近年来,对甲状腺微小乳头状癌(PTMC,≤10mm)的过度诊断和过度治疗呼声越来越高。
甲状腺结节的过度诊断和过度治疗,是一普遍问题,已经引起全世界医疗界的重视。最近,3个甲状腺微小癌病例,引起我的一丝隐忧。
病 例
一位甲乳外科医师得意地讲,他成功做了一例3mm的甲状腺癌。
内分泌科医师要求会诊一个病人,女性73岁,有多个3类结节,其中一低回声结节5mmX5mm,超声报告TI-RADS 4b结节,是穿刺还是手术?
在超声会上,一位资深主任医师展示超声造影明确诊断一个直径5mm微小癌,被手术病理证实。
甲状腺结节不管大小,超声检查明确性质是最基本要求,不能称之为过度诊断。可疑恶性结节不论大小,一刀切之,就有过度治疗之嫌。
例1的微小癌直径3mm,例3的微小癌直径5mm,都做了甲状腺切除术。手术有疤痕,还要终生补充甲状腺素。例2是73岁女性,甲状腺增大,多个良性结节,1个5mm的恶性结节,如果行手术切除,因多发结节多年生长,可能与周围组织粘连,不可避免导致周围组织损伤,老年患者的重要器官和功能能否耐受手术,还未可知。
一般人谈癌色变,可以理解,作为医务人员,身为甲状腺专业医生对此应该有较深入的认识。治病救人,应采取最恰当的治疗方案,针对每一位患者,选择效果最好、损伤最小、保持功能,符合美容,这才是医生追求的最高境界。
甲状腺微小癌的处理方法与患者年龄、病灶部位、病变大小和有无淋巴结转移密切相关。
对甲状腺微小癌的处理业界有如下共识:
1、 超声报告TI-RADS 4b类结节,有30%以上的恶性风险,直径接近1cm建议穿刺。
2、 直径小于5mm的4类结节,不建议穿刺。因结节太小穿刺的阳性率不高。穿刺还有弊端“刺激惰性”,“鼓励”发展。如果近期不考虑手术,最好不要穿刺(图1)。
3、 对年龄大于60岁的微小癌患者,建议长期观察。因为甲状腺乳头状癌受体内激素的影响,年龄越大越趋于惰性,进展缓慢。如例2患者73岁,这一恶性小结节可以置之不理(图2)。
4、 对青年人的微小癌要加以重视,密切观察,积极干预。尤其是20岁左右的青年人,甲状腺癌发展快,1年左右可见增大。
5、 超声医师要注意微小癌的位置,如果癌灶位于包膜,癌细胞容易穿过包膜发生颈部淋巴结转移。
6、 超声医师要特别注意扫查Ⅵ区(中央区)淋巴结,这是甲状腺癌转移的第一站,如果发生淋巴结转移,说明恶性程度高,发展快,结节不论大小都需要手术(图3)。

图1 A. 左侧甲状腺低回声结节,5mmx4mm,TI-RADS 4a类;

图1B.右侧甲状腺低回声结节,4mmx3mm,TI-RADS 4b类

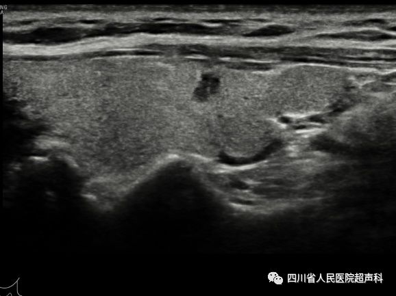
图2 女,61岁,右侧甲状腺低回声结节7mmx6mm,TI-RADS 4a类

图3 女,24岁,右侧甲状腺结节9mmx8mm,右颈Ⅵ区淋巴结4mmx3mm,TI-RADS 5类,病理TPC。行甲状腺右侧叶+峡
甲状腺微小癌的区别对待
1、 发生在甲状腺组织内,距包膜1mm以上的TPMC,无淋巴结转移,可以采取热消融治疗。热消融治疗简单、损伤小,费用低,保留甲状腺组织维持正常功能,不留瘢痕,尤其适合年轻人。病灶小、吸收快,效果可达100%(图4)。有颈部淋巴结转移者是消融治疗的禁忌症。

图4 女,34岁,甲状腺结节TI-RADS 4c,FNA:TPC,无淋巴结转移,行微波消融治疗
2、 结节不管大小,只要有颈部淋巴结转移,都应该手术。侧叶+峡部切除+淋巴结清扫=甲状腺癌根治术。手术方法两种,颈前部切口和内窥镜手术。内窥镜手术取道口腔、乳头,操作难度大,损伤大,优点是可直视不留瘢痕,也有两者结合减小切口。
3、 对年龄大于60岁的微小癌患者,尤其是小于5mm的 4类结节,可以长期观察,也可不予理睬,无需大动干戈。
后记
人群中67%患有甲状腺结节,90%是良性,不论是良、恶性绝大部分都可以与人相伴终生。谈癌色变,人人都知癌症的危害性。但是,甲状腺癌有其特殊性。甲状腺乳头状癌绝大多数趋于惰性,发展缓慢,3年5年无变化,10年无症状,20~30年不影响生命,彻底治愈达95%以上。
甲状腺微小乳头状癌(TMPC)是指最大直径小于1.0cm的乳头状癌,可以多年不变。鉴于甲状腺癌的特殊性,ACR(2017)TI-RADS 白皮书提出,4类结节大于1.5cm、5类结节大于1cm才穿刺,对4类小于1cm的可疑恶性结节,建议一年一次或者隔一年一次复查,如果观察5年没有变化,可以视为良性(图5)。良性结节直径大于3cm才建议穿刺。
不论是超声医师还是临床医师都应该深入了解甲状腺癌的转归,给病人以最合适建议和采取最恰当的处理方法。

图5 女,25岁,甲状腺低回声结节观察6年无变化,FNA:(-),行微波消融治疗