
科普指导:深圳市中医院骨二科脊柱1组 何升华、任之强

刘阿姨因腰痛导致活动受限,行走困难,影响生活质量,加左侧下肢放射痛到深圳市中医院骨二科脊柱1组住院治疗。
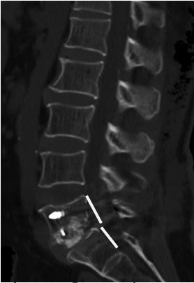
在完善了相关检查后刘阿姨被确诊为腰椎滑脱症—腰5椎体II度向前滑脱。

腰5椎体2度
向前滑脱
脊髓受压变形

由于刘阿姨的腰椎滑脱情况严重,曾经过一段时间的保守治疗却效果不佳,何升华主任决定采取手术方法复位滑脱椎体,解除神经压迫症状。

术后腰5椎体
完全复位
脊髓压迫
完全解除

腰椎内
固定术后
螺钉内固定

01
腰椎滑脱是什么?
顾名思义,腰椎滑脱是腰椎椎体之间的位置错位,一般以下位椎体为基准,根据上位椎体滑动的方向分为:前滑脱、后滑脱及左右滑脱。
根据滑脱的轻重程度,通常分为一度滑脱、二度滑脱、三度滑脱和四度滑脱。
02
腰椎滑脱的病因
1、先天性滑脱;
2、椎弓峡部崩裂;
3、腰椎退行性病变;
4、创伤性滑脱;
5、病理性滑脱;
6、医源性滑脱。其中又以峡部裂性及退变性多见。
03
腰椎滑脱的危害
腰椎滑脱发病年龄常见于20~50岁,男性多于女性。常见部位是腰4和腰5。

腰5是整个脊柱的尾段,好比是摩天大厦的一楼,腰4椎体好比是二楼,一旦大楼最底层这个地方出了问题,可想而知这个大厦就会变得摇摇欲坠,同理整个脊柱也会因为腰椎向前滑脱而变得重心不稳。
每一次腰部用力时,滑脱的椎体与相邻椎体之间都会相互滑动,导致腰部不能承重、不稳晃动感、疼痛。基础不稳,久而久之,上面的其他椎体之间也会出现问题,表现为腰椎间盘退变加速,不仅是临近的椎间盘受到影响,远处的间盘也不能避免受害。
我们常说上梁不正下梁歪,临床上经常见到因为腰4滑脱,慢慢就出现了上面椎体间的脊柱侧弯和后凸畸形等严重的脊柱畸形。
除此之外,滑脱导致椎体间的错位会对神经产生剪切性挤压。使得走行在椎孔里边的神经被紧紧牵拉住无处躲避,只好被错位的各种结构压迫。
04
腰椎滑脱的临床表现
腰椎滑脱所引起的临床症状有很大的变异性,并非所有的滑脱都有临床症状,且不同的患者可能临床症状的表现及轻重不一。这除了与脊柱周围结构的代偿能力有关外,还取决于继发损害的程度,如关节突增生、椎管狭窄、马尾及神经根的受压等。
早期腰椎滑脱者不一定有症状。部分患者可有下腰部酸痛,其程度大多较轻,往往在劳累以后加剧,也可因轻度外伤开始。适当休息或服止痛药以后多有好转,所以病史多较长。
腰痛初为间歇性,以后则可呈持续性,严重者影响正常生活,休息也不能缓解。疼痛可同时向骶尾部、臀部或大腿后方放射。
若合并腰椎间盘突出症,则可表现为坐骨神经痛症状。若神经受压或合并腰椎管狭窄则常出现间歇性跛行。滑脱严重时,马尾神经受累可出现下肢乏力、鞍区麻木及大小便功能障碍等症状。
05
腰椎滑脱的治疗

1、腰椎一度以上的滑脱同时存在临床症状、非手术治疗不缓解的时候需要进行手术;
2、二度以上的腰椎滑脱或者腰椎滑脱进行性加重的情况下需要进行手术;
3、腰椎滑脱并伴有神经根或者马尾神经受压,有症状的患者需要进行手术。手术方式包括受压神经的减压,滑脱椎体的复位,以及滑脱椎体和邻近椎体的融合以及内固定。

何升华

深圳市中医院脊柱科主任,主任医师,教授,博士生导师。
欧美脊柱微创访问学者,中华中医药学会脊柱微创专家委员会常委,中华中医药学会骨伤科分会委员、中国中西医结合学会骨伤科分会椎间盘退变与修复专家委员副主任委员,中国中西医结合学会骨科微创脊柱内镜学组常委、中国中西医结合学会脊柱医学专业委员会委员、中国医疗保健国际交流促进会脊柱内镜委员,广东省康复医学会脊柱疼痛与内镜技术专业委员会副主任委员,广东省中西医结合学会骨科微创专业委员会常委、广东省中西医结合学会脊柱医学专业委员会常委、广东省医学会脊柱外科分会委员、广东省医师协会骨科医师分会委员、深圳市中医药学会骨伤专业委员会员副主委、深圳市中医药学会骨质疏松专业委员会副主委、深圳市医管中心脊柱质控中心委员、深圳市骨科学会脊柱学组委员,深圳市脊柱微创学组副组长。
主持的“过伸牵引弹性按压法治疗胸腰段椎体压缩性骨折的临床研究”课题,荣获中华中医药学会科技进步二等奖(201002-35 LC-39-R-OI),荣获全国“郭春园式好医生”称号,深圳市优秀中医,深圳市中医院“十佳医务工作者”。
精于中西医结合诊治骨伤科疑难病症,脊柱及相关疾病治疗,骨质疏松症治疗。擅长脊柱外科、经皮椎间孔镜(PELD)微创手术治疗腰椎间盘突出症、椎管狭窄症,MED微创治疗颈、腰椎退变性疾病,脊柱脊髓神经损伤手术治疗,脊柱畸形矫正、骨质疏松椎体骨折微创治疗等。发表SCI论文2篇(Spine1篇),专业论文40余篇。