王女士今年40多岁,人到中年,上有老,下有小,尤其是小的正在读小学,一提起辅导写作业,满眼都是泪啊…… ;在单位又属于中坚力量,事情繁多、压力颇大。对自己的健康也无暇顾及,但是近半月来右手麻木逐渐加重,中指、无名指尤甚,在手指屈伸活动时明显。想起自己早在3年前就出现了右手麻木,一直未予重视,王姐顿觉不妙,遂来我院门诊就诊,骨科大夫查体后初步诊断为“腕管综合征”,建议做腕关节MR检查。

可能读者会问,诊断了弯管综合征了,为何还要做核磁?
原因是1,为了证实,获得证据,现代医疗是要讲证据的;2:为了判断病情的严重程度;3:为手术做评估,只有核磁能告诉骨科大夫病变的部位,以及手术的目标在哪里。
腕关节MR检查发现右手正中神经明显增粗、屈肌支持带弯曲,进一步证实了骨科大夫的诊断。由于王姐的病程较长、症状明显,最后做了切开减压手术。

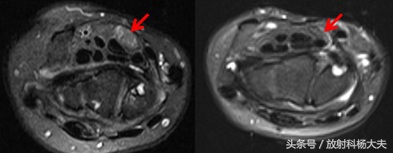
左图为王女士的T2压脂图像,箭头所指为被卡压的正中神经,右图为正常正中神经的图示,对比可见左图正中神经明显增粗。

王女士的腕关节图像,质子相矢状位见屈肌支持带弯曲、正中神经突然增粗。
如果您还感兴趣,下面我们来介绍下相关知识:
腕管由屈肌支持带(腕横韧带)与腕骨沟共同构成。管内有:指浅、深屈肌腱、屈肌总腱鞘、拇长屈肌腱及其腱鞘和正中神经。正中神经在腕管内变扁平,紧贴屈肌支持带桡侧端深面,居于拇长屈肌腱与至示指的指浅屈肌腱之间。因为正中神经通过腕管处比较狭窄,而且腕管各壁坚硬,所以正中神经容易被卡压。
腕管综合征是指正中神经在腕管内受压引起的上肢神经卡压性疾病,好发于中年女性,近一半患者表现为双侧发病。腕管综合征的常见原因包括腱鞘炎、肿块、滑膜增生及外伤后骨化纤维化导致的腕管缩小。慢性缺氧也可能是发作的诱因之一,但腕管综合征大部分仍为自发性,表现为与年龄增大相关。而此例王姐的发病并没有明确的诱因。
临床表现:手部不适,拇指、第二、三指及第四指桡侧感觉异常,大鱼际肌萎缩、无力。 可见Tinel征阳性,即正中神经支配的手指出现麻木刺痛感。 临床查体做Phalen实验—腕关节弯曲,60秒内出现正中神经支配区麻木提示腕管综合征。

当出现类似症状时,MRI对腕管综合征的确诊有一定意义,横轴位图像最为典型,可以观察到正中神经的受压扁平,T2WI信号增高或增强扫描出现强化,屈肌支持带弯曲,腕骨和肌腱之间的脂肪间隙消失,和/或正中神经的直径突然改变。其中正中神经形态出现突然变化是最为特征性的变化。
治疗包括非手术及手术治疗,非手术治疗的方法有口服消炎止疼药和局部注射皮质类固醇药物,其中激素局部封闭注射可能损害正中神经,不建议常规应用;若保守治疗无效则需进行手术治疗,包括各种切开手术、小切口减压及内窥镜手术,目的是松解正中神经。
最后提醒最可爱的、辛勤的妈妈们,身体是革命的本钱,有病早医,重视健康!
(文 史珊)