文:嘉兴
这几天的广州仿佛疯了一样进入了蒸笼模式,每天30℃以上的高温再加上时不时地下雨让广州过分的湿热,在这样的环境下,想不生病都显得有些困难。
7.15日,医生接诊了这样一位患者……。
患者姓钟,31岁,女,在某商场从事销售行业,从一个多月前开始,钟女士就出现了咳嗽、胸痛、胸闷的症状,刚开始,她还以为是最近的天气变得过于恶劣导致的,因此并没有对自己的病情给予更多的关注。

过了半个月,钟女士吃了无数的止咳药、化痰药,效果全都不佳,而且她感觉自己的症状还有所加重,无奈之下,钟女士只能来到家附近的社区医院做检查,希望打瓶吊针就能患者自己的症状。
社区医院医生听完钟女士的症状后表示这病情并没有钟女士认为的那么简单,医生建议钟女士拍个简单的胸片看看,然后再做打算。
原本,钟女士想转头就走,因为她觉得这就是浪费钱,可考虑到来都来了,那就不妨检查一下,这才不情愿地同意医生拍片检查,胸片结果出来后医生大吃一惊,果然这和他猜测的一样,问题十分严重,医生指着胸片上左肺的黑色致密阴影对钟女士说:“你这很可能是肺癌,要赶紧去专科医院检查”。
钟女士吓得魂飞魄散,迅速赶回家和丈夫说了这件事,夫妻二人先是抱头痛哭,然后钟女士的丈夫表示不管结果如何,他都会倾尽一切给钟女士看病的。

当天晚上,钟女士就在丈夫的陪同下来到了我院进行检查。
当时,医生正和主任沟通如何给一位新冠后遗症患者做康复,接诊到钟女士后,医生详细地看了片子和谨慎的问诊,发现钟女士的症状以及影像学检查和肺癌已经重叠了80%,遂立即将其收治入院,并且给予一定的药物治疗。
像她这种肺癌是一定要做手术的,否则病情持续恶化下去,患者根本活不了多久,但在手术前,一定要完善患者的基本检查,不然闹出了事故那才是最麻烦的。
查体、验血、MRI、造影等全部做完了,确实看到患者的左肺有巨大的占位,但奇怪的是血液指标中象征着肺癌的那一项指标并没有升高,而且其它器官和软组织都没有癌细胞转移的迹象,这不符合常理,按照逻辑考虑,那么大的癌灶一定到了肺癌晚期,其它器官组织不可能一点损伤都没有的。

在查体的时候,医生还发现了一个有意思的地方,那就是患者的面部和胸部都有一些奇怪的皮疹,而且有些皮疹已经溃烂结痂了,由于它和肺癌没有关系,所以医生并没有过多在意。
最终,考虑到患者肺癌的概率更大,于是医生还是联系了外科医生预约了手术时间,到了手术前一天,科室主任突然记起了这位患者,要求看一下所有的诊断和病例。
医生将所有的东西摆在了主任面前,刚开始主任看着检查报告,听着医生的述职频频点头,但当他看到查体那一项的时候顿时皱起了眉头,他问:“你仔细检查过这是什么东西了没有”?
医生说:“可能是过敏吧,我没来得及查,这个肺癌患者可拖不了太久了”。
主任说:“立即推迟手术,这很可能不是肺癌”。
医生有些奇怪,连忙问为什么。

主任说:“首先,你得看患者的状态,她虽然有部分肺癌的症状,也有咳嗽、胸闷的表现,但仅凭这些来看是不够的。
其次,你有见过面色红润、营养充沛的肺癌中晚期患者吗?这显然很不合理,还有,你是不是应该先做个穿刺再下结论”?
医生仔细地考虑了主任说的话,觉得十分有道理,于是和钟女士及其家属沟通了一下,钟女士及其家属表示理解,毕竟他们也不希望真的是肺癌中晚期。
经过新一轮的检查,终于在穿刺中找到了答案。
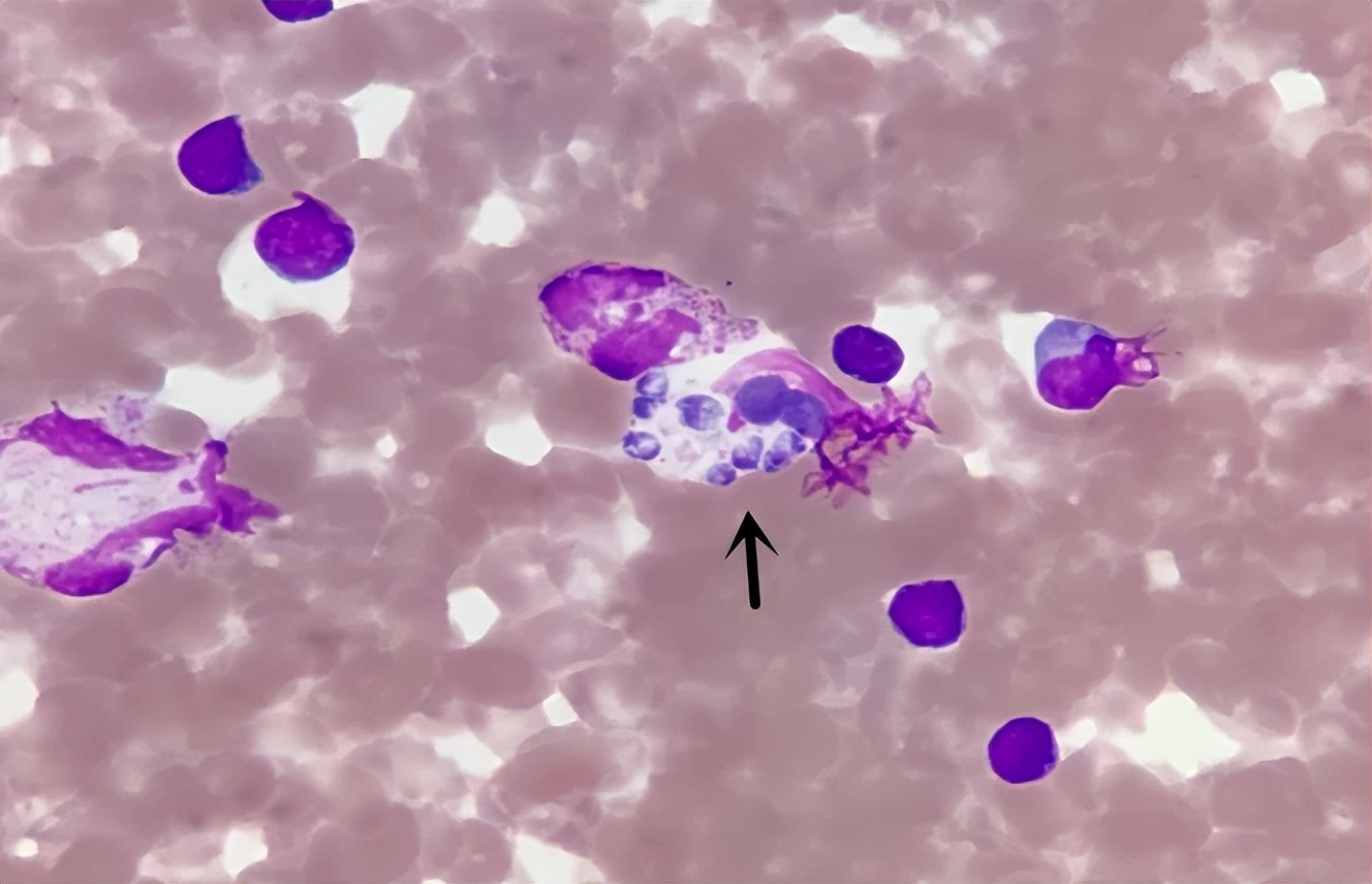
穿刺医生缓缓的将穿刺针经过胸膜腔脏层胸膜穿刺入肺,然后大家就肉眼可见的看着浓白色的液体流出肺脏,破案了!患者不是肺癌,而是巨大的肺囊肿!这在临床上也经常误诊。
医生吓出一身冷汗,幸好没做手术,要不然问题可就大了,但到底是什么原因引起的肺脓肿呢?

主任让穿刺医生赶紧把引流出来的脓液送到化验科,希望它们能快速培养一下,看看到底是什么原因导致了肺囊肿这么严重。
两三天后,在众人焦急地等待下结果出来了,居然是“马尔尼菲蓝状菌”,主任有些惊讶:“怎么可能是这种细菌”?
主任的惊讶不无道理,因为这种细菌感染往往存在于艾滋病患者身上,正常人身上很难感染这种细菌,而钟女士入院查体的时候已经检查过了,并没有HIV病毒,那这到底是什么地方感染的?
主任想了一会说道:“还有一种可能,那就是动物传播”。
在南方这种潮湿的环境中,许多细菌会茁壮成长,这导致了许多动物身上会携带一些罕见的病菌,当我们询问钟女士最近有没有和什么动物接触时,钟女士想了很久,最终她还是回想起了自己在一个月前去了野生动物园,并且和动物们有亲密的接触。

真相大白,果然是动物传播的马尔尼菲蓝状菌,找到原因后,医生给钟女士开了伏立康唑激素治疗,在配合一些其它的药物,不到三天,钟女士咳嗽的症状就缓解了很多,一周后已经能独立出院了。
马尔尼菲蓝状菌是蓝状菌属的其中一种,而且是蓝状菌属中为数不多的能致命的细菌,它进入人体后会与多种黏多糖类细胞相结合,将巨噬细胞转化为酵母形态增强本身的毒性和继续繁殖,在通过黑色素化就能完美的逃避免疫系统的追杀。
因此感染马尔尼菲蓝状菌的患者最主要出现的病情是细胞免疫缺陷,就和HIV非常类似,当巨噬细胞吞噬了马尔尼菲蓝状菌后没办法将其杀灭,但马尔尼菲蓝状菌又能在巨噬细胞内大量增生,时间一长就会导致全身播散性感染,引起内脏的化脓坏死。

肺部是该细菌主要入侵的门户,也是最早受累的器官之一,病人感染了这种疾病后主要表现为咳嗽、咳血、咳痰、胸痛等症状,肺CT可以出现类似肺癌、肺结核等改变。
该病菌主要存在于广西竹鼠身上,希望大家有意识地避免接触这种生物。

总结:
综上所述,钟女士的病情由于过于罕见,差点引起了医生的误诊,当然这并不能怪钟女士,应该要求医生不断的提高自己的诊断水平和鉴别水平,同时也希望大家在这种季节保护好自己,外出带好口罩,不要去动物多的地方。