李四(化名)因腹痛就诊。
在进入诊室后门墩er先是问了问“为什么来检查啊?”,当时录入也不在,就没有查病史,直接问。
没想到李四既心酸又无奈地说:“我总是上腹痛和右下腹痛,什么检查都做了,没有找到原因”
两年前李四(化名)就曾做过彩超,但当时腹部提示为阴性。
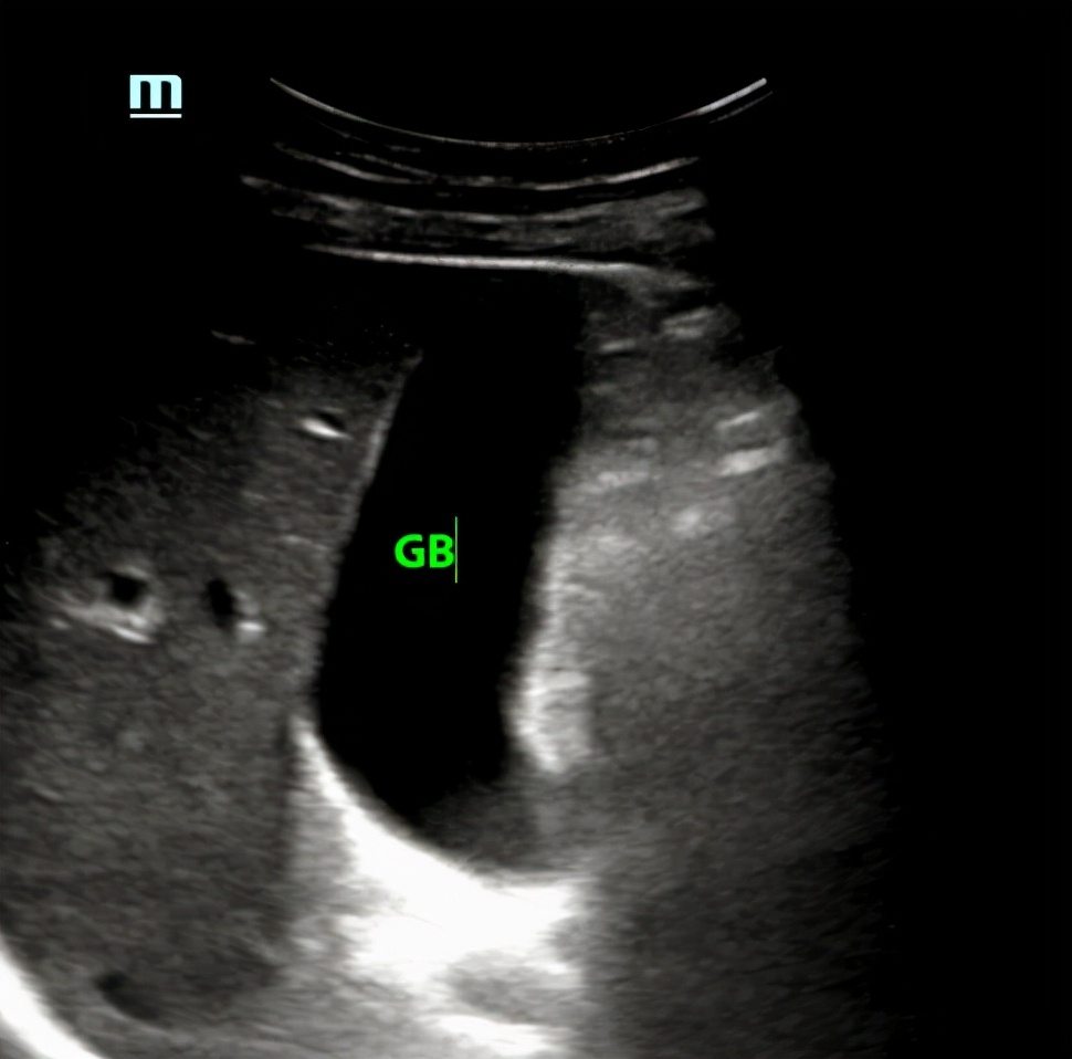
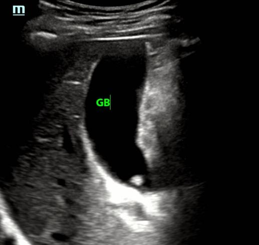
胆囊如图:

两年前的胆囊

从上图来看,胆囊内确实没有明显异常,只是形态看起来有些饱满,但胆囊颈部未能完全显示,肝外胆管也未能显示清楚。
门墩er一边观察着各个器官,但也十分苦恼,气体咋这么重。

我看不见胆囊颈部和肝外胆管。怎么办?“要不写看不清?”
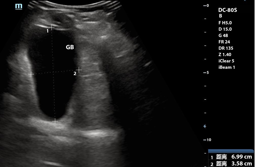
一边心想,一边让李四左侧卧位,从肋间看看胆囊

肋间明显看胆囊好点了,但胆囊颈部还是显示不清。。。。
“要不写看不清算了,真折腾,哎,但是也没有其它明显阳性体征啊,怎么会翻来覆去疼呢?算了,算了,再看看”每当看不清时,“气体干扰重”这句魔语就像我袭来。
“我到底有没有结石?”李四突然发问。
我反问“你哪里有结石啊?在哪儿查过啊?”
李四不语,我。。。。“好,明白了,考我来了”

先摆平气体干扰不重的肾脏,没有慢性结石。
那极有可能就是胆囊了,但是胆囊颈部有迷雾包绕,我已经换了好几个体位了,就连坐位都试过了,还是看不清。。。。
“咋办?咋办?咋办?”一边假装冷静,一边翻来覆去思索。
最终还是决定左侧卧位在肋间再仔细找找,因为这样看得更清楚些。

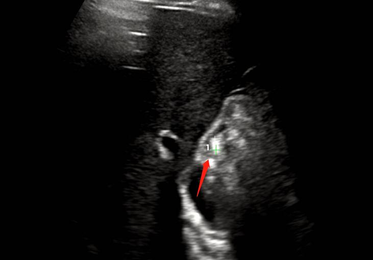
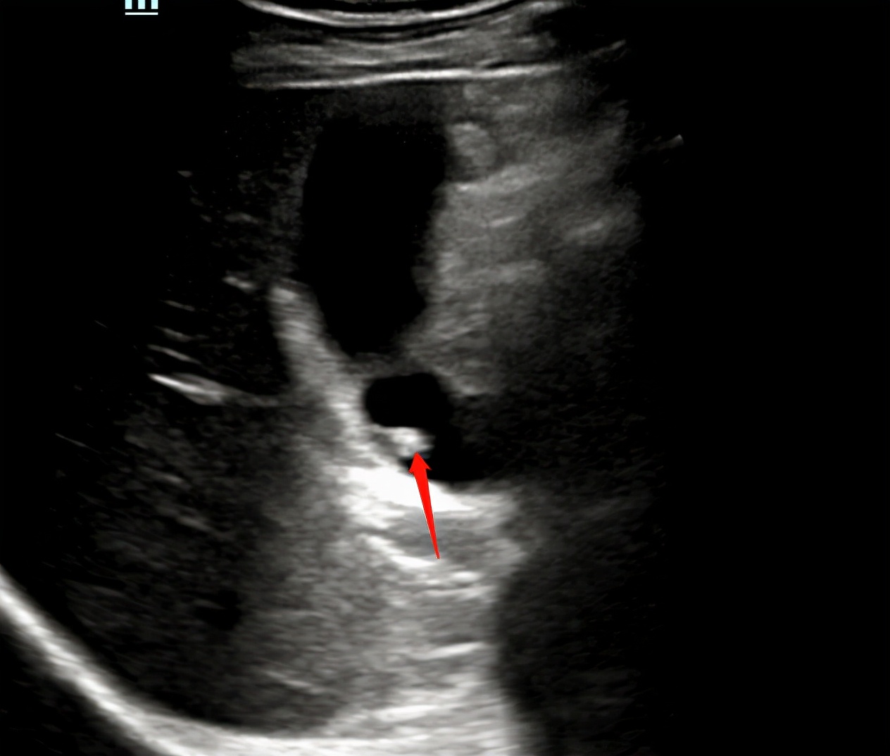
突然,在一个犄角旮旯发现个不明强回声。仿佛看到了黑暗中的黎明。。。

疑似啊,疑似,还不能确诊,咋整呢?????
仔细一想“胆囊结石是随体位移动,要不在床上打两个滚?”
“李四啊,你这样,在床上滚两下,对,就是这样左边翻一下,右边翻一下。。”
好歹李四年龄不大,50多岁,翻滚四五个来回后,又从肋间瞅瞅。

终于滚出来了
此时我明确地告诉李四“你确实有结石”,李四也回应了“哦”,估计心想“我早就知道了”


后来李四走后,我查了查病史,原来两年前做了彩超后,又做了CT,CT提示有胆囊结石,这次先做了CT,再做的彩超,上次超声没报结石,而CT报了,这次CT也报了,所以李四很蒙圈,到底有没有结石。而我也差点没发现。
对于“气体干扰重”,这句话是把双刃剑,如果确实气体重,看不清,我们应写明因气体干扰重,具体哪里没有看清,从而给临床信息,让临床知道“这里没看见,你应结合其它检查,或需复查”。
如果当看不清,千万不能默认阴性 ,这将可能带来不必要的麻烦,不光是临床对超声不信任,患者对超声和临床也会不信任,这是很不好的后果。
实事求是,知之为知之,不知为不知,千万不能默认为阴性。 (门墩er差点就是个典型,差点默认阴性,请大家引以为戒)