垃圾分类是为了更好的处理垃圾,保护环境。那么我们要保护牙齿,口腔里的垃圾有多少种呢,怎么去分类?

很多一线城市都在如火如荼的进行中,近日杭州市也发布了新的垃圾分类管理条例。今天就按照杭州的分类标准给大家说一说口腔里的垃圾分类。
一.易腐垃圾
1.龋齿俗称蛀牙

龋齿是因为口腔里的细菌利用糖分繁殖分解产酸引起牙体组织的变性,结构破坏,形成蛀洞。牙齿会出现酸甜食物痛,冷热刺激痛,食物嵌塞入洞痛。
龋齿的处理方法 补牙

未按规定处理将面临的处罚 随着龋洞不断的加深,将会出现牙神经痛,牙根发炎,让你寝食难安,长期拖延不处理有拔除患牙的可能。
二.有害垃圾
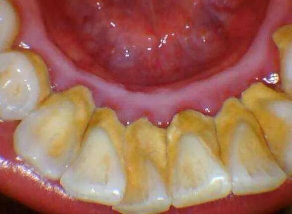
1.牙结石俗称石灰牙

由于口腔清洁不到位,菌斑聚集,结合口水中的矿物质形成结石。牙结石不断刺激牙龈,导致牙龈出血,牙龈萎缩,口腔异味等。
牙结石的处理方法 超声波洁牙。

未按规定处理将面临的处罚 随着牙结石越积越多,牙龈炎症厉害,将发展成为牙周炎。到时候牙周脓肿,牙齿松动,最终牙齿脱落。
2.残留牙根

由于蛀牙等原因,牙齿烂到牙根,残留在口腔内。往往这些牙根都没有经过治疗,很多都不能保留利用,经常会出现牙根脓包。不容易清洗,容易导致牙龈发炎,出血等情况。
残根的处理方法 拔除

未按规定处理将面临的处罚 残根的慢性炎症在急性发作时会引起牙槽脓肿,面部肿胀,创伤性口腔溃疡,长期的慢性炎症也可能会形成颌骨囊肿等疾病。
3.不良修复体

早些年,江湖游医在一些偏远地区,尤其是农村里,做一些假牙。正规的活动假牙是可以自己摘戴清洗,而这些不良的修复体,自己摘不下来,大量食物残渣聚集,却不能清洗干净,导致很多问题。
不良修复体的处理方法 拆除

未按规定处理将面临的处罚 蛀牙未处理的一起严重后果,牙龈出血,口腔溃疡,不能做磁共振检查,有的甚至出现口腔癌等可怕后果。
4.智齿

智齿是因为人类进化,食物精细,下颌骨变窄,导致没有萌出的空间。往往都是阻生的,长歪的。因为位置的问题,不易清洁,食物嵌塞厉害。容易引起智齿冠周发炎,智齿以及邻牙蛀牙等问题。
智齿的处理方法 拔除

三.可回收物
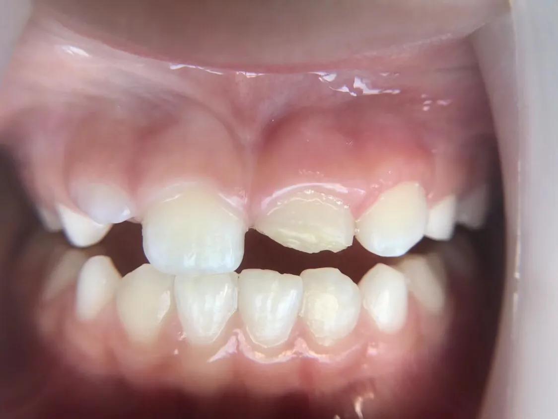
1.牙外伤碎片


意外以后牙齿摔断,尤其是小孩子。很多人想着第一时间去医院就诊,往往忽略了把断的牙齿碎片找回来。现在的粘接技术是可以将断的碎片重新粘接回去。
牙外伤的处理方法 及时找回牙齿或者碎片再就医

未按规定处理将面临的处罚
未按规定处理将面临的处罚 碎片万一没有找回没有太大严重后果,只是在治疗过程中的时间精力金钱都会付出更多。
今天的口腔垃圾分类就到这里了,欢迎大家一起讨论,补充!如有口腔相关问题,评论区留言,我会一一回复。