险更高。通常需要通过主动和被动动员、压缩储存或低分子量肝素进行充分预防。

除了这些支持性治疗之外,还必须迅速识别情感障碍,如抑郁或焦虑,因为患者也可能受益于心理社会支持和特定的药物治疗,这些治疗也必须以低剂量引入并缓慢滴定。精神兴奋剂如哌甲酯也可以用于某些患者,以缓解限制生命的疲劳,常见于接受放化疗的老年胶质瘤患者。同样,这种治疗也必须以低剂量开始,并逐渐升级。身体和认知康复也可能对患者的生活质量产生积极影响。所有这些支持措施对这些脆弱患者的结果和生活质量的影响应该在进一步的前瞻性试验中进行具体评估。
二、手术切除肿瘤依然是老年患者胶质瘤治疗的首选。
目前已经证实手术能够缓解老年恶性胶质瘤患者的神经系统症状、延长生存期、是患者获得较佳预后的独立因素,单纯手术的效果能够使中位生存期达到5.7-6.75个月。
传统上,老年患者被认为从手术中恢复的速度较慢,并且发生术后神经系统并发症的风险较高。与这种印象相反,最近的回顾性研究表明,老年患者可以耐受侵袭性神经外科手术,而不会增加手术相关的发病率。除了这一观察结果之外,这些研究还表明,与简单活检相比,广泛切除肿瘤对生存率有积极影响。
通常,是否进行活检或更广泛的手术切除取决于肿瘤本身的特征和老年患者的相关合并症。芬兰的一项小型前瞻性试验证实了广泛切除 65 岁或以上恶性胶质瘤患者的有效性,其中大多数为GBM。患者接受立体定向活检或开颅手术并切除肿瘤,然后对两组进行放射治疗。由于样本量减少的限制,该研究已经表明,与针刺活检(2.8 个月)相比,广泛切除与生存率提高(5.6个月)相关。此外,显微外科手术也提高了生活质量。除了这项特定试验之外,主要评估其他治疗方法的几项研究和前瞻性试验也发现切除范围与生存率之间存在独立关联。
但是需要注意的是:对于老年患者,除要评估一般恶性胶质瘤的影像学表现及手术的风险外,还要全面分析患者的生活质量和身体状况,特别是心、肝、肺和肾脏的功能,以及高血压和糖尿病等全身疾病的严重程度。对于生活能够自理,又没有严重的器质性疾病,估计患者能够耐受全身麻醉和一般开颅手术打击的老年患者,并且估计术后偏瘫的发生率较低的情况下,手术是完全可以进行的,而年龄并不是决定是否手术的绝对因素。
老年人手术需要注意的是:手术中要加快操作,尽量缩短手术时间,这样就会减少因麻醉和手术暴露时间过长而对患者造成的伤害。另外,手术后还要加强监测和护理,鼓励尽早进行下床活动,因为手术打击容易引起老年患者的血糖升高、血压升高、肺部感染,以及下肢的深静脉血栓等,特别是深静脉血栓极易发生致命性的肺栓塞。

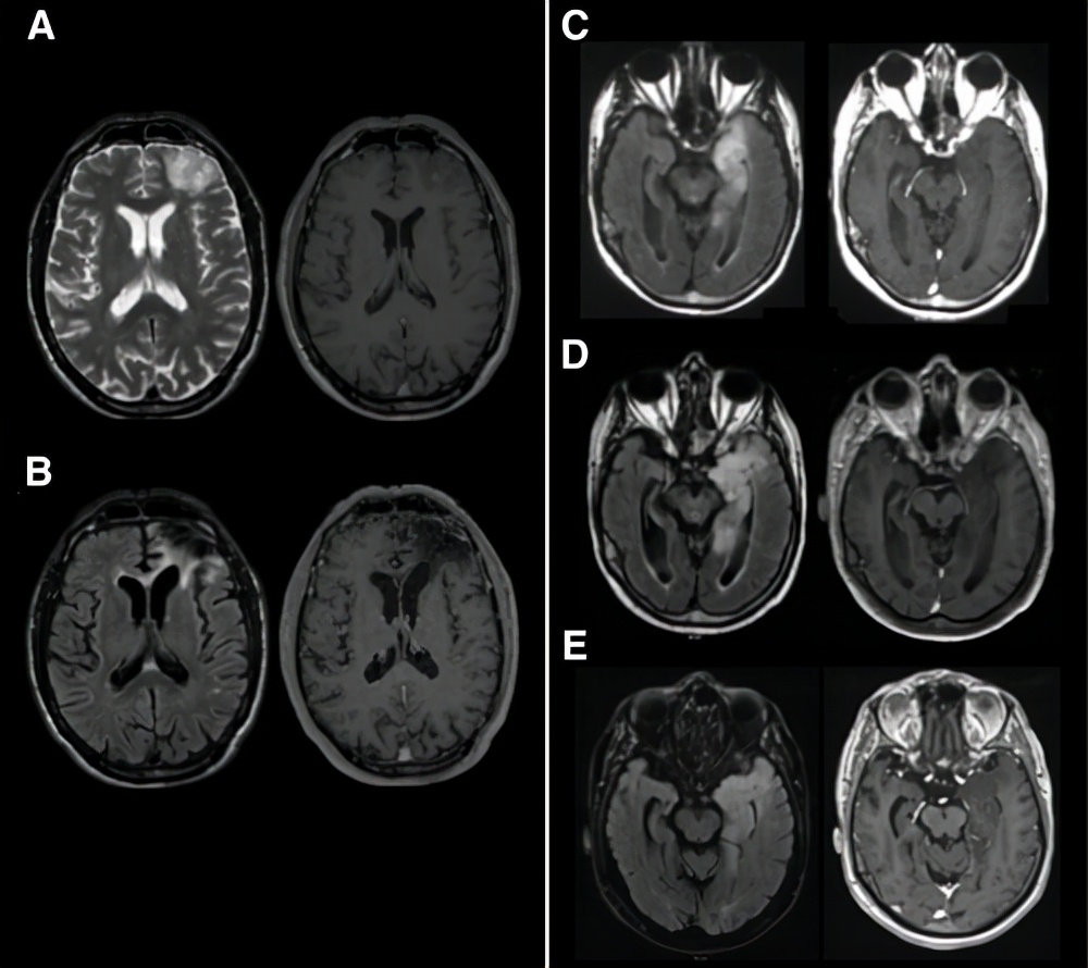
图示: 2 级胶质瘤老年患者的治疗案例。 (A):一名 70 岁男性癫痫患者的术前磁共振成像 (MRI)。该患者接受了手术切除,明确诊断为 1p/19q共缺失、IDH1 突变,2 级少突胶质细胞瘤。没有进行其他辅助治疗。 (B):在手术后 5 年的最后一次随访中,患者状况良好(Karnofsky 表现评分 [KPS] = 90%),MRI 复查病灶稳定。 (C):诊断性 MRI 显示一名 73 岁患者的左侧颞部浸润性病变。进行了活检,无1p/19q共缺失、IDH1突变的 2 级星形细胞瘤的诊断。对患者进行了密切随访,没有进一步治疗。 (D):五年后,观察到进展的影像迹象,并开始用替莫唑胺治疗。 (E):最后一次随访,化疗后 4 年,患者(现 82 岁)临床状况(KPS = 80%)和影像上病变稳定。
三、放疗是老年患者恶性胶质瘤治疗的另一项重要选择。
研究已经证实放疗可以延长老年患者的生存期,对认知功能和生活质量影响较小,目前已成为患者的标准治疗方法,如果与手术配合使用,效果会更好,能够延长中位生存期6-10个月。但是在实际工作中,还要根据病变的情况以及患者的身体状况,适当调整放疗的剂量和时间,尽量减少放疗的副作用。
一项多中心 III 期试验确定了放射治疗在老年 GBM 患者管理中的作用。 81 名年龄在 70 岁或以上、新诊断为 GBM 且 Karnofsky 表现评分 (KPS) 为 70% 或更高的患者被纳入研究。患者被随机分配接受单独的支持治疗或活检或手术切除后的支持治疗加放疗。放射治疗包括分次局部照射,剂量为 1.8 Gy,每天一次,每周 5 天,总剂量为 50 Gy。该研究在第一次中期分析时结束,显示出放疗组的明显优势。在最佳对症治疗中加入放疗的中位生存期益处为 12 周(仅接受最佳支持治疗的患者组为 17 周,而另外接受放疗的患者组为 29 周)。由于治疗的目标是姑息治疗,因此本研究的一个特别重要的发现是放射治疗的耐受性良好,并且不会导致体能状态、健康相关生活质量或认知功能的进一步恶化。
上述试验证实了放疗对体力状态良好的老年 GBM 患者的益处,正如先前的单一机构历史病例系列所表明的那样。鉴于其结果,术后放疗已成为老年GBM患者的护理标准。然而,放射治疗的最佳剂量和时间表仍不确定。除了相关的发病率之外,对于一些预期生存期较短的老年患者来说,在 6 周内提供 60 Gy 的常规放疗疗程可能看起来太长且不方便。因此,短期放射治疗已被建议作为这一选定人群的有效且安全的替代方案。这个问题在另一项随机试验中得到了具体解决。该研究包括 100 名年龄在 60 岁或以上的 GBM 患者。在术后情况下,患者被分配接受常规放疗(60 周内 30 次分 60 Gy)或短程方案(3 周内 15 次分 40 Gy)。两组的生存时间相似(接受标准时间表的患者组为 5.1 个月,而接受较短疗程的患者组为 5.6 个月)。此外,除了缩短治疗时间外,接受简化方案的患者过早停止放疗的比率较低(10% 对 26%),并且需要较少的治疗后皮质类固醇剂量增量(23% 对 49%),因此表明改进的耐受性。尽管如此,这项随机研究的效力不足以得出两种治疗等效的结论。除了这一主要限制之外,两种放射方案的生物学效应也没有严格的可比性。然而,尽管存在上述限制以及来自其他小型回顾性和单臂前瞻性系列评估该问题的限制,但大分割放疗对于老年 GBM 患者似乎是安全可行的。
四、化疗和靶向治疗也是老年患者恶性胶质瘤治疗的一项重要选择。
特别是替莫唑胺化疗药物的出现,为老年患者胶质瘤的治疗带来新的选择,由于该药的疗效和安全性良好,特别是对骨髓的蓄积性毒性作用较小,目前已成为老年恶性胶质瘤患者治疗的一线化疗药物。资料显示替莫唑胺单药化疗的中位生存期为6.4个月。但是对于70岁以上的患者,应该密切注意患者的血象检查,在我治疗的患者中,出现白细胞和/或血小板下降的主要发生在70岁以上的患者。
由于不仅担心毒性而且担心与老年患者放射治疗相关的缺点,替莫唑胺化疗已被研究作为替代方案。它的口服给药和有利的毒性特征似乎更方便,特别是对于那些神经和功能受损较严重的患者。一些回顾性研究表明,在该队列中,替莫唑胺的前期治疗可能与放疗一样有效。
最近,两个大型随机 III 期试验对这个问题进行了调查。北欧临床脑肿瘤研究组试验将单药替莫唑胺(每 28 天,连续 5 天,200 毫克/平方米)与两种不同的放疗方案进行比较,即标准(60 周内分 30 次递送 60 Gy)和大分割(2 周内分 10 次给予 34 Gy)放疗。共有 342 名年龄在 60 岁或以上的 GBM 患者参加了该研究。与标准放疗相比,预先使用替莫唑胺的中位 OS 显着更长(8.3 个月对 6.0 个月)。替莫唑胺和大分割放疗(7.5 个月)或大分割放疗和标准放疗之间没有发现差异。对于年龄大于 70 岁的患者亚组,替莫唑胺(9.0 个月)和大分割放疗(7.0 个月)的生存率均显着优于标准放疗(5.2 个月)。此外,与没有 MGMT 启动子甲基化的患者相比,替莫唑胺治疗与肿瘤具有 MGMT 启动子甲基化的患者的更长生存期相关(9.7 个月 vs 6.8 个月)。 MGMT 启动子甲基化对放疗反应没有显着影响。
德国神经肿瘤学工作组 III 期试验包括 373 名 65 岁及以上的间变星形细胞瘤(11%) 或 GBM (89%)。患者被随机分配接受剂量强化替莫唑胺方案(100 mg/m2,每 14 天 7 天)或标准放疗(60 Gy,6 周内分 30 次)。两组的中位 OS 时间相似(替莫唑胺组为 8.6 个月,放疗组为 9.6 个月),与替莫唑胺的非劣效性定义边界相匹配。 MGMT 启动子甲基化在 53% 的纳入患者中进行了测试,与更长的 OS 相关。两个治疗组之间的中位无事件生存期没有差异,但接受替莫唑胺的 MGMT 启动子甲基化患者比接受放疗的患者更长,而接受未甲基化 MGMT 启动子的患者则相反。在毒性方面,剂量密集的替莫唑胺组中 3 级或 4 级血液学不良事件通常更频繁。
从实践的角度来看,长期卧床和依赖的 GBM 老年患者可能会更好地从单独的化疗中获益。放射治疗,即使在缩短的课程中进行,也需要每天去医院,并导致疲劳增加:因此,对于这些预期生存期如此短的严重残疾患者来说,这被认为是不方便的。在这种情况下,一项 II 期非随机多中心试验表明,在 70 岁或以上且 KPS 低于 70% 的 GBM 患者中单独使用替莫唑胺化疗使这些患者中有四分之一能够自我护理。令人鼓舞的 25 周中位生存期远远超过了仅接受最佳支持治疗的类似患者群体所假设的 12 周中位生存期。该试验还证实,即使在 KPS 较差的患者中,替莫唑胺也具有可接受的毒性特征,其 3 级和 4 级血液学毒性与在年轻和健康的患者中观察到的相当。虽然这些结果应该在随机试验中得到验证,但他们认为,对于那些仍然通常将对症护理作为唯一治疗选择的严重受损患者,单独使用替莫唑胺可能是一种有用的替代方案。
最近,另一项多中心 II 期试验评估了前期替莫唑胺(130-150 mg/m2,每 4 周 5 天)加贝伐单抗(每 2 周 10 mg/kg)在体能状态不佳的老年 GBM 人群中的疗效和安全性。 包括 66 名 70 岁或以上 KPS低于70% 的患者。 初步报告的中位 OS 为 24 周,38% 的患者暂时能够自我护理。 这些结果与上述之前单独使用替莫唑胺的试验中获得的结果非常相似,因此证实了基于替莫唑胺的治疗可以帮助这些患者,并表明预先加入贝伐单抗似乎不会带来额外的好处,这一结果确实 不建议需要进行 III 期评估。

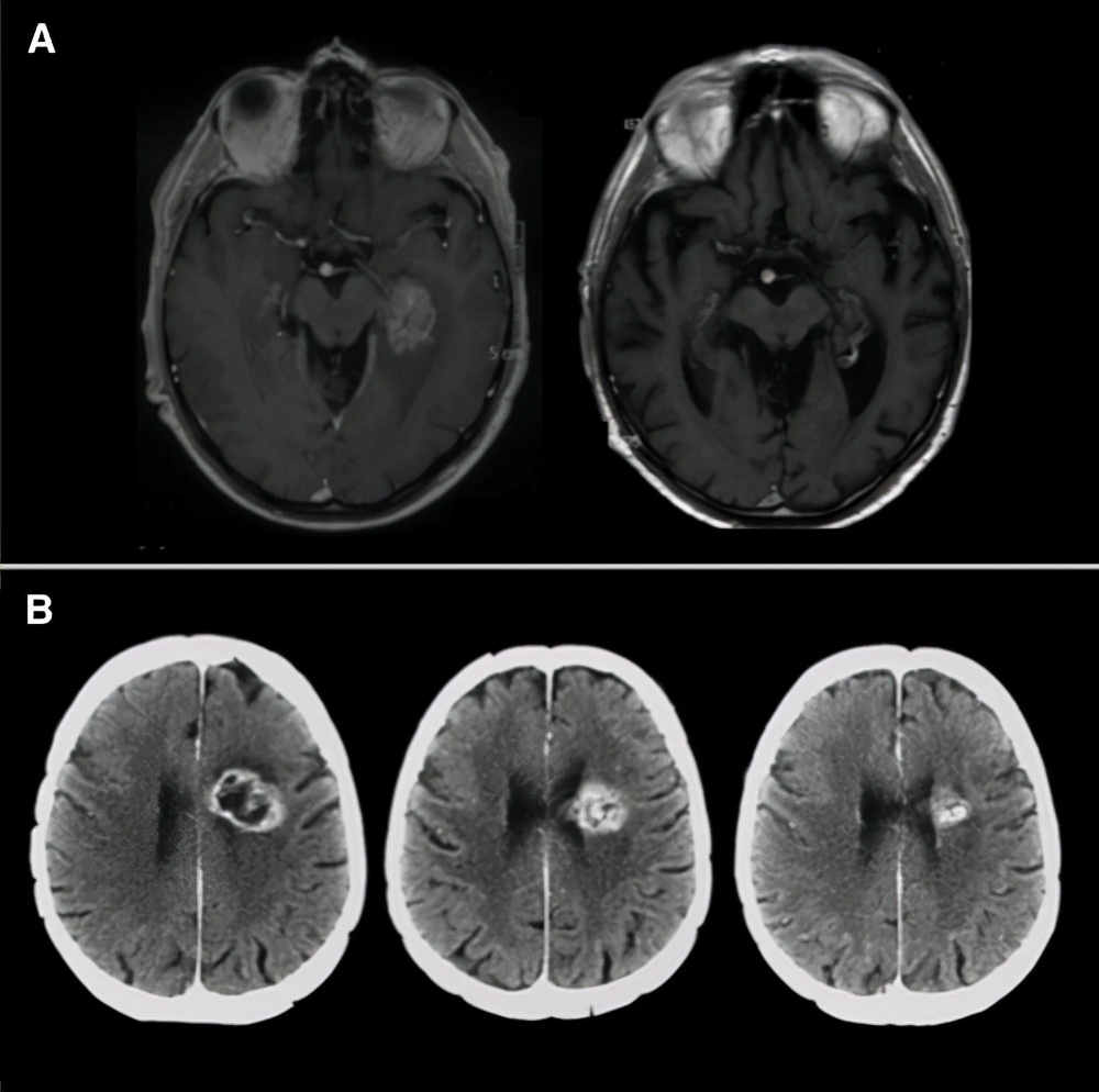
图示:3级胶质瘤老年患者的积极案例。(A):左:70岁患者术前磁共振成像(MRI)。病人接受了病变的活检。明确诊断为无1p/19q共缺失,IDH1突变3级少突胶质细胞瘤。患者进一步接受放射治疗,同时辅以替莫唑胺。右图:诊断后7年进行的脑核磁共振成像,显示持续完全缓解。卡诺夫斯基的表现得分是80%。(B):左:74岁患者活检后脑CT扫描图。病理诊断为3级少突胶质细胞瘤。中:前期替莫唑胺治疗4个周期后CT扫描,显示部分缓解。右图:预先用替莫唑胺治疗12个周期后的CT扫描,显示部分反应。无进展生存期为25个月。
五、替莫唑胺同步放化疗后继续服用的辅助治疗方案。
对于身体状况良好的老年恶性胶质瘤患者也是一种合理且可耐受的治疗方法。资料显示在手术后辅助同步放化疗方案,能够使患者的中位生存期达到9.3-13.7个月。
2005年,欧洲癌症研究与治疗组织(EORTC)和加拿大国家癌症研究所(NCIC)进行的一项随机III期试验表明,在术后放疗中加入替莫唑胺的伴随和辅助化疗显着提高了生存率。 GBM 患者与单独放疗相比(14.6 个月对 12.1 个月)。虽然在61-70岁的患者中没有观察到中位OS差异,但在老年患者亚组中也记录了联合治疗的长期益处。然而,由于该试验仅包括18-70岁的患者,因此这种多模式治疗方案仅成为非老年 GBM 患者的护理标准。因此,在老年GBM患者的管理中出现的问题是,与单独放疗相比,在放疗期间和放疗后添加这种烷化剂和放射增敏剂是否也能提高此类患者的生存率。然而,将这种放化疗方案转移给老年人的主要担忧是神经和血液毒性的风险,这可能会损害这些患者的生活质量。在放疗中加入替莫唑胺是否会增加神经认知缺陷的风险(尤其是在许多患有无症状脑血管病或轻度认知障碍的患者中)仍然是一个悬而未决的问题。
在生存方面,几项回顾性研究和一项荟萃分析表明,采用这种联合方法治疗的老年患者有很大的益处,生存时间为 10 至 14 个月。在老年患者中,那些合并症低且预后因素更有利(如广泛切除和良好的身体状况)的患者似乎受益最多。然而,据报道,神经系统治疗相关毒性的发生率高达 40%–56%。
最近,一项独特的多中心非随机 II 期试验专门评估了 71 名老年 GBM 患者接受短期放疗联合和辅助替莫唑胺治疗的疗效和安全性。观察到有希望的 12 个月中位 OS。所有患者均完成了计划的放射治疗过程。15% 的患者发生了 3 级和 4 级中性粒细胞减少症和血小板减少症,在辅助治疗阶段,仅 1 名患者报告了与神经系统治疗相关的显着毒性。重要的是,这种治疗方案与大多数评估的健康相关生活质量领域和神经认知功能的维持甚至改善有关。
关于联合放化疗与替莫唑胺对老年 GBM 患者的疗效和安全性及其对生活质量和认知的影响的明确结果需要通过随机 III 期试验进行验证。这种由 NCIC 和 EORTC 进行的比较 65 岁或以上 GBM 患者短期放疗联合或不联合替莫唑胺的随机临床试验最近已经完成,并将很快为上述问题提供答案。
六、姑息治疗是老年恶性胶质瘤患者的最后选择。
对于肿瘤位置深在,估计手术风险极高,或者身体状况较差,又患有心脏病、糖尿病等严重身体疾病的患者,如果手术、放疗和化疗都无法进行了,则营养支持和精神安慰等则可能要成为主要的治疗内容了。对于这样的情况,我的建议是首先要尽量减少患者的痛苦,其次是要给予精神和心理方面的安慰,再次就是要加强营养和护理,尽量减少肺部感染、静脉血栓和褥疮等的发生。
总之,对于老年的恶性胶质瘤患者,在各方面条件允许的情况下,手术+放疗+化疗依然是主要的治疗策略,不能因为年龄较大就轻易放弃治疗,因为恶性胶质瘤的整体治疗效果虽然还不是很理想,但不能排除有出现奇迹的可能,放弃治疗就等于放弃了一切希望。 一般来说,没有接受这些治疗的患者,即使给予最好的营养支持治疗,其中位生存期也就在为4个月左右。

结论
老年原发性脑肿瘤患者的治疗应该是个体化的,年龄本身不应排除使用更积极的治疗。 在老年患者中,没有建立标准的治疗方法,因此实际上有很多研究来评估老年胶质母细胞瘤患者的治疗方案和结果。根据不同的因素如合并症或分子因素,可以有效地提出最佳的治疗方案。伴随病少的患者可以积极治疗,即使他们的表现状态很差。然而,以往与严重共病相关的自主性丧失的虚弱患者应推荐较不积极的治疗。因此,在老年患者中,老年性评价比表现状态更能帮助明确老年患者的定义。 支持护理在老年胶质瘤患者的治疗中起着重要的作用。
参考资料:
1.https://doi.org/10.1634/theoncologist.2014-0170
2.https://doi.org/10.1155/2014/734281
3.doi:10.3389/fonc.2020.631255