食管癌

食管癌是原发于食管黏膜上皮的恶性肿瘤,主要为鳞癌和腺癌。临进行性吞咽困难为进展期典型症状。食管癌是世界范围内常见的恶性肿瘤,在我国恶性肿瘤率居第三位,死亡率居第四位。其流行病学有以下特点:①地区性分布,亚洲国家发病率高,我国主要以太行山、闽粤交界及川北等地区发病率高;②男性发病率高于女性,男女比1.3-3:1;③中老年易患,发病年龄多在50岁以上。

一、病因
食管癌的发生主要与以下因素相关:
(一)亚硝胺类化合物和真菌毒素和遗传易感性有关。
1.亚硝胺 在食管癌高发区,粮食和饮水中的亚硝胺含量显著高于其他地区,且与当地食食管上皮重度增生的患病率呈正相关。
2真菌毒素 霉变食物中的黄曲霉菌、镰刀菌等真菌不仅能将硝酸盐还原为亚硝酸盐,而且是进亚硝胺等致癌物质的合成,并常与亚硝胺协同致癌。
(二)慢性消化刺激及炎症
长期吸烟和饮酒、吸食粗糙和过烫食物等对食管黏膜的慢性理化刺激,胃食管反流病、腐蚀性管灼伤和狭窄、贲门失弛缓症、食管憩室等慢性食管疾病引起的炎症,均可导致食管癌发生率增高。
(三)营养因素
维生素(A、B2、C、E、叶酸等)、锌硒、钼等微量营养素缺乏是食管癌的危险因素。
(四)遗传因素
食管癌的发病常表现家族倾向。高发区有阳性家族史者达25%-50%,其中父系最本母系次之,旁系最低。此外,在遗传与环境双重因素作用下,Bb、p53、P16等抑癌基因失活,Hmas、cmyc、h等原癌基因激活及 cyclin DI等细胞周期调节基因表达变化,均与食管癌的发生有关。

二、病理
食管癌的病变部位以中段居多,下段次之,上段最少。胃贲门癌延伸至食管下段时,在临床上与食管下段癌不易区分,又称食管贲门癌。
(一)大体病理
1.早期食管癌 病灶局限于黏膜层和黏膜下浅层,不伴淋巴结转移。胃镜下呈充血、斑块、糜烂充血型多为原位癌,是食管癌的早期表现;斑块型最多见,癌细较差;乳头型主要为早期浸润癌癌细胞分化一般较好。
2、中晚期食管癌癌组织逐渐累及食管全周突入腔内或穿透管壁侵质型、蕈伞型、溃疡型和缩窄型。
(二)组织病理
90%的食管癌为鳞状细胞癌,少数为腺癌,后者多与 Barrett食管恶变有关。
(三)食管癌的扩散和转移方式
1、直接扩散 蔓延癌组织首先向黏膜下层和肌层浸润,穿透食管壁后向周围转移。
2、淋巴转移 是食管癌的主要转移方式,晚期常转移至肝、肺、骨等处。

三、临床表现
(一)症状多不典型,主要表现为胸骨后不适、烧灼感及针刺或牵拉样痛,可感。
1、进行性咽下困难 早期症状时轻时重持续时间长短不一,甚至可无症状。进行性咽下困难是中晚期食管癌的典型症状,也是大多数病人就诊的主要原液体食物也不能咽下。
2、食物返流 食管梗阻的近段有扩张与潴留,可发生食物反流,反流物含黏液、混杂宿食,可呈血性或可见坏死脱落组织块。
3、咽下疼痛 系由癌所致的食管糜烂、溃疡、外侵或近段食管炎所致,以进热食或酸性食物后更明显。
4.其他症状 肿瘤压追喉返神经可出现声嘶、呛咳;侵犯膈神经可导致呃逆;出现肝转移可引起黄;发生骨转移可引起疼痛;侵入气管、支气管可引起食管支气管梗、纵隔脓肿、肺炎、肺脓肿等;侵犯主动脉可造成致死性大出血。晚期病人呈恶病质状态。
(二)体征
早期体征可缺如。晚期可出现消瘦、贫血、营养不良、脱水或恶病质等。出现转移后,常可触及肿大而质硬的浅表淋巴结或肿大而有结节的肝脏,少数病人可出现腹腔或胸腔积液。
(三)辅助检查
1.胃镜 是食管癌诊断的首选方法,可直接观察病灶形态,并取活检以确诊。色素内镜、电子染色内镜、放大内镜及共聚焦激光显微内镜等可提高早期食管癌的检出率。
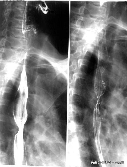
2.食管钡剂造影 当病人不宜行胃镜检查时,可选用此方法。钡剂造影主要表现为:
①黏膜皱襞做坏,代之以杂乱不规则影像:
②管腔局限性狭窄,病变处食管僵硬,近段食管扩张;
③不规则充盈。
3. CT 可清晰显示食管与邻近纵隔器官的解剖关系、肿瘤外侵程度及转移病灶,有助于制订外科手术方式及放疗计划,但难以发现早期食管癌
4. EUS 有助于判断食管癌的壁内浸润深度,肿瘤对周围器官的侵犯情况以及异常肿大的淋巴,其他检疫PTCT可发现病灶,并有助于判断远处转移。此外,目前尚无诊断食管癌的特异期、治疗方案选择及预后判断有重要意义。

四、诊断与鉴别诊断
对于有食物通过缓慢、轻度哽噎感或咽下困难者,应及时做相关检查确诊。食管癌需与下列疾病鉴别
1. 贲门失弛缓症 因食管神经肌间神经丛病变,引起LES松弛障碍所致。临床表现为间歇性咽下困难、食物返流和胸骨后不适或疼痛,病程较长,一般无进行性消瘦。食管钡剂造影可见贲门梗阻呈漏斗或鸟嘴状,边缘光滑,食管下段扩张明显。
2. 胃食管反流病 胃十二指肠内容物反流入食管,引起烧心胸痛或吞咽困难,胃镜检查可见黏膜炎症、糜烂或溃疡,黏膜活检未见肿瘤细胞。
3. 食管良性狭窄 有腐蚀性或反流性食管炎、长期留置胃管或食管相关手术病史。食管钡剂造影见食管狭窄、黏膜消失、管壁僵硬,无钡影残缺征。胃镜检查可确诊。
4. 灌球症 女性多见,主要症状为咽部异物感,进食时消失,常由精神因素诱发,多无器质性食管病变。
5. 其他 需与食管平滑肌缩、食管裂孔疝、食管静脉曲张、纵隔肿瘤、食管周围淋巴结肿大、左心增大、主动脉瘤等引起吞咽困难的疾病相鉴别。

五、治疗
早期食管癌在内镜下切除常可达到根治效果。中晚期食管癌可采取手术、放疗、化疗及内镜治或多种方式联合应用。
(一)内镜治疗
1.早期食管癌 内镜治疗是有效的治疗方式,包括:
①内镜黏膜切除术 在内镜下将病灶整块或分块切除;
②多环套扎黏膜切除术 使用改良食管曲张静脉套扎器进行多块黏膜切除;
③内镜黏膜下剥离术 在进行黏膜下注射后分离黏膜下层与固有肌层,将病变黏膜及黏膜下完整剥离;
④内镜下肺切除治疗 ,如射频消融术光动力疗法、氩离子凝固术及激光疗法等也有一定疗效。
2. 中晚期食管癌 有梗阻症状者,可通过内镜解除梗阻。
①单纯扩张: 缓解症状持续时间短且需反复扩张,不适用于病变范围广泛者;
②食管内支架置放术: 内镜下放置支架,可较长时间缓解梗阻,以提高病人生活质量。
③内镜下癌肿消融术: 可用于中晚期食管癌的姑息治疗。
(二)手术
食管癌手术切除率为58%-92%,早期切除常可达到根治效果。但大部分病人诊断时已处于中晚期,即使提高手术切除率,孕期疗效仍不理想。
(三)放疗
主要适用于上段食管癌及有手术繁忌者,也可用于术前或术后放疗。
(四)化疗
常用于不能手术或放疗的晚期病人,也可用于术前或术后化疗。多采用联合化疗方案。早期食管癌及时根治预后良好,内镜或手术切除5年生存率大于90%。已出现症状且未经治疗的食管癌病人一般在1年内死亡。病灶位于食管上段、病变长度超过5cm、已侵犯食管肌层、癌细胞分化差或伴有转移者,预后不良。

六、预防
一级预防改良饮水、防霉去毒和改变不良生活习惯等。二级预防是在食管癌高发地区进行普查,对高危人群进行早发现、早诊断、早治疗。三级预防是对食管癌病人采取积极有效的治疗措施,延长生存期,提高生活。