提示:点击"佛中医"关注佛山市中医院微信订阅号

有这样一群特殊的人
他们被称为“玻璃人”
磕碰一下
伤口就会血流不止
有的甚至
关节腔内、内脏器官也会发生内出血
他们就是血友病患者

当出血长期反复积聚在关节部位
就会侵蚀、破坏关节结构
导致血友病性关节炎的发生
手术治疗风险极高

日前,佛山市中医院骨八科(足踝专科)与多学科协作,利用高超的技术和细致的围手术期照护,顺利为一名19岁血友病性踝关节炎患者进行手术,患者顺利出院。
血友病少年求医路漫漫
今年19岁的小李出生后就被诊断为“血友病A型”,由于缺乏特定的凝血因子Ⅷ,在遭遇外伤、甚至是刷牙都可能导致出血不止。父母一直带他辗转广州各大医院治疗。由于该病目前无法治愈,只能靠定期输血和补充凝血因子来改善出血情况,长期的治疗和巨额的医疗费用给整个家庭带来巨大压力。
不幸的是,5年前小李的左踝关节出现疼痛不适,3年前右踝关节也开始疼痛,单纯输注凝血因子已经不能解决问题。由于病情反复发作,疼痛逐渐加重,每行走一步都要忍受着巨大的痛苦,小李基本丧失劳动能力和生活自理能力。

术前X光
关节严重破坏,出血风险高
小李坐着轮椅辗转于各大医院,经检查被确诊为血友病性踝关节炎,关节软骨破坏呈进行性、不可逆的方向发展。接诊的医生都认为,踝关节融合或置换手术对于缓解症状、改善生活质量可能是目前最好的治疗措施。但由于血友病患者进行手术的风险极高,术后出血不止、感染、伤口开裂、假瘤形成、骨折不愈合等并发症出现的几率远高于普通患者,很多医院都不敢冒险为小李手术治疗。
绝望之中,小李四处打听,终于得知佛山市中医院足踝专科在这方面非常专业,于是他在母亲的陪伴下,抱着一线希望走进了该科主任朱永展的诊室。
厚厚一摞的病历和影像资料让朱永展为之震撼,通过仔细的检查和分析小李的病历资料,朱永展发现小李的踝关节病变已经十分严重,软骨剥脱、软骨下骨破坏、关节炎表现明显。更令人沮丧的是,小李的血友病控制情况也很不理想,抽血化验凝血因子Ⅷ活性(FⅧ)只有0.8%(正常人的水平应在50%-150%),属于重度凝血因子缺乏,处于容易自发出血的状态。
小李的母亲诉说,儿子现正处于人生的黄金年龄,面临着升学、工作、婚姻的多重压力,症状的进行性发展,已经开始严重影响其身心健康。“但如果做手术的话,又会面临巨大的手术风险。”说完这些,脸上尽是迷茫和无奈。
佛中医多学科联合,突破禁区
“血友病并非手术的禁忌,精心的手术准备、细致的微创操作具有很高的成功率,而且我科已经成功完成多例血友病患者的手术治疗,取得优良的效果。”朱永展说。小李和母亲听到这样的话,心头为之一振,宽慰和希望顿时在脸上显现出来。
朱永展继续介绍道,血友病病人手术时,在围手术期需要即时、足量地补充凝血因子制剂以改善凝血功能。而采用踝关节镜下微创融合踝关节,可以有效减少出血,降低风险。朱永展耐心的解释驱散了小李的心理阴影,也让他最终选择在足踝专科住院治疗。
为了使小李得到彻底有效的治疗,朱永展积极联合血液专科、输血科、麻醉科、药剂科等科室专家进行会诊。血液专科李宏良博士为小李量身制定了围手术期凝血因子使用及应急方案,输血科也做好了相应的准备,经过几天的调整,终于达到手术条件。考虑到小李的身体状况,朱永展决定先对较严重的左踝关节行手术治疗。
迎难而上,微创踝关节镜显威力
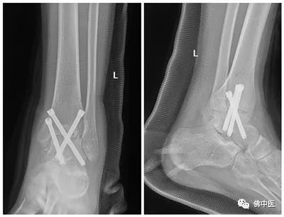
下午三点,小李被送进手术室。手术由朱永展主刀,在整个手术团队和麻醉团队的密切配合下,朱永展先是通过2个0.3cm的小切口在踝关节镜下为小李清理踝关节。由于长时间的关节炎,关节间隙狭窄,操作空间非常有限,关节镜手术操作技巧要求极高。朱永展通过娴熟的手术技术完美地完成关节内清理工作,然后在透视下经皮置入3枚空心螺丝钉行踝关节融合术。经过近1个多小时的紧张操作,这一高难度手术终于顺利完成。

术后X光
术后,足踝专科的护理团队严密监护小李术后伤口情况,每天检测凝血因子活性并及时调整补充。康复医学科医生也在术后第二天按预先制定的计划对小李施行康复训练。术后2周,小李伤口愈合良好,顺利出院。后期小李还需要继续接受进一步的康复治疗。
早期预防是关键
据悉,血友病分为A型(Ⅷ因子缺乏)、B型(IX因子缺乏),是一种遗传疾病,当出血长期反复积聚在关节部位,就会侵蚀、破坏关节结构,导致血友病性关节炎的发生,其中,髋、膝、踝关节等承重关节尤为严重。
由于血友病患者的手术难度非常大,需要术前制定缜密的手术方案、围手术期凝血因子的合理使用、凝血因子水平及功能的及时监测、药物的调配、术后合理的康复治疗等多方面的通力合作,因此,目前国内在血友病关节炎综合治疗领域尚不成熟。
佛山市中医院足踝专科主任朱永展教授近年来已经完成了近400台踝关节镜手术,是省内首屈一指、也是国内完成踝关节镜手术较多的专家之一。他表示,踝关节镜下行血友病性踝关节融合可显著降低手术风险,提高手术成功率,目前在国内尚没有大量病例报道。此次佛山市中医院足踝专科凭借专业的技术功底,运用踝关节镜微创技术,联合多学科协作,突破禁区,迎难而上,治疗获得圆满成功。

资料图片:朱永展等医护人员运用关节镜为患者手术
朱永展还强调,血友病的早期预防非常关键。他介绍,由于大部分血友病为基因遗传病,常见的遗传模式是隔代遗传,因此,婚前做基因检查、孕后做胎儿基因检查,可最大程度降低生出“血友宝宝”的几率。此外,家长如果发现孩子经常有出血倾向、关节经常性疼痛、学走路时身上有瘀斑或血肿、换牙时出血不止等情况,应尽早带孩子去医院检查。
作者:赖俊辉
编辑:张键怡
佛山市中医院全媒体团队出品
专家简介:朱永展

主任医师,广州中医药大学教授,长期以来从事骨科创伤、矫形临床医疗工作,曾在德国科隆ST.VINZENZ HOSPITAL进修学习创伤治疗、足踝的损伤治疗和肢体功能重建技术。曾在北京积水潭医院进修学习足踝的运动损伤。
擅长治疗足踝部的疾病,包括:足踝部的创伤、运动损伤、先天和后天获得性畸形,功能性疾患等足踝部疾患。
擅长运用Ilizarov技术,采用Ilizarov支架和Taylor支架进行肢体的延长、骨搬运、畸形矫形,治疗骨感染、骨不连、肢体畸形
学术团体任职:国际矫形和创伤外科学会(SICOT)足踝委员会委员、中华医学会足踝学组青年委员、全国中西医结合学会足踝学组常务委员、全国中西医结合学会外固定学组委员、广东省国际内固定组织(AO)委员会委员、广东省创伤骨科学会肢体重建和外固定学组副组长、广东省创伤骨科学会青年委员、广东省医师协会足踝学组委员、广东省中西医结合标准化治疗委员会委员、佛山市医学会骨科分会委员、佛山市骨科临床质量控制中心秘书、专家;佛山市中西医结合学会骨科专业委员会常委、秘书。
开诊时间:周1、5上午
开诊地点:门诊大楼1楼骨科诊室8(足踝专科)
- END -

点击“阅读原文”,进入朱永展专家挂号页面

在看点这里
