在10多年前,好多家庭不宽裕的人,都寻求外出打工,拼命争钱,身体免疫力容易下降,易受到结核菌的感染,他们大多易患上肺结核,在经济上就是雪上加霜。

25岁的他,务农,到很远的地方打工,没有一技之能,只有做苦力。
天气渐渐变得寒冷,长时间工作劳累,饮食无规律,他瘦弱的身体怎能经受寒气的侵袭呢?他感冒了,咳嗽日渐加重,干咳,以为自己疾病会慢慢好的,可是坚持了一周反而加重了。
为了节约钱,他到一家小诊所,以感冒病输液治疗了一周,病情不但没有好转,反而更重了!剧烈咳嗽,致白天不能上班,晚上不能睡觉。
在两位姐姐的劝说下,住进了一家大医院治疗。初步考虑肺炎,输液治疗一周,当患者洗澡后就发高烧,咳嗽一阵一阵的剧咳,食欲、精神、睡眠,体力越来越差,身体也越来越消瘦。

又治疗一周,病情没有好转,钱也花完了。因为在大医院,花费对于一个农村人来说,是非常高的。
这时他比原来还穷,原来没有钱,但有健康;现在不但没钱,健康也没有了,回到家乡,找父母借钱治病!
当我遇见他时,他咳嗽时左下胸痛,深呼吸也痛,晚上也发高烧。在大医院住院的资料没有带回来,只有用手机拍下的输液药物,是一些治疗肺炎的非常高档药物。
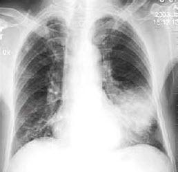
拍了个胸部X线片,在胸片上表现为:左下肺似肺炎的团块样病灶,一块一块的分布着(医学上叫肺部阴影),看上去十分酷似肺炎的X线表现,病灶阴影的形状多样不规则。

肺结核!?高度怀疑!虽然没有咳嗽咳痰、咯血、胸痛、潮热盗汗等肺结核的典型症状,但是他外出打工,生活艰苦,身体免疫力明显下降,易受到结核菌的感染,并且已经用了这么多高档的抗生素治疗肺炎,治疗无效,再不能考虑肺炎了。
经验告诉我,不能再按肺炎给他治疗了,给他上抗结核药吧!有一种治疗方案叫治疗性诊断,若是高度怀疑结核病,可以用药治疗观察2~6周,不适症状明显好转,就考虑结核病。
经服结核药3天治疗,他咳嗽稍好转,重要的是他不再发烧了!一周后,咳嗽明显好转,胸痛,食欲,睡眠,精神好转了,药物疗效奇迹般的好,确定肺结核。出院后继续服药治疗,半年治愈。

医患故事启示:
外出打工的朋友们,一定要注意身体健康,在力所能及的能力下工作,发现食欲,精神,睡眠,体力不好时,一定要引起重视,注意适当的休息,增强食欲,防结核菌的感染而患上肺结核病。健康才是最大财富!