本文由老苗手打原创,拒绝侵权抄袭转载。
照顾孩子也是一门学问,很多时候,可能父母会觉得自己已经做得很周全了,却不知有时候就是自己太过周全,才会导致孩子受到伤害。

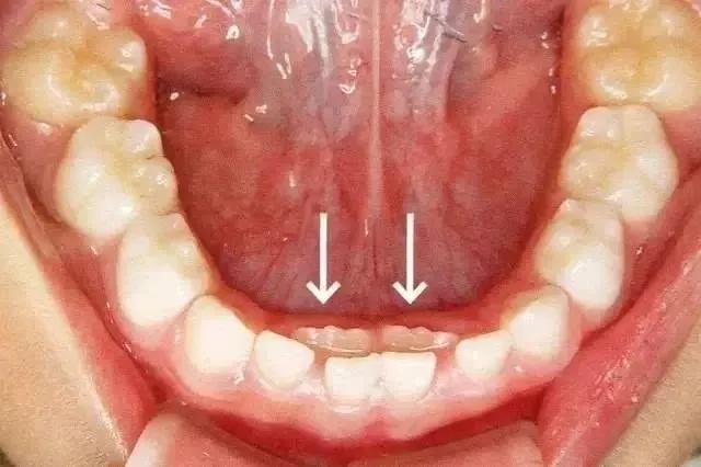
小韩家的孩子刚刚6岁,就已经都很独立了,很久以前开始就可以自己刷牙了,所以她就没怎么操心过孩子牙齿的问题,直到前段时间她的孩子突然哭闹着对她说:“妈妈,我牙齿那里好难受”,小韩经过查看后,这才注意到孩子的门牙那里居然长了两排牙齿,在乳牙还未脱落的情况下,就已经长出了恒牙。

这一发现让小韩难受不已,觉得是自己没有照顾好孩子,最后在医生的诊断下,才知道原来是自己平时给孩子准备的食物太过精细,导致他的牙齿咀嚼不够,没能承担足够的压力,所以导致乳牙没能及时掉落,出现了双排牙现象。医生告诉小韩,只有让孩子多咀嚼硬一点的食物,才能让他们的乳牙自行脱落,否则就只能借用外力来帮助乳牙脱落了,当然也可以用手摇晃孩子的乳牙,加快它们的脱落速度。
最后在小韩的各种折腾下,孩子的两颗乳牙终于掉了,但由于乳牙掉落太迟了,孩子的恒牙已经长歪了,这让小韩后悔不已,想着要是自己早发现就好了。

如何避免孩子出现“双排牙”
首先,要培养孩子的咀嚼习惯,所以父母在日常生活中,尽量不要将食物弄的过于精细,能够保持它们原本的特性最好,尤其在他们4、5岁的时候,要多吃块状的食物,才能更好的锻炼他们的咀嚼能力,而且还可以让孩子对食物产生更大的兴趣,对培养孩子良好的饮食习惯也是有所帮助的。
其次,多给孩子吃硬一点的东西,这样可以刺激到他们的牙齿,加快乳牙脱落的速度,不仅可以防止“双排牙”的出现,还能够缓解牙龈疼痛、发痒等情况。

“双排牙”的危害
首先,最明显的危害就是会导致孩子恒牙长歪,因为如果乳牙不能及时脱落的话,恒牙就没有正常的生长空间了,所以就会形成恒牙、乳牙挤成一堆的情形出现,导致孩子的牙齿无法排列整齐,甚至可能还会因此形成所谓的“地包天”,这对孩子形象的影响无疑是非常大的。
其次,会影响到孩子的口腔健康,牙齿排列不整齐,就会导致孩子在刷牙的时候,很多地方不能清洁到,长时间下去,孩子就会因此出现牙垢、结石、口臭等现象,对口腔健康的危害是非常大的。

结语:
牙齿的好坏,对人的影响还是非常大的,不但会威胁到他们的健康,还会影响孩子的整体形象,所以父母在孩子换牙期间,一定要重视起来,让孩子养成刷牙的好习惯,保持好自身的口腔卫生,并且定期进行口腔检查,看他们牙齿的生长有无异样,有问题早发现早治疗!

今日话题:你家孩子换牙的时候顺利吗?你有没有专门针对孩子换牙做过什么措施?
我是老苗——一名80后超级奶爸,也是医院里最炸眼的男性护士长!在孕育新生命的过程中,遇到任何问题或者困惑都可私信或留言问老苗,也希望你关注老苗一下。