前些天,江西南昌的邓先生两岁八个月大的儿子身体不太舒服,一直咳嗽,邓先生便把儿子带到镇上小医院看病,到医院拍片检查,结果把邓先生吓坏了:
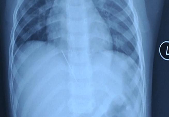
宝宝肝脏内竟然藏着一根针!

对结果将信将疑的邓先生,带着儿子立马转诊到省儿童医院,医生检查确诊:孩子肚子里的确有根针。

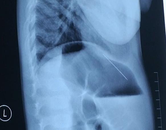
拍片发现,孩子肝脏里面有个金属异物,外表就是根针,从片子上看,大概有四公分!

这可不得了,这根针有可能继续游走,如果走到大动脉,心脏边上刺破血管,将会大出血,引起生命危险!
医生决定立即手术取针,这根针的位置,在肝脏距离心脏的位置非常近,手术难度不小。
据医生介绍,根据(x光机)定位定了异物的位置,把它取出来, 取的过程中发现针已经生锈,断了几节了,这也意味着,每取一节要重新定位!所幸手术进展的非常顺利,医生从宝宝体内取出了断成了四节的缝衣针。


邓先生说,到现在他和家人也不知道,这根针是怎样进入宝宝体内的。

医生分析,可能是家属不小心,家里缝了衣服,针放在床边,因为小孩小不知道刺小孩身上去了,小孩哭闹家属没发现,只要是不感染就不会痛,随后针从体表皮下慢慢到腹腔里面。在此小编也提醒家长,家里针等危险物品一定要妥善保管,不能让小孩够得着。