之前木主任写过一篇文章,讲的是一个小孩磕掉门牙,因为家长的错误做法,导致孩子磕掉的门牙接不回去。下面就有很多人评论:很少会有把整颗牙磕掉的情况,大多是磕掉一角或一半,那这种情况该怎么办?还有得救吗?
有救!
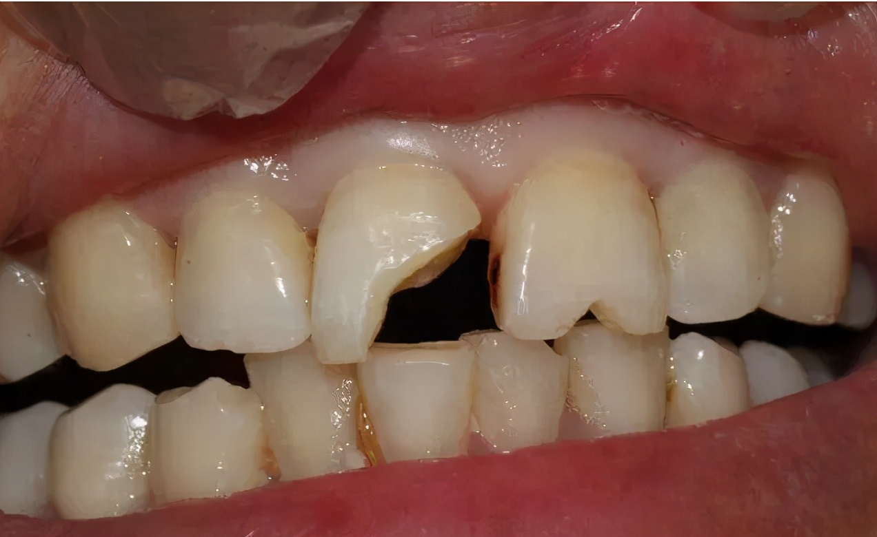
如果只是磕掉一小角牙齿的情况,可以试下牙齿贴面 ;如果是磕掉一半牙齿,已经看到牙髓了,可以试下牙髓血运重建术。

“牙齿贴面我知道,这个牙髓血运重建术是啥,好像从来没听说过?”
牙髓血运重建术是近年来兴起的一种新的治疗方法,没听过很正常,接下来木主任好好跟大家讲讲~
很多孩子的恒牙在发育过程中会因龋病、外伤、畸形等因素导致牙髓感染坏死,牙根停止发育。传统的治疗方法是根尖诱导成形术和根尖屏障术,然后这两种方法均不能促进牙髓再生和牙根继续发育。
为了让治疗后的牙齿可以继续发育,人们发明了一种名叫“牙髓血运重建术”的治疗方法,这个治疗方法是通过对感染坏死的年轻恒牙联合用药进行彻底的消毒,然后刺激牙齿根尖周组织出血,待根尖下方周围组织形成血凝块后用材料严密封闭牙齿上方,促进年轻恒牙的牙根管腔内新生组织再生。新生组织有助于牙根长度的增加、管壁的增厚和根尖孔的闭合,从而达到接近正常牙根发育的效果。

这个方法一经提出便因其诸多优点而得到了口腔医学界的广泛关注,在国外,“牙髓血运重建术”已逐渐成为治疗该类患牙的首选方法。
哪些情况可以做牙髓血运重建术?
因为这是新的治疗方法,目前尚未明确牙髓血运重建术的适应症。从已发表的成功案例看,主要是8-18岁左右的牙髓感染坏死或牙根发炎的根尖孔未闭合的年轻恒牙。木主任知道肯定有人问成年人能不能做,说实话,目前也有人发表过成年人的成功例子,但还是太少了。临床医生做牙髓血运重建术的范围主要还是18岁以下。

另外,可能会有人担心自己要是做这个新治疗失败了怎么办?木主任告诉大家,即便牙髓血运重建术失败了,仍然可以改用传统根尖诱导成形术治疗。所以,有一个可以让牙齿继续发育的方法,为什么不试一下呢?当然,要在自身经济条件允许的情况下。