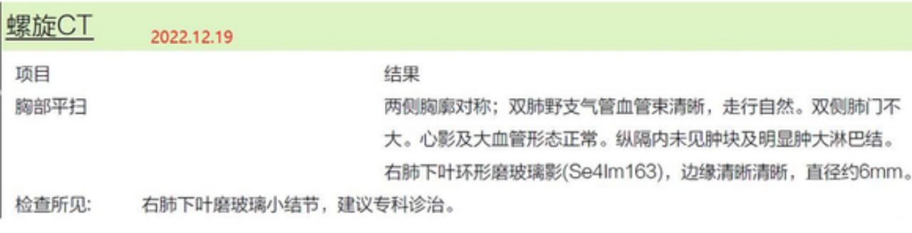
#重庆头条#
#我在头条搞创作第二期#
#健康科普大赛#
我相信作为医生,很多时候要有自己的判断和理解。要将所有的检查结果,自己的经验和现实中最安全、最先进的治疗理念融合在一起,进行精准诊断和妥善治疗。可以说是一定要 目瞭则形无不分,心敏则理无不达。
今天的这位朋友,即是患者,又是家属(这点情况对于一般家庭来说的确会较为麻烦,但是相信我,肺结节有我,不用担心)。夫妻二人在体检的时候都发现了肺结节,这位朋友的还好,但是她老公的磨玻璃结节变化却较为明显。磨玻璃结节的尺寸7个月时间就从8mm迅速长到19mm,有些地方的医生就直接给出了“恶性”且需要立刻手术的判断(这时候我还是想说一下,作为医生,一定要充分循证,一定要充分沟通,一定要从患者角度上去思考,不能只凭一些简单的依据就直接给出了“恶性”这么重的判断,这样会给患者和家属带来没必要的心理负担,会很严重影响他们的日常生活的)。
了解我的朋友都知道,我曾经科普过,如果短时间内磨玻璃结节出现很大尺寸的变化,且没有其他因素佐证。那么先考虑是炎症导致的结节变化,先消炎处理,同时进行随访即可。这样一来,既不耽误病情,又可以避免过度治疗。
我看完片子,给了这位朋友和家人一颗定心丸,炎症随访。果不其然,三个月过去,结节减小,后期继续随访,有变化了再进行治疗即可。
以下转自患者家属咨询:
2022-08-11
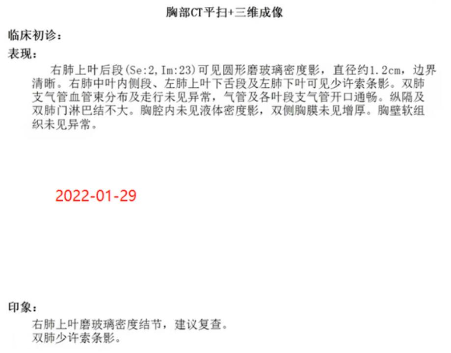
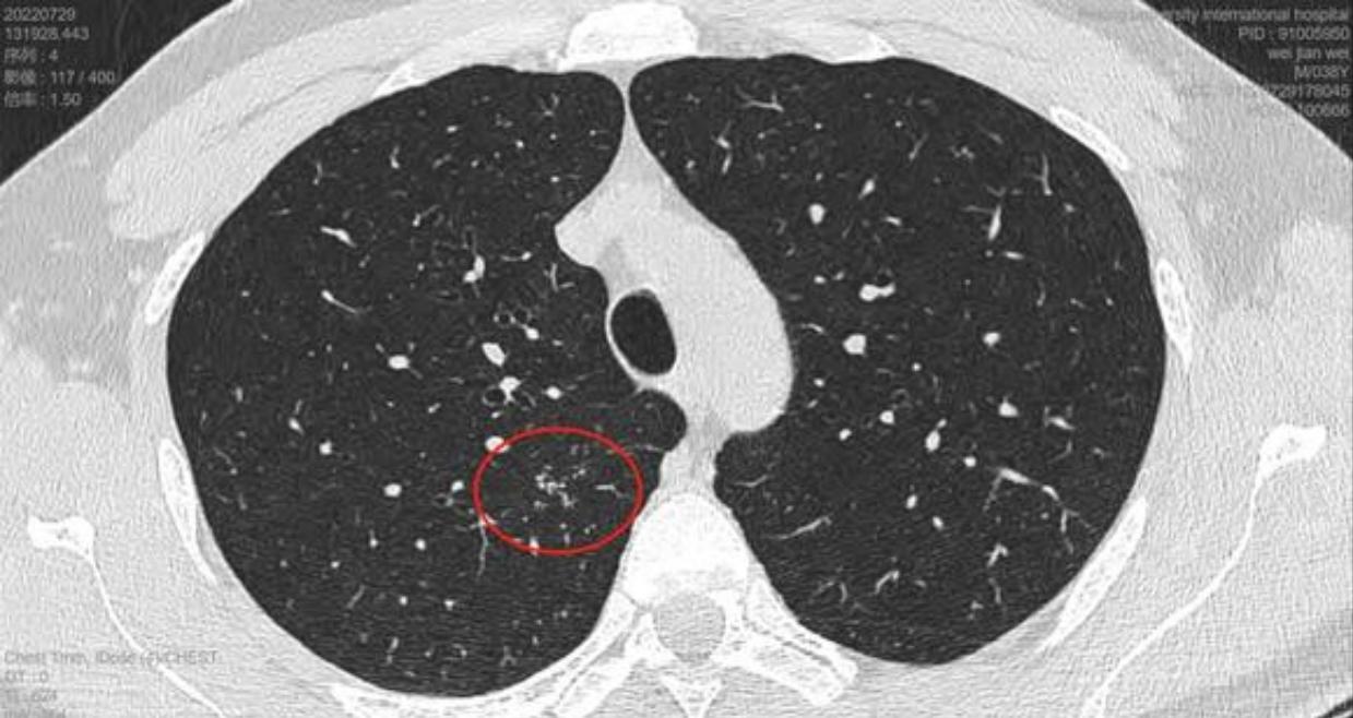
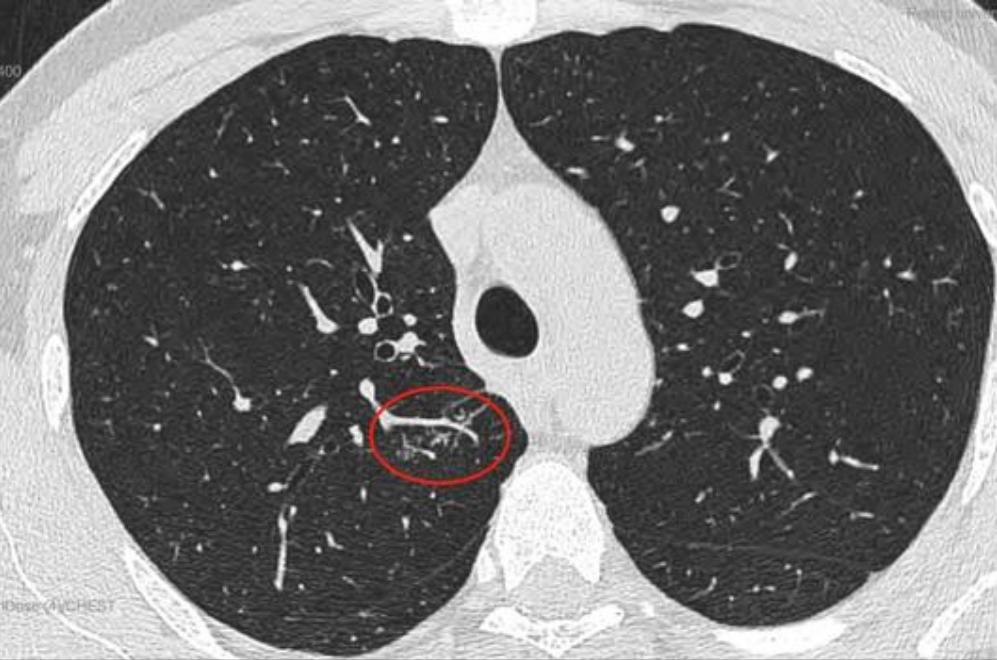
各位好,我和爱人2021年12月份参加公司体检,首次发现肺结节(之前重未做过胸部螺旋CT),我的是7mm,变化不大,暂且不说,但是老公的磨玻璃结节最初发现8mm,7个月后变成了19mm,非常恐慌,我瞬间感觉俩小孩没有家了,请各位帮忙看看我老公的情况,在此跪谢!!!体检机构不给片子,描述如下:
两侧胸廓对称;双肺野支气管血管束清晰,走行自然。双侧肺门不大。心影及大血管形态正常。纵隔内未见肿块及明显肿大淋巴结。右肺上叶后段亚实性结节状影,边缘不规则(Se4Im89),直径约8mm。右肺下叶钙化灶(Se4Im187)。右肺中叶叶间胸膜下斑索状影,边缘较清晰(Se4Im230),直径约3mm。(2021年12月体检发现)
第一次复查:
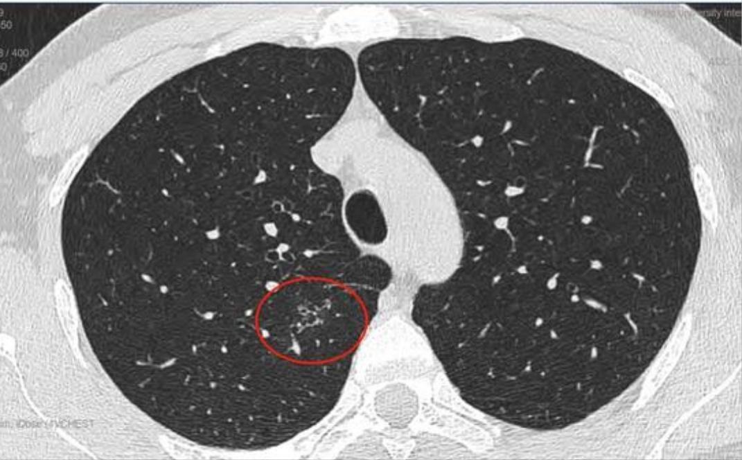
2022年1月29日首次去A医院复查,40天后长大了,直径1.2cm了,不知道是体检机构有误差,还是确实长大了,看了医生说可能是炎症,开了半个月的消炎药(左氧氟沙星片+头孢地尼分散片),2022.2.18-3.4 期间服药。

这A医院可以在微信公众号上看到CT结果, 截图如下(不知道截的对不对)

第二次复查:
吃完消炎药过了20多天后,2022年3月30日去同一家A医院复查拍CT,检查结果如下图,结节没变化。

CT影像没找到(我抽空去医院放射科问问如何拷贝出dicom格式)
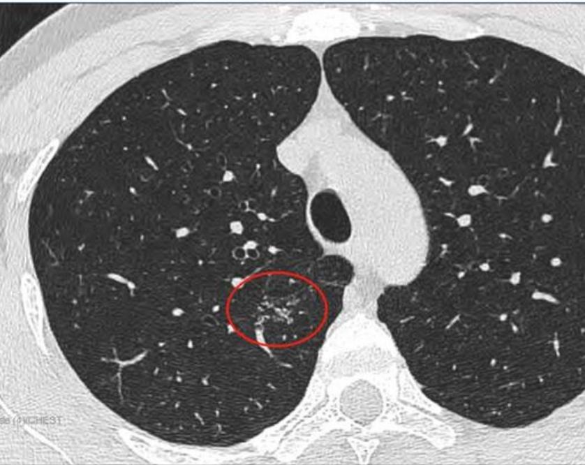
第三次复查:
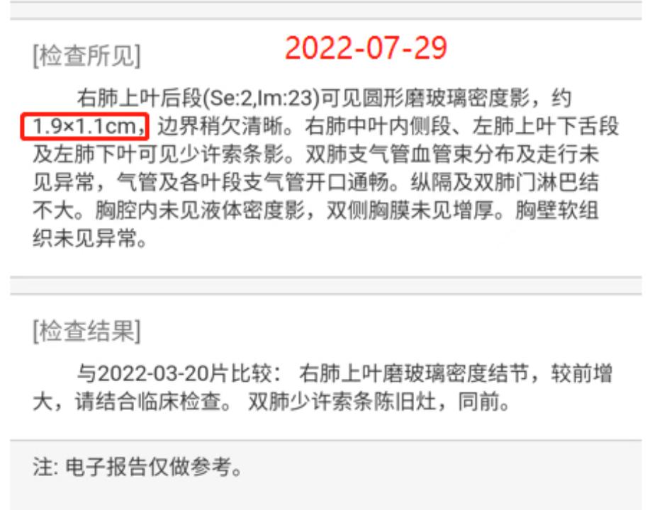
2022年7月29日去同一家A医院复查拍CT,检查结果如下,四个月后,结节从1.2变成了1.9 cm,发现结节长这么快,真的很慌,我老公不抽烟不喝酒,身体一直比较健康,没有住过院都,也没有家族史,不知道一下就长这么大一个结节,求助各位病友,各位医生,还有敬爱的戴主任,麻烦各位有经验的帮忙看看,我们目前只看上一个北京三甲医院普通号的大夫,大夫只说磨玻璃不应该长这么快,长的挺奇怪,不典型,其他没说什么,还没挂上其他医院的号,先麻烦各位帮忙看看,万分感谢!

CT截图:










我的回复:
像炎症,建议口服进口拜复乐半个月,夏枯草口服液一个月,三个月后复查,应该能缩小
2022-08-26
戴主任您好,我8月11日发过一个帖子“求助夫妻二人都发现肺结节……”给我老公问诊他的肺结节,他的肺结节从去年12月份发现以来,8个月间,从0.8cm长到了2.3cm,看过北京的三甲医院,医生都说不典型,不像肿瘤,让看呼吸内科。按您的诊断“口服拜复乐半个月,夏枯草一个月”买到药后从8月15号开始服用,3个月后复查有结果了,一定跟您汇报。
今天辛苦您给我诊断一下,我38岁,俩孩子的妈妈,平时身体健康,无三高,从不喝酒抽烟,除了生孩子都没去过医院,但有家族史,姥姥因肺癌去世,我妈去年十月份脑梗复发拍CT时也发现了肺结节(直径1.5CM,老家医生判断是肺腺癌,说不能做手术因为有高血压、糖尿病、脑梗、右侧颈动脉堵死,等我要到了CT电子版再发帖麻烦您)
一、我也是去年12月份体检首次发现的肺结节(无胶片无电子版),报告如下:

二、2022年4月13日第一次复查XH医院拍了CT,医生说不太好,恶性风险高,需要手术;去肿瘤医院问了一个医生说,比较小,也没有明显的恶性特征,3个月后再拍CT复查。

CT截图:




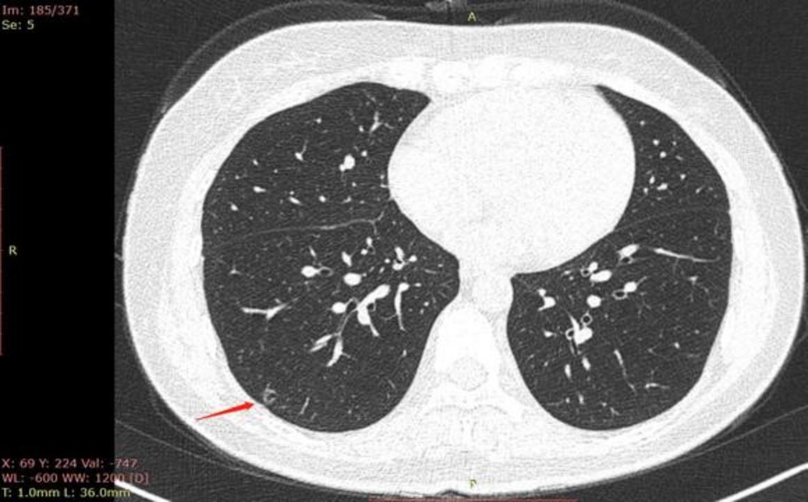
三、2022月7月14日第二次肿瘤医院复查拍CT,结果如下:

看了医生,医生说比较小,也没有明显的恶性特征,比较特殊,不是实性也不是磨玻璃的,中间可能是空气,一个空腔,可能就是介质,3-6个月后随访
这次CT没有电子版,也没有截图,肿瘤医院不提供。
戴主任,请您帮我看看,看的这俩医生说的大相径庭,好在结节大小没什么变化,我们夫妻二人还不敢告诉家里其他人,未来不知道还能陪伴孩子多久,看着8岁的和3岁的孩子,真是不敢想象,辛苦您了,跪谢!!!
我的回复:
现有片子没办法100%精准诊断,但可以保证的是随访肯定安全。建议半年后复查1mm以下的薄层CT再精准诊断。也可以口服拜复乐半个月试试。
家属回复:
谢谢戴主任,周末还在为我们义诊,我们夫妻俩也是无奈长的结节都是不典型的,不好诊断的,但愿是上天跟我们开了一个玩笑,我也会吃半个月拜复乐试试,我没吃过消炎药,等以后复查有消息了再跟您报告。再次感谢主任,您注意好身体。
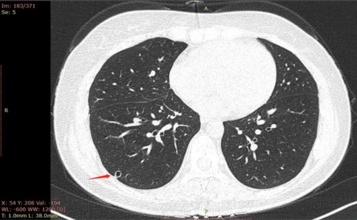
2022-11-17
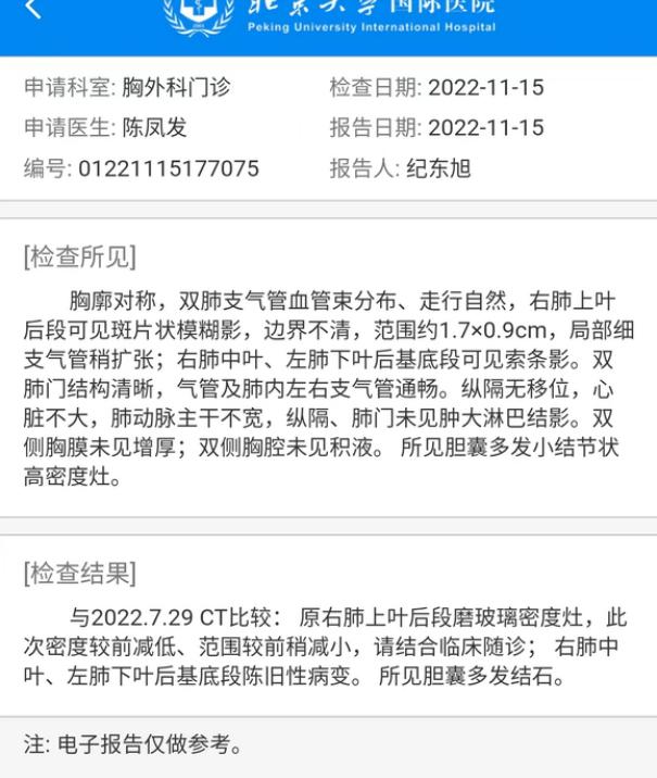
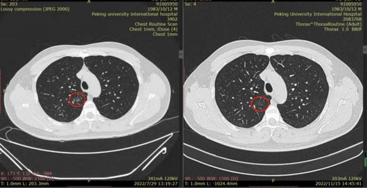
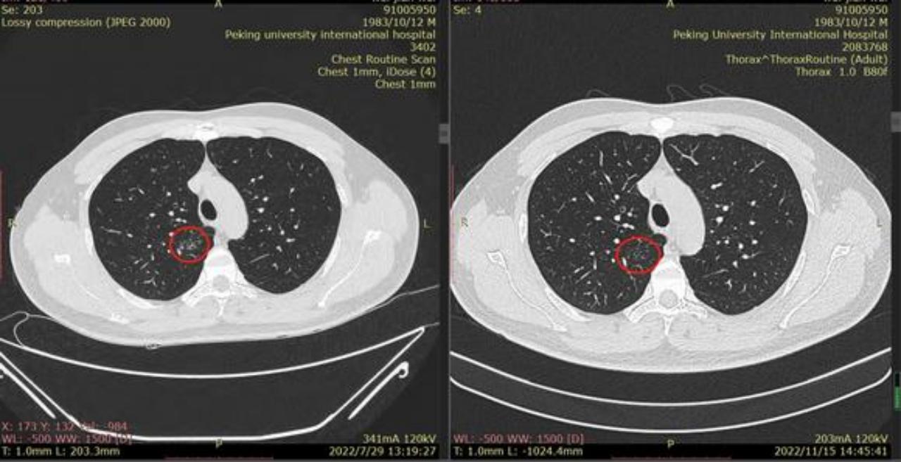
敬爱的戴主任,有个好消息跟您汇报,我老公的肺结节听您的建议服用拜复乐和夏枯草后缩小啦,7月29日的CT报告是1.9*1.1cm,同一家医院11月15日的CT报告是1.7*0.9cm,颜色也变浅了,您真是火眼金睛,华佗在世,我们的保护神!我们全家人的恩人!真心地谢谢您!
我老公的肺结节长得很快,您没诊断之前真是害怕到失眠,怕现在的幸福家庭散了......,您诊断之后,也看了您的科普心才稍微静下来一些,现在跟您报喜,也请问您我老公再吃什么药,或者继续怎么治疗,能让结节进一步缩小治好,辛苦您了主任!
主任,这是8月份您的诊断:

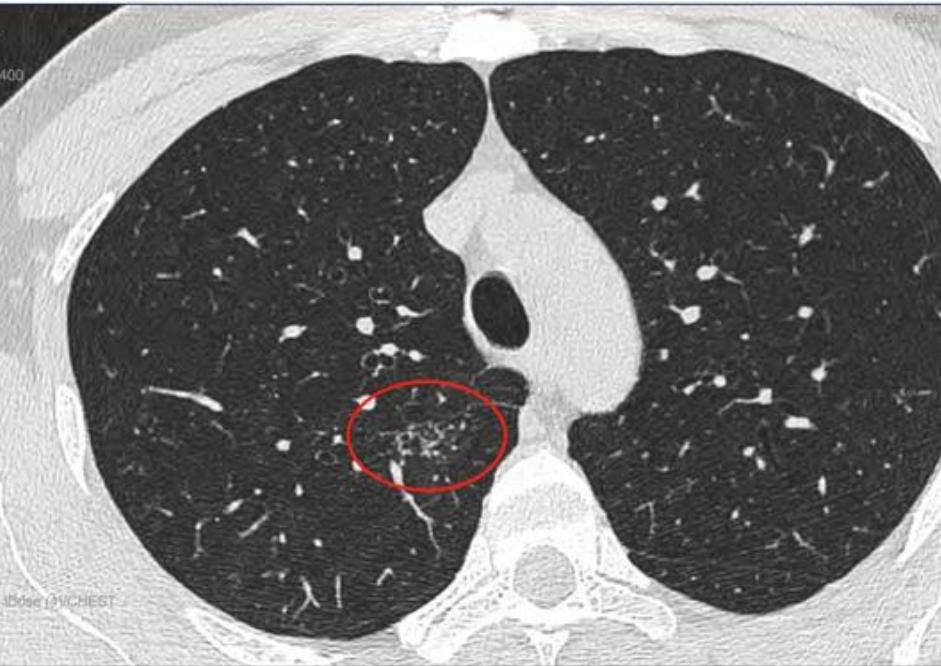
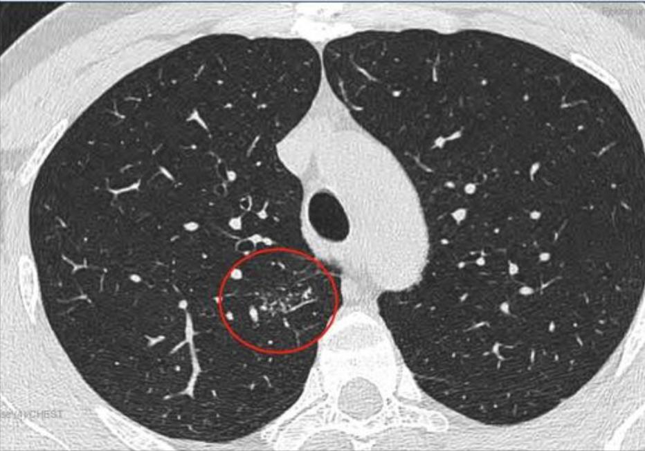
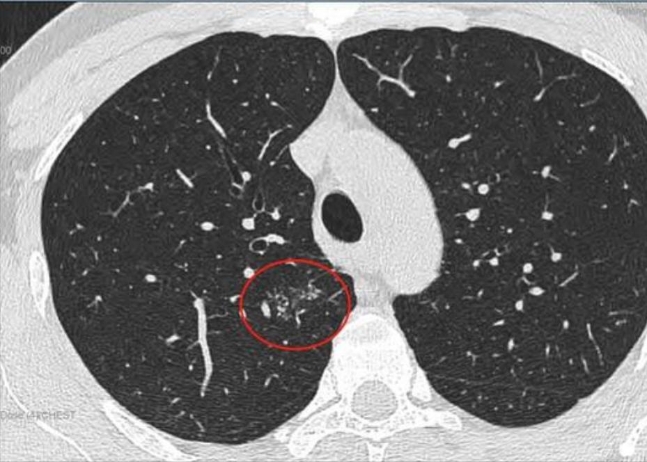
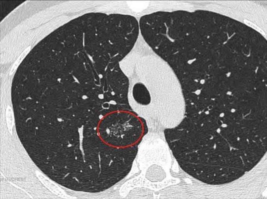
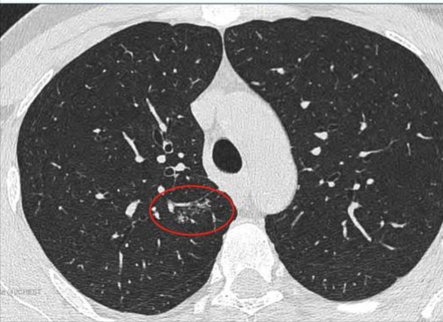
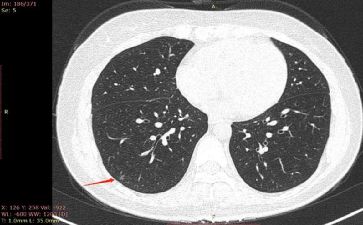
这是前天(22年11月15日)复查刚拍的CT报告:

这是11月15日的CT图像与上次(7月29日)CT图像对比图:

再发一张:

辛苦主任,您看一下,结节虽然缩小了,还有1.7*0.9 CM,其他俩肺叶还有陈旧性病灶,应该继续服用拜复乐和夏枯草吗?8月份查过:男性肿标9项、过敏源检测(总IgE)、鳞状上皮细胞癌相关抗原、GM试验、隐球菌抗原、1,3-β-D葡聚糖 都是阴性,在正常范围内。就是结核感染T细胞还没查,您看是否需要查一下?主任辛苦您了,谢谢您!
我的回复:
效果好就再来一个疗程,争取全消掉。半年后复查,等您好消息