之前小编介绍了脑卒中的分类及鉴别诊断等知识点,接下来讨论一下脑卒中的治疗策略。
治疗
对疑诊脑卒中的患者,急诊处理包括以下几方面。
● 保持最佳的生理状态,包括氧合、补液和理想的血糖水平。所有患者最初应该禁食禁水,并开始维持静脉注射生理盐水。如有低血压,应密切监测血压,并适当补充胶体溶液。如有发热,应积极寻找病因,适当应用解热药控制体温。气道保护(包括气管插管)可能是必要的。
● 脑卒中和脑卒中亚型的进一步诊断(IS、ICH或SAH)需要进行头颅计算机断层扫描(CT),所有疑似脑卒中的患者应在入院24h内完善该项检查。
● 毛细血管血糖监测。
● 因为脑卒中患者通常有心脏基础疾病,所以应该进行心电图检查。
● 急诊科行急诊 CT扫描将在以下方面进行说明。
1. IS患者需溶栓或抗凝治疗,如在症状发作后3 ~ 4.5h(图 8-1和图8-2,缺血性脑卒中的头颅CT表现)。

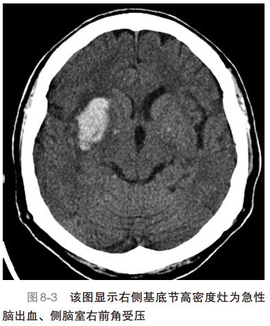
2. 怀疑ICH,如剧烈升高的血压、头痛、呕吐,可能合并困倦、血小板计数减低、凝血功能障碍,使用抗凝剂或使用兴奋剂药物(图 8-3为ICH颅脑CT)。

3. 怀疑SAH,如最剧烈的头痛、脑膜炎或意识丧失。
4. 患者早期恶化高危因素,如伴有偏瘫的严重皮质脑卒中,凝视麻痹、失语症或偏身忽略,疑似颅后窝脑卒中。
● 这些患者的头部 CT扫描结果将有助于开始适当的药物治疗、及时咨询神经外科和早期判断预后。对于溶栓治疗的IS患者,目标是45min内完成CT扫描及报告,并呈递给急诊科。此外,还应在 15min内做出是否进行溶栓治疗的决定(溶栓标准见表8-13和表8-14)。

● rtPA 剂量为0.9mg/kg,其中10% 在最初1min内静脉注射,其余 90%的药物持续静脉滴注1h。
● 其他检查,如心肌酶、尿素、电解质、肌酐,应该根据患者的临床表现选择完善,但不应延迟急诊头颅CT扫描。
出血性脑卒中
● 急性降低血压可减少再出血及血肿扩大风险。
● 然而,过度的血压控制可能会加剧紧邻血肿受压区域的局部缺血。
● 急性出血性脑卒中患者血压控制的目标,如表8-15所示。

缺血性脑卒中
● 大多数共识指南建议,缺血性脑卒中患者需要适度降压。当收缩压> 220mmHg或舒张压>120mmHg时,建议在脑卒中发作后的第一个24h内谨慎地将血压降为原有水平的 20%。
● 当脑卒中患者有以下并发症时,需要更积极的控制血压。
1.充血性心力衰竭。
2.急性心肌缺血 /心肌梗死。
3.主动脉夹层。
拟行rtPA治疗的患者,目标血压为收缩压< 185mmHg,舒张压< 110mmHg。
处理
● 所有脑卒中患者都应该接受进一步的检查、治疗和康复治疗。如果可以密切随访,那么腔隙性脑梗死患者在发病48h后无进行性或致残性神经功能缺损,可以出院回家。