对于缺牙还在考虑用哪种修复方式的,一定要看看这个案例:“陈李济”创始人之一李升佐的第八代传承人李汝立的种牙故事。
种牙档案
名称:李汝立职业:陈李济传人年龄:63岁术前:上半口缺牙3颗,下半口牙齿仅剩6颗松动烤瓷门牙治疗方案:拔残根+all-on-6半口即刻负重术后:种上半口好牙,恢复全口咀嚼功能
镶牙十年,牙齿又开始松动
李叔是陈李济的传人之一,即便有着一份独特的荣光,在缺牙面前,依旧要忍受缺牙带来生活上、身体上、精神上的困扰。
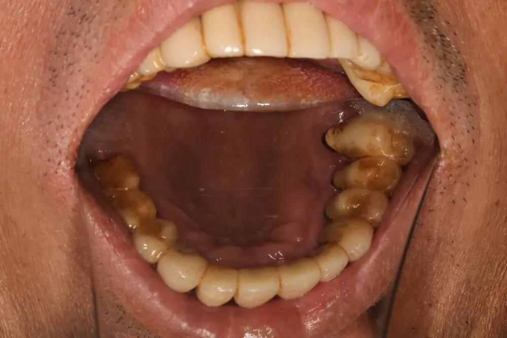
↓种牙前,烤瓷牙松动并露出“黑线”↓

在50多岁的时候李叔就已经掉了好多颗牙,但是为了贪图方便,不影响工作,选择了全口烤瓷牙的修复方式。在日常的使用中烤瓷牙松动厉害,咬一些稍微硬一点的食物都咬不动,除此之外,因为吃饭经常塞牙,清理不干净,嘴巴的口气连自己都觉得“恶心”,渐渐地饮食跟不上,经常“胃痛”消化不好,人也日渐消瘦。
不敢做烤瓷牙了,选择种植牙
下半口烤瓷牙的松动,让李叔打消了继续做烤瓷牙的打算,他开始到处搜索了解缺牙的修复方式,却意外发现——种植牙,是现在最好的缺牙修复方式,而且种牙后媲美自然牙,这让李叔非常心动!
↓种牙前,牙齿松动,咬合情况变差↓

all-on-6半口即刻负重种植,恢复半口好牙
根据李叔的牙齿情况,选择:拔掉4颗残根,利用精准种植技术种植6颗植体恢复半口好牙。
↓术前检查↓

李叔的整个种牙时间不到1小时,李叔表示:想不到种牙那么快,算下来10分就能种好一颗牙,而且种牙过程中几乎感觉不到痛感,可以说比当年镶烤瓷牙要舒服很多!

种牙后的李叔很快就拥有了一口好牙,现在终于可以没有顾虑的说话、大笑,饮食也变得正常了!口中“恶臭”消失,肠胃消化系统也得到很大提升,胃痛都很少出现了,吃的比以前更多了,整个人都变得更加壮实!
↓种牙后的李叔,终于可以开心吃肉↓

陈李济传人建议大家缺牙首选种植牙
对于这次的种牙,李叔他劝诫缺牙的伙伴们:牙齿缺失了一定要第一时间去修复,要选择最佳的修复方式——种植牙,因为种植牙真的和自己的真牙一样,拥有良好的咀嚼功能和美观外表!