打孩子几乎成了全世界普遍存在的管教孩子的行为,有数据显示,在美国、英国、加拿大等国家是接受通过“打”来教育孩子的。在中国,如果孩子的行为出现不当的话,超过50%以上的父母也会对孩子进行体罚教育。至今为止,有父母们都以为有时候必须要通过打孩子来教会他们守规矩,事实证明,这种想法是错误的。

不知道你是否也有过类似的经历,一件事和孩子说了许多遍,他就是不听;一个错误反复提醒,他一错再错;晚上睡觉总要人催,写作业要催,就连吃饭好像也是父母的事情……面对众多问题,谁见了都心烦恼怒,毕竟,我们是人不是神仙,再好的脾气都会变没了。当父母告诉我忍不住想打人的时候,作为一名青春期孩子的妈妈,我表示非常理解。
有一次去同事家做客,看见同事的两个儿子在客厅里发生的一幕:青子哥哥为了一个玩具和弟弟抢起来,然后把弟弟推倒在地,抢走了玩具,这时同事警告哥哥:“你不可以欺负弟弟,要学会让着弟弟,否则,我也会的打你,你听到了没有!” 同事说这会算脾气比较好的,会和哥哥讲道理,警告他这样的行为。后来,哥哥和弟弟继续发生争执,接二连三地听到两人的哭喊声,同事终于没有忍住对孩子发火,走过去狠狠打了哥哥一个巴掌。看得出同事那股无名火不发泄出来特别难受。其实,现在的家庭,由于父母工作、生活、家庭等压力因素,回到家已经很累,当孩子不听话时常有忍不住发火和打孩子的冲动,这到底怎么回事?

父母很爱孩子,但为什么总是有忍不住想打孩子的冲动?
在我从事教育工作的这十几年,接触了好几万的父母,大部分都不知道为什么总是发火,孩子再不听就*力暴**解决问题,打一顿就乖了,但只能维持一阵子,不能长久。那就说明,光靠打来解决问题是行不通的。
俗话说:冲动是魔鬼。没有哪个父母打完孩子后不后悔的,说明心里很爱孩子,只是不知道怎么做,心理是充满矛盾的。大道理都懂,要做到,太难了!我们先来了解,那些忍不住的冲动从何而来?
▪️首先,源于不了解自己的大脑
美国非常著名的心理学家,丹尼尔.西格尔《由内而外的教养》一书中提到,他把人类的大脑比喻成一个拳头,叫“掌心里的大脑”。当“大脑盖子”(前额叶皮质)处于掀开(动物脑)状态时,你没有能力解决冲突,只能用非理性的对抗或者逃离的方式应对眼前的情况;当大脑盖子处于合拢(社会脑)状态时,你有能力处理情绪和冲突问题。如下图:

大脑的前额叶皮质的功能包括:
- 明辨是非(道德)
- 情绪管理(自律)
- 人际关系管理
- 社会认知
- 自我意识(觉察)
- 理性地响应而不是冲动地回应
心理学研究发现:前额叶皮质大概在25岁左右才能发育完全,从神经学的角度来看,孩子是无法和成年人一样成熟,所以父母先要以身作则,有意识地管理我们自己的情绪,而不是让情绪掌控。
大多数父母因为不了解大脑里的情绪开关,从而导致遇到孩子挑战就冲动行事,最后导致*力暴**的教养习惯。
▪️其次,因为不懂得释放身体内的情绪垃圾
忙碌了一天的工作回到家,体内的能量早被消耗得差不多了,稍稍遇到一点不顺就比较容易爆发,因此,孩子就比较容易成为那根导火索。
▪️再次,因为原生家庭的影响
如果你的原生家庭里,父母比较喜欢发火,用*力暴**解决问题,那么你就是在用你父母曾经对待你的方式,来对待如今的孩子。
我们常说,孩子就是大人的缩小版,父母的一言一行都会在孩子潜意识里留下印象,无论是好与不好的,多少都会带来积极和消极的影响。有的甚至会影响孩子的性格和个性的形成,导致孩子出现各类不当行为和心理问题。

为什么父母总是在双方都是非理性(掀开脑盖子)的状态下试图纠正孩子?
有父母说,冲孩子发完火就更火,打完孩子就莫名地感到内疚,继而一次又一次地循环,这种身心不一的感觉让人很苦恼。来自《正面管教》系列书籍里提到,那是因为父母心里有三个害怕:
1、害怕让犯了错误的孩子“逃之夭夭”。
2、害怕孩子不去做他应该做的事情。
3、害怕孩子会永远成为一个恶魔。
但是,我们忽略了一件很重要的事,“孩子只有在感觉好的情况下,才会做得更好。”父母的所作所为,是让孩子感觉更好了,还是让他感觉刚糟糕了?我们缺少这个意识,所以才会导致总是用非理性的手段去对待孩子。

经常打孩子会对他们造成哪些负面影响?
当父母没有意识到打孩子的行为所导致的负面影响的时候,就会认为是为孩子好才这么做的。随着孩子的成长,许多问题就会接踵而来。一起来看看,经常挨打的孩子和不挨打的孩子有什么区别?
【打骂会带给孩子心灵上的创伤】
经常挨打的孩子:有研究显示,孩子挨打过程前后会感到恐惧、愤怒、悲伤等情绪,这样的负面情绪体验,让他们更加难以理解和认同父母的教育方法。不但行为得不到好的引导,反而会对父母产生敌意,久而久之,也会变得情绪易怒。
网上有相关调查也显示,体罚在家庭教育中是很常见的现象,包括世界宣明会与中科院心理研究所在2016年开展的调研,也显示了儿童在家里受到体罚的普遍性。

相关研究人员在这四个研究地区进行了调研,分别是四川的芦山和绵竹,陕西的宁陕和陇县,20%-50%的儿童接受了采访,报告调查近一个月内被家人打过1次及以上的结果。被调查的多数家长认为,对孩子的体罚属于正常的教育手段,如果不这样教育,孩子就会被宠坏。从调查结果显示看,超过30%的孩子一个月会挨打3次,还有少数4次。图下图显示,经常遭受家庭*力暴**的孩子在心理方面也存在不同程度的伤害,例如:比不挨打的孩子更容易焦虑,抑郁的程度会增加,心理韧性也变弱。

在2018-2021年,世界宣明会在全球的倡议行动中提出,“终止针对儿童的*力暴**”为主题, 并以此回应联合国可持续发展为目标。了解体罚和家庭*力暴**给儿童发展带来了负面的影响,世界宣明会积极组织各地伙伴合作,借助网络“反家暴”等平台,开展有关家庭教育和正向管教的传播分享,引导家长改变不良的教育观念,积极地和孩子建立起互相信任的亲子关系,拒绝体罚带给孩子的伤害。

不挨打的孩子:在生活中情感比较稳定,不容易出现情绪冲动,在人群中显得比较开朗乐观。
【打骂会让孩子更容易出现极端的行为和认知】
经常挨打的孩子:有的在于同伴相处中也会出现攻击行为,认为凡事是可以通过*力暴**来解决问题。在行为和心理问题也会越多,有的喜欢报复和反叛,很难和同伴形成良好的合作关系。
沈阳市铁西区某小区内24小时内发生8次火灾,经查后发现犯罪嫌疑人竟然是一位16岁男孩姜某,因为平时经常遭受父亲的指责打骂,积怨久了便产生了报复心理。在父亲打骂儿子打过程中,带着愤怒的情绪说过一句话:“早晚得进监狱”,这句话让16岁的姜某怀怨在心,所以才有了后面的惹祸上身。
前几年深圳新闻报道过,一位16岁女孩常被父母打骂,自己在网上搜索过安乐死,买了一把刀,三次离家出走,最后服毒身亡。

打骂带给孩子的不仅仅是这些,心灵的摧残不是一早一夕就能看见的,孩子越大所带来的负面影响越多。所有孩子的极端行为,都曾经历过各种心理的挣扎,而心理扭曲背后,都有一位对孩子打骂成习性的父母。
不挨打的孩子:更懂得助人,与人合作,喜欢和同伴友好相处,懂得如何处理冲突,能积极地对待人际关系问题,心态更加乐观和友好。

【打骂会降低孩子的智商】
经常挨打的孩子:在挨打的那一刻大脑会处于一种紧张和恐惧的状态,当下是停止发育和思考的。
美国的惩戒与家庭*力暴**专家默里.施特劳斯做了一项跟踪调查,在美国对80-6位2-4岁的孩子进行了智力测试。四年后的第二次测试发现,未遭受过体罚的孩子平均智商比经常挨打的孩子高出5分。施特劳斯说:打得越多,孩子心智发育越慢,哪怕是打得很少也会影响智商。

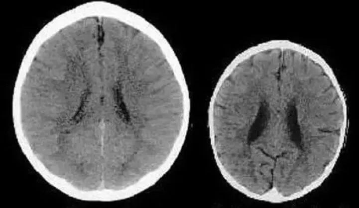
左图(被温柔对待),右图(经常被打骂)
曾经有科学家扫描过两个三岁孩子的大脑图形。(如上图)
其中一个孩子的妈妈性格温柔善良,平时善于和孩子进行有效的沟通。而另一个孩子的妈妈显得非常冷漠,常常忽视孩子的各种需求,甚至虐待自己的孩子。
两个孩子的大脑图形也是千差万别,如上图,左图是第一位孩子的(被温柔以待),右图是第二位孩子的(常被打骂)。
神经学家对图做出来解释,右边图的黑暗区域意味着大脑容量的减少。缺失的区域使孩子会在成长的过程中缺乏思考和智慧,没有同理心等能力。孩子成年后自信心偏弱,事业的竞争欲望较差,缺乏毅力等。
而左边的孩子明显和右边相反。他更懂得理解和包容,心地善良,长大后更自信,更容易成功。
不挨打的孩子:大脑处于开放状态,更积极地接受外界的信息,创造力和想象力可以自然发展,所以,智商比挨打的孩子要高。
就好比我们俩每人同时养一株植物,我每天给它浇水施肥、给它阳光与雨露;而你每天给它辣椒水和污水,不给阳光和养分。最后结果不言而喻,我养出的是一株茂盛的植物,而你的植物面临枯竭。父母的情绪、行为、言语,就是孩子影响最大的教育环境,环境健康,才能养育心理健康的孩子。

怎样做可以控制好自己打孩子的冲动?巧用3个温和教养术
温和教养术1 :在动物脑出现之前,理性脑先行一步。
让大脑关注养育孩子的长期效果,而不是短期效果。
【了解自己养育孩子的7大长期目标】
1、培养出积极、自信,内心有力量的孩子。
2、教会孩子懂得自尊和尊重他人。
3、懂得如何与他人合作和为社会做贡献。
4、培养良好的情绪管理能力。
5、有良好的人际沟通能力。
6、具有良好的自律能力和责任感。
7、拥有解决问题的能力。
在没有学习之前,一般是动物脑直接跳出来掌控情绪,也就是带着情绪处理问题,这是无效的,所以就是控制不住。而正确的做法是,在动物脑出现之前,理性脑先行一步。
具体做法:先冷静7秒钟---问自己三个问题:我尊重自己了吗?我尊重孩子了吗?我此时该怎么做才能让动物脑合上盖子,让理性脑来掌控全局?
上面我们谈到了自己行为对孩子的各种影响,作为父母都希望自己的孩子将来是健康和快乐的,那么,当你时刻关注自己的养育目标时,你会逐渐从无意识进入到有意识。改变思维,改变行为。

温和教养术2 :用积极的语言代替消极的语言
许多父母在出现打孩子行为前都会有语言的沟通,正是这些沟通是消极*力暴**的语言,导致孩子的行为出现消极反抗,所以才会引发后面的战争。如果在一开始就用尊重的积极语言和孩子沟通,至少不会让愤怒升级到行为层面。
积极语言包括哪些?需要遵循三个原则:
- 语音是真诚的
- 用词是正面的
- 回应是具有鼓励性的
例如:当哥哥打弟弟的时候,妈妈可以说:“刚才我看到你打弟弟了,我更希望你能好好的和弟弟沟通,妈妈相信你会找到解决这个问题的办法。”我看见……(描述事实,不评判,表现出真诚)我希望……(正面引导,不批评)我相信你……(具有鼓励性的回应,引导孩子思考如何关注解决问题)
有无数的案例证明,只要你想,你就可以做到,上面的方法我自己也亲身实践过,也教会很多家长做到过,效果很不错。如果你真的想改变,就一定能做到。改变语言,改变关系。

温和教养术3 用赢得合作代替赢了孩子
将孩子的挑战转为你和孩子共同成长的机会,当孩子的挑战来临时,关注解决问题,邀请孩子合作,而不是控制孩子按你说的做。
例如:“我需要你的帮助……”“我们一起头脑风暴,看看有什么办法可以帮助我们……”
为什么要说我需要,而不是过来,你来帮我等等。因为,当孩子感觉自己被需要的时候,才会发展出自己的价值和归属感,感觉自己是有能力的,被需要的。
如果你仔细观察就可以发现,上面说到的三个温和教养术,都符合尊重、平等和鼓励到孩子朝着积极的方向发展,从而可以达到长期养育的目标。你的情绪好了,孩子的情绪也会好,因为感觉好的时候,就是亲子关系的爱在连接。最重要的是榜样的示范是最具魔力的,要想孩子做到,自己先做到。看到挑战,转为机会
心理学家赫尔巴特说:孩子需要爱,特别是当孩子不值得爱的时候。
当孩子犯错时,也是体现父母教育智慧之时。别让自己的嘴巴变成一把刺向孩子的利刀,别让自己的拳头落在孩子弱小的身躯,别亲手把孩子善良的童心变成恶魔。真正的亲子教育,是从心开始,从沟通开始,从日常生活中的地点行为开始,绝不是靠*力武**、*力暴**、训斥来获得权威。
我是一位15岁青春期男孩的妈妈,从事教育十八年,喜欢分享,热爱学习,喜欢写作,也深爱着我的家庭教育事业。希望成为一位终身学习者,做着自己喜欢的事情,有能力去帮助更多人。欢迎你关注我@灵动育儿,希望有缘的你和我一起成长。(文中部分图片源自网络,版权归原作者所有)