
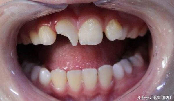
烧哥老牙医,聊聊口腔问题~打篮球不小心磕坏了门牙,根部也没有损坏,虽然不疼不痒,但笑起来影响美观,碎了一块还能再补回去?
是可以补牙,但碎了那块就不能粘接了,门牙受外力撞击缺损一角,第一有可能伤及牙本质,第二牙髓没有被感染,牙根完整没有受损,这种程度只需要制备一定的固位洞型,再充填复合树脂这样才不会轻易脱落,而且复合树脂接近天然牙的颜色,不仅美观也不算太贵。

缺损门牙刚开始吃冷热酸甜偶尔会牙齿敏感,一般人是可以接受的,另外磕坏的牙体部分是不能重新粘接回去,不然咀嚼食物时容易掉出来,吞进肠胃就不好了。
门牙缺损程度不同怎么办?
1、门牙一小块掉了
这种情况影响不大,考虑到美观问题,再调磨一下牙釉质。
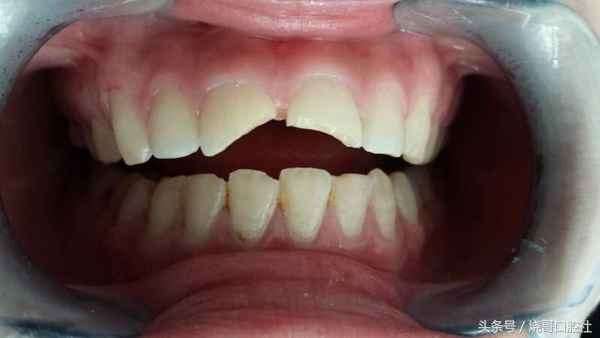
2、门牙缺损一角
牙釉质被破坏掉,暴露出牙本质偶尔还会酸痛,通常简单补牙就能搞定。
3、门牙缺损一半
可能会露出牙髓,甚至外伤引起牙髓炎急性发作,得抽出牙髓做根管治疗,最后装上烤瓷牙冠或者瓷嵌体修复,为了保护没有营养如同死去的原牙。
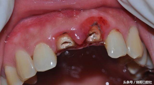
4、门牙只剩下残根
整颗牙冠都掉了,这时候千万不能拔除,得看缺损位置是否在牙龈下面,较深的话牙根已经不完整建议拔除后再进行修复,要是牙根不是很深长度也够,还能保住牙根打入纤维桩后再做烤瓷牙冠修复。

你要注意完整牙根的好处!只要牙根完整依然能够保留!
一是再贵的种植牙吃东西是没有真牙根自然。
二是正规的桩冠修复下,术后和根管治疗过的牙齿感觉是差不多的。
三是做种植牙或者镶烤瓷牙除了治疗时间长,费用真的是伤不起。

后期补牙位置不能咬硬的食物,不然补牙材料不久是会掉出来,尽量用另一侧牙齿进行咬动,如果补牙后没多久经常隐痛,说明细菌龋坏过深,有可能接近牙髓边缘,刺激到牙髓,这种是不能再重新补牙了,只能做根管治疗。
暂时缓解牙疼可以先吃甲硝唑片或者阿莫西林胶囊,再含有氯己定的KIN吉兰漱口水进行漱口消炎杀菌,最好到医院进行拍片检查进行治疗,欢迎关注【烧哥口腔社】,有牙齿问题在评论区留言,烧哥医生亲自来回答你!
