利妥昔单抗治疗膜性肾病效果因人而异,不能一概而论,但总体来说效果和激素加环磷酰胺是差不多的。

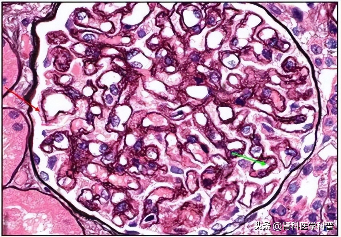
1.膜性肾病是肾病综合征的一种病理类型,膜性肾病患者体内免疫系统功能紊乱,体内B细胞产生很多抗体,形成抗原抗体免疫复合物,大量在肾小球基底膜上皮细胞下沉积,导致肾脏损伤。

2.从利妥昔单抗的作用机制来讲,使用该药物治疗膜性肾病是有效的。利妥昔单抗能特异性地与B细胞膜上的CD20抗原结合,启动介导B细胞溶解的免疫反应。所以可以避免抗原抗体复合物的形成,减轻免疫复合物对肾小球基底膜的损害。

3.人体免疫系统比较复杂,利妥昔单抗对T细胞没有太大影响。所以用于治疗膜性肾病时,有些患者对该药物比较敏感,治疗效果比较好。但是也有的患者对该药物敏感性较差,治疗效果和激素类药物联合免疫*制剂抑**的效果差不多。

对药物成分过敏者、妊娠期和哺乳期女性、类风湿性关节炎急性期、严重心衰者禁用利妥昔单抗。该药物需在医生指导下使用,避免自行用药。
膜性肾病的患者建议及时前往正规医院就诊,在医生指导下给予针对性处理或治疗。