医学之路无止境!肺结节的手术治疗因为相对来说都基本上是正常解剖,并不能反应外科医生的探索、钻研精神,手术做的漂亮与否很大程度上只是熟能生巧而已。真正考验医生综合能力、水平、担当的是中央型肺癌,当中央型肺癌患者又是高龄、合并诸多慢性疾病时,更是考验医院综合水平、多学科协作水平、外科医生的技术胆识、综合判断能力。可以说每一例高难度高风险肺癌手术的成功都凝聚了医务人员辛勤的汗水,也是手术医生围手术这段时间内最牵挂的事,只有看着患者一天一天好转,并顺利出院,悬着的心才能放下,同时这也是做外科医生的乐趣所在,有挑战并成功,才有成就感!被信任更是一种幸福!职业的幸福感!今天分享的这个病例,之前已经写了两篇相关的微信文章(点击链接:第一篇:临床接诊后的决策思路:高龄左上中央型肺癌,新辅助能降期吗?临床如何决策?第二篇:新辅助治疗后影像对比,获得非常显著的效果:肺鳞癌特瑞普利单抗免疫加化疗效果惊人的好)今天是第三篇,因为患者今天在手术后第11天时顺利出院了!以78岁高龄,而且经过新辅助免疫加化疗后进行的“胸腔镜下左肺上叶袖式切除加淋巴结清扫术”,而且术后病理证实术前的新辅助治疗居然达到了病理完全缓解!这一个病例创造了本院多项纪录:1、第一例新辅助免疫加化疗后达病理完全缓解;2、第一例高龄左上叶袖式切除成功实施并顺利出院;3、第一例新辅助化疗加免疫治疗后进行袖式肺叶切除!这例也是医院多学科讨论并成功治疗的典范,MDT时还通过网络咨询了浙二医院范军强教授与上海中山医院王群教授,也是基层医院借助微信、网络等现代手段远程会诊咨询上级医院,上级医院教授指导帮扶基层医院的具体实践。
患者手术安排在2021.6.21进行,手术组先胸腔镜进胸探查有无胸壁转移及胸水,评估手术切除的可能性,并在镜下游离下肺韧带、清扫纵隔淋巴结,解剖游离上肺静脉,并将左肺动脉主干游离出来并套阻断带备用,以防解剖过程中出血时控制肺动脉出血。因肺门部原肿瘤部位仍与叶间动脉及上叶支气管、肺动脉分支等愈着紧密:

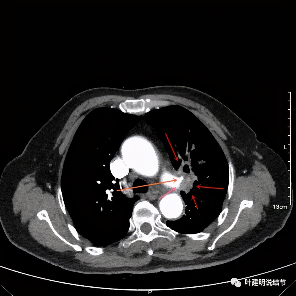
上图红色箭头示肿瘤,桔色示肺动脉及其分支,仍关系紧密

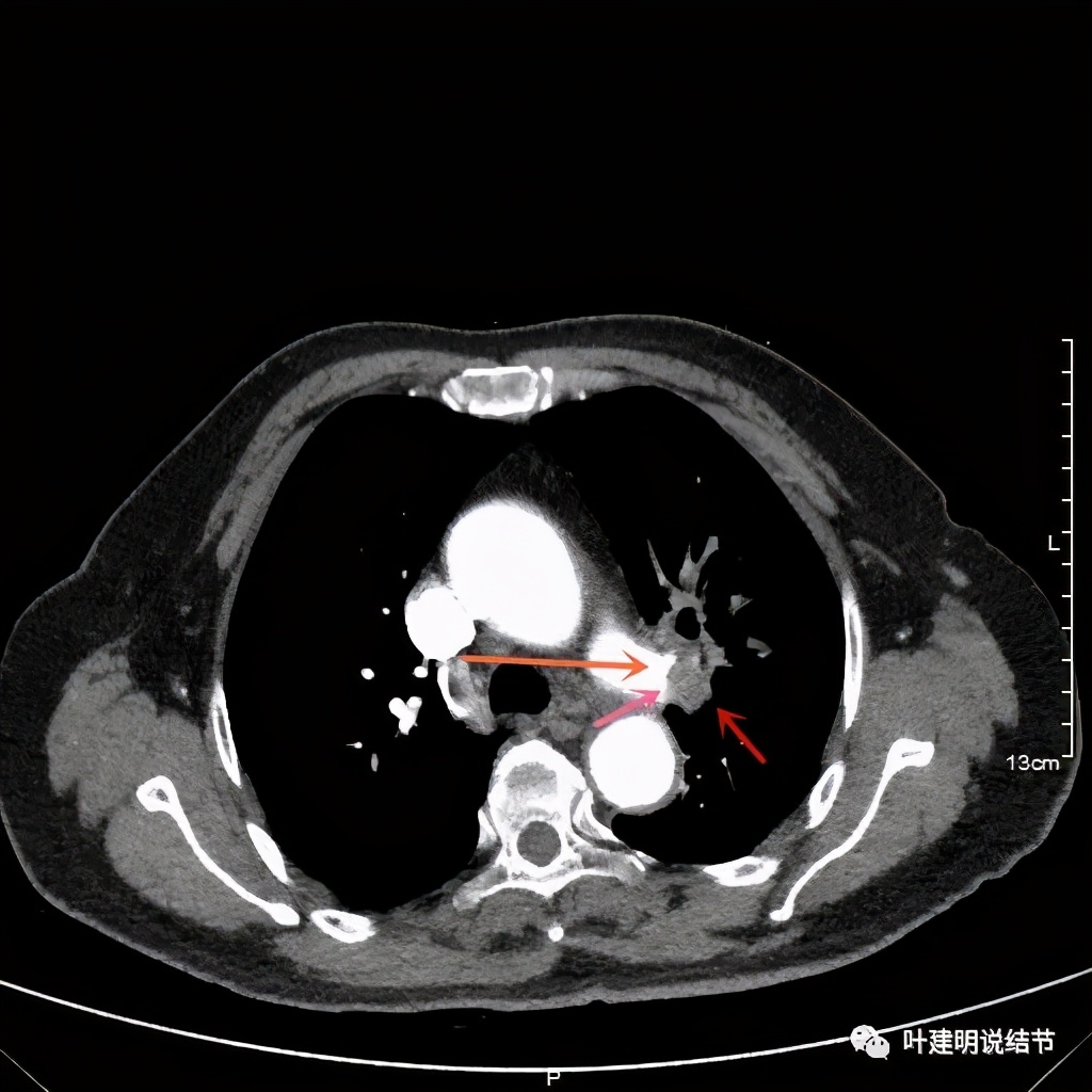
上图示肺动脉仍与软组织影关系密切,没有间隙可分开

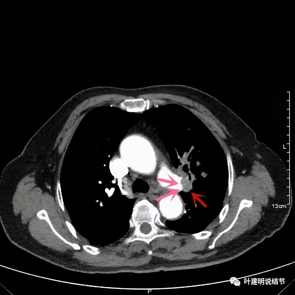
上图示肺动脉与肿瘤的关系仍紧密


上两图示叶间肺动脉的上缘与肿瘤没有界限
因为在基层医院,袖式肺叶切除并不多,主难度的肺手术,勉强镜下解剖处理不单手术时间过长,而且危机重重。所以手术组决定延长切口在胸腔镜辅助下操作处理,这样相对来说,手术时间更短,也更安全可控,袖式切除时的吻合也更加牢靠完美。
延长切口后解剖游离,发现上肺静脉能被游离解剖出来,但肿瘤把上叶支气管后壁、左肺动脉第一支、叶间肺动脉及其向上叶的分支均紧密愈着在一起,根本分不出缝隙。我们采用先断开下叶支气管与左主支气管,然后直视下切开上叶支气管前壁,一点一点往后壁切,尽量避免伤及肺动脉,等后壁完全脱开后,肺动脉无法分开部分,将叶间动脉的部分血管壁以及其往上叶的分支均用切割缝合器离断并半合残面,这样虽然叶间肺动脉有所变细,但仍有5-7毫米以上直径,预计下叶功能并不会有太大影响。取走标本后,再行左主支气管与下叶支气管的吻合。吻合前送切缘:

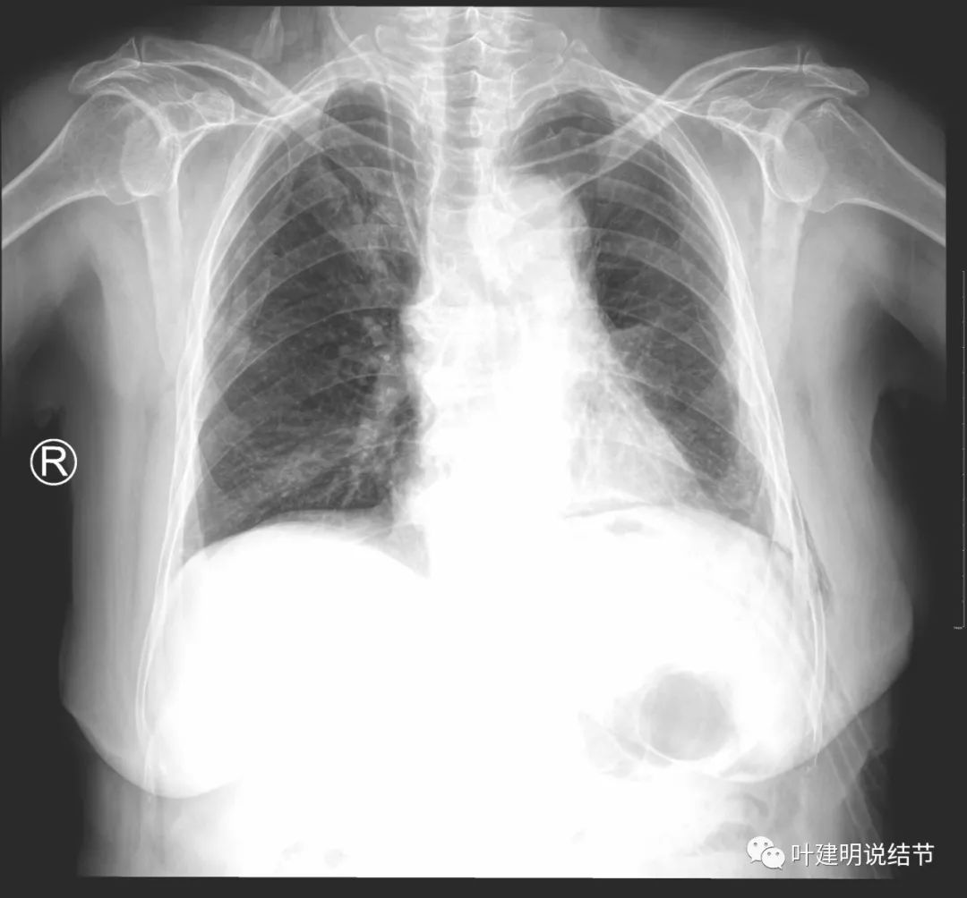
手术非常成功!历时约2个半小时。术后我们予以加强抗炎化痰、雾化吸入以及支持治疗。术后第一天,患者就能下床行走活动,下面是术后第一天胸片的情况:

术后第二天患者乏力纳差,起不了床!而且CRP也大于100,我们的神经又紧张起来,怕支气管胸膜瘘,怕感染、怕有并发症发生。还好化验后是低钾,予以补充钾与镁2天后胃纳与精神均有明显改善,我们再加用静脉高营养支持治疗,补充白蛋白,情况逐渐好转。我们也于术后第4天查了CT,发现如下:

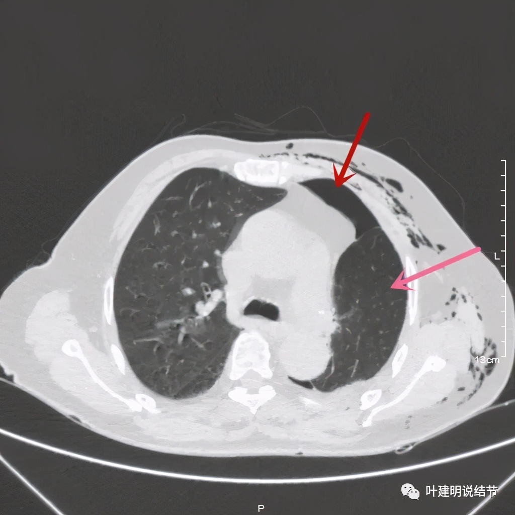
下叶膨胀良好

下叶膨胀良好,上叶残腔不大

下叶膨胀良好,上叶残腔不大,蓝色箭头示左主支气管

下叶膨胀良好,上叶残腔不大。桔色箭头示吻合口处,通畅



以上图像示下叶膨胀良好,上叶残腔不大,紫色箭头示吻合口以远的支气管通畅,肺膨胀佳
此后恢复均顺利,由于年纪大,我们让其血常规示白细胞完全正常,中性粒细胞比例正常,胃纳活动均如常后于术后第11拔除胸管并出院。下面是术后第10天(昨天)拍的胸片,恢复非常好:

最后,感谢患者的信任,她能在上级医院查出来后还是找到我,转来我们医院住院与手术,并在我们术前告知可以帮忙联系杭州教授会诊手术的情况下,仍充分信任我们自己的团队,将生命托付于我们。肩上的担子很沉重、心中的信任很感动、实践的态度我们也很认真负责与尽心,这样才能回报患者的信任!
术后的病理报告非常意外,也是惊喜:

居然达到病理完全缓解!至此,这例患者创造了多项本院第一:第一例新辅助免疫加化疗后肺癌根治术;第一例新辅助化疗加免疫后病理完全缓解;第一例新辅助化疗加免疫后左上叶袖式切除(还加了肺动脉成形)!当然,其整个诊疗过程,也是多学科协作以及基层与上级医院协作的成功典范!
(此处已添加医疗卡片,请到*今条头日**客户端查看)