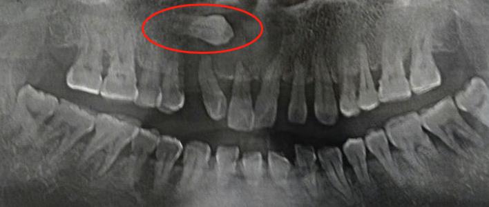
“医生,我这牙片怎么和别人的长得不一样呀?牙齿怎么长在上面的?”。

和普通牙片相比,上面这张牙片确实奇怪,这到底是怎么回事?会不会有什么影响?今天科普君就来和大家谈谈关于这颗“不正常的”牙齿是怎么回事?
牙齿长在骨头里是怎么回事?
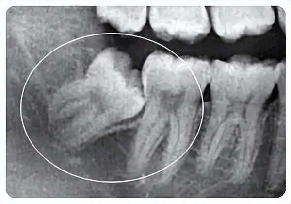
像图片上的牙齿长出来以后埋伏在颌骨内,肉眼看不到牙齿的情况,一般称之为埋伏牙。

为什么会长埋伏牙?
埋伏牙并不是所有人都会长的,出现埋伏牙的原因多是因为:①换牙期牙胚受到影响导致牙齿萌出位置异常;②换牙期颌骨出现异常,如受到外伤感染、如乳牙早失或滞留;③身体营养吸收不良导致的颌骨发育不良;④遗传因素引起的。

长有埋伏牙需要处理吗?
1.埋伏牙一直隐藏在颌骨中如果不及时处理,可能对离得近的健康牙齿造成损伤,形成囊肿。
2.埋伏牙还会影响整排牙齿的排列,挤歪其他的牙齿会造成咬合紊乱异常。
3.位于前牙区的埋伏牙会对平时的面型美观有影响,甚至还是影响发音,尤其是对于心智未发育的未成年人的心理造成不良影响。

埋伏牙如何处理?
一般埋伏牙的处理方式有两种:一是直接拔除,另一种是通过正畸牵引。
直接拔除的情况一般是针对长得歪斜奇怪,有可能会影响正常牙齿健康的才会考虑拔除,如埋伏智齿,影响邻牙健康的话一般都会建议拔除。

正畸牵引的话,这种情况一般是由于埋伏牙是在正常的牙齿数量中。毕竟我们每颗恒牙都十分珍贵,一般牙医是不建议拔除正常的牙齿的。
