首页 ›
最爱宝贝 ›
小儿水痘的症状和治疗 (家里小孩得水痘大人怎么预防)
小儿水痘的症状和治疗 (家里小孩得水痘大人怎么预防)
🏷️ 最爱宝贝
✍️ 帮助各位爸爸妈妈解决关于宝宝问题,帮助宝宝健康成长。
📅 2026-03-19T00:47:56+00:00
水痘是一种轻度传染病,在幼儿时期比较常见。它有2-3周的潜伏期,在晚冬和春季的发病率最高。

1、水痘的症状

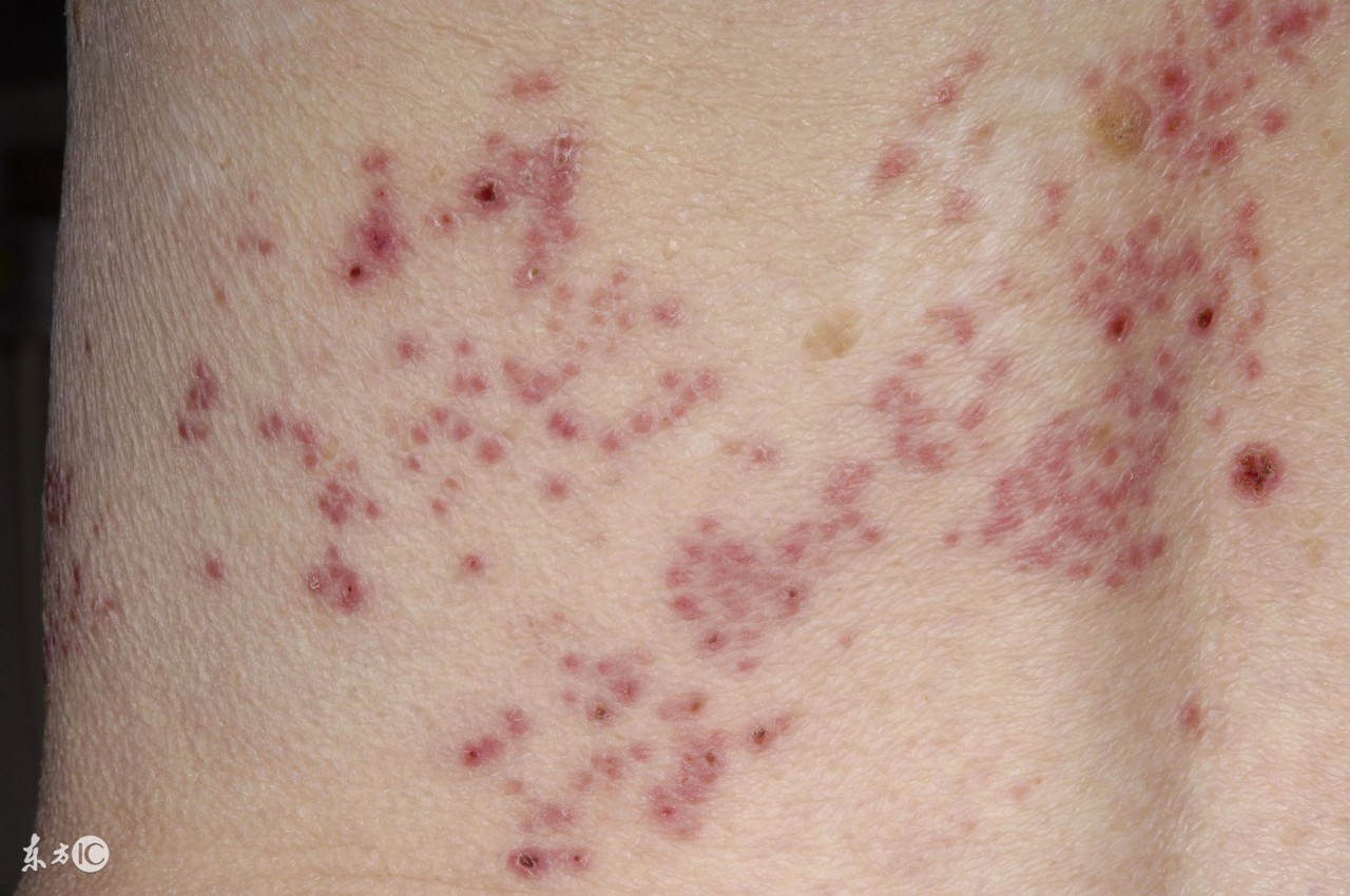
水痘的典型症状是一种伴有瘙痒感的疱疹样皮疹,伴有轻度的头痛发烧。水痘皮疹开始多出现在躯干部,然后波及到面部和四肢。

皮疹在5-6天内陆续分批出现,一般为2-3批,初出时为红色的斑丘疹,很快转为有红晕的发痒的水疱,几天后水疱干燥结痂,同一时期可见到以上三种不同形态的皮疹是水痘的特征,最后痂皮脱落。如果水疱出在口腔内部,破裂后易发生溃疡,孩子饮食时会感到疼痛。

2、水痘症状并不严重,但如果孩子忍受不了瘙痒,用力抓破水疱,就可能引起继发感染,皮疹痊愈后可能会留下色素沉着或疤痕。此外,水痘可能引起肺炎和脑炎两种并发症。

如果皮疹发生感染,医生会开一些抗感染药膏或口服抗生素。如果有可能出现并发症,医生会给孩子注射免疫蛋白来加强机体抵抗力,或让孩子住院,接受5天左右的抗病毒药物治疗。在孩子因剧烈瘙痒影响睡眠时,医生可能开一些镇静剂来改善的睡眠。

3、水痘的护理

在孩子的皮疹患处涂上医生建议用的软膏,或用加入可溶性苏打的温水给孩子洗澡,可以减轻瘙痒感。对于婴儿,这时最好别用尿布,以促进水疱尽快结痂。把孩子的指甲剪短,告诉他不要去抓痒(孩子太小时可用纱布做成手套给他戴上)。在痂皮脱落前,不要让孩子和其他孩子接触,以免传染。

患儿一般可以在7-10天完全康复,并获得终身免疫。不过此后孩子体内会带有一种处于潜伏状态的病毒,一旦激活有可能引起带状疱疹。

水痘是一种常见病,尤其是冬季、春季,爸爸妈妈做好孩子的保护,让孩子健康成长。