
今天非常高兴与大家一起分享知识,我这篇讲稿是去年11月份的讲稿,在呼吸道病毒作为下呼吸道感染常见的病原体之一这个观点的基础上结合新冠肺炎增添了一些内容,下面与大家一起讨论。
呼吸道病毒肺部感染常见吗?(占呼吸系统感染的百分比?)我想现在大家都不会有标准答案,我们下面来看一些研究数据。
一、呼吸道病毒种类繁多
病毒感染性疾病始终是人类健康面临的一大挑战

出现新冠肺炎以后的科普宣传中提到野外有超过1万多种病毒,而人类认识的可能只有几百种。近几十年来,人类不断面临着细菌及病毒感染带来的挑战。如上图所示,红圈的地方都是与病毒有关的新发传染病,病毒还是我们最常见的新发传染病的病原体,现在又出现了COVID-19。所以我们不仅看到的是相关数据,也了解到病毒有多重要。
可致呼吸道感染的常见病毒

可致呼吸道感染的常见病毒有很多,包括流感相关的病毒、人类偏肺病毒、麻疹病毒、鼻病毒、肠道病毒、冠状病毒、腺病毒、单纯疱疹病毒等。我曾经请教过病毒学专家,她说冠状病毒有100多种。
冠状病毒的分类

我们平常不太关注冠状病毒,因为和人类的关系不是很大,出现SARS和新冠肺炎以后,大家才开始重视它。蝙蝠似乎是冠状病毒最佳的宿主之一。加2019年新冠病毒在内,感染人类的冠状病毒有7种。在我们常规的感冒中,人冠状病毒229E、人冠状病毒NL63以及人冠状病毒OC43是感冒病人的常见病毒,只不过致病性不算很强,通常具有自限性,过去也没有针对*药性**物,所以大家不太关注。但是我们要知道SARS和新冠病毒给社会带来了很大影响。所以单纯看冠状病毒就很复杂。
新发流感层出不穷,永远在路上

从禽流感「A」到寨卡「Z」,新发病毒不断涌现及暴发的不确定性,新发病毒不会只有A到Z 26个字母就会结束,人类将面能新的挑战。控制传染病必须持续检测和基础研究。需启动全球病毒组计划,对新发突发传染病发起「主动出击,全面出击」。
临床常见的呼吸道病毒疾病

当病毒感染后,会出现各种类型的下呼吸道感染,包括感冒、咽炎、气管炎、细支气管炎、肺炎等。感染不同的病毒有不同的主要表现,比如流感病毒,除了感冒以外会引起成人肺炎;腺病毒也会引起重症肺炎;鼻病毒主要引起感冒,但是也会引起肺炎;巨细胞病毒在免疫低下人群中的感染,是在现代医学(大剂量化疗、免疫抑制治疗,器官移植等)里面临的很大挑战,下面会讲解相关病例。
二、呼吸道病毒与社区获得性肺炎
那么呼吸道病毒到底在社区获得性肺炎(CAP)中占比多少?有没有数据指导我们,我们先看一个典型病例。
青年人社区获得性肺炎(CAP):病例分享
许某 ,男,23y,平素体健,急性起病。
主诉:寒颤发热10天,咳嗽咳痰5天,胸闷气促4天。
诊治经过:10天前饮酒和受凉-寒颤,按「感冒」治疗。第5日高热(38.3℃-40.3℃),胸片示「右肺炎」;第6日出现剧烈干咳,胸闷,气促;第8日后患者开始咯中少量黄痰;第10日有数口淡红色痰。
初步诊断:重症肺炎,急性呼吸衰竭。

8月5日~8月9日这四天的胸部影像学进展很快,尽管已经接受了积极的抗感染治疗(三代头孢、左氧等),无好转。那么这样的病例是耐药细菌感染吗?

临床CAP病例诊治经过
转入我院后,有病毒检测平台,检测出FluA阳性,我们还做了恢复期抗体也是4倍增高,所以这是一个确诊为FluA感染的病例。后来由于有明确的病毒感染,就没有使用太多的抗菌药物。病人于8月16日好转出院。

这个病例告诉我们,在CAP中,尤其是对起始的抗感染治疗无效的病例里面,存在病毒感染。
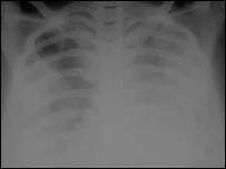
重症肺炎患者的影像学

BBC 新闻. http://bbb.co.uk 2005 12月3日 实验室证实禽流感(H5N1)
这是一个「大白肺」,如果不做病原学检测无法判断感染的病原体。这是经过实验室证实的禽流感(H5N1)感染的病例。
家庭聚集重症肺炎 - 关注度高

华东地区的人感染H7N9禽流感事件,当时就是一个家庭聚集性肺炎,引起高度关注,人感染H7N9禽流感是中国的学者首先报道和发现,这也是一个病毒的问题。
重症肺炎/ARDS:常规抗病毒vs病原学检查
对于很多肺炎来说,过去大家主要关注细菌的治疗,因为病毒是一个自限性疾病,所以病毒检测并不是常规检查。但是之前遇到一个重症肺炎导致ARDS的病例,进行气管插管机械通气,插管过程中有血性痰液。白细胞正常、淋巴细胞减少,PCT正常。看上去很像病毒感染,但是流感病毒快速检测(胶体金)阴性,医生觉得还是有点像病毒感染,经验使用奥司他韦。这种情况下,我们到底是考虑常规抗病毒治疗还是积极的病原学检测。然后PCR检测结果为流感病毒阴性,腺病毒阳性(多次)。我们知道奥司他韦对腺病毒无效。因此,我认为针对这类病人,如果不做病原学检测,还是容易导致我们的诊断不明确,治疗的针对性不够强。
COVID-19冠状病毒肺炎

有很多人讨论关于新冠肺炎的诊断标准。要确诊的话,肯定要进行病原学检测确诊,否则不好鉴别是流感病毒肺炎还是腺病毒肺炎等病毒性肺炎。尽管现在有典型影像学改变,但是总体而言病原学检查还是最重要的诊断和鉴别方法。但现在病原学检测的阳性率只有30%~40%,这就需要临床医生综合考虑流行病学、临床影像学以及动态变化,不要轻易因为上呼吸道标本检查结果阴性而排除。这时,就提别需要呼吸与危重症医学科综合诊治的基本功。动态观察和反复检查可以提高确诊率。
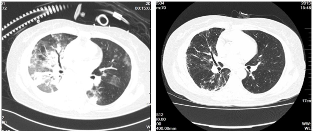
不同病毒所致的肺炎的异同?

如图所示,左边为流感病毒肺炎,右边为RSV病毒肺炎,我们能够从影像学推断病原体吗?尽管最近大家都关注一篇综述性的文章,论述病毒性肺炎的影像学改变,似乎不同的病毒肺炎的影像学具有自身的特点,但是特异性不高。我认为还需要建立一套面向临床需求的病毒学检测方法,才能够更好指导我们的临床诊断与鉴别。
社区获得性「肺炎」:经验性抗菌治疗与病原体的检测

现在各个国家的CAP诊治指南基本上是经验性抗菌药物应用,如果有效,就证实了诊断;如果无效,要论证诊断,还要根据病原学检测结果来调整抗感染药物的应用。从社区获得性呼吸道感染诊疗思维出发,经验性选择抗菌药物尤其重要。
中国成人CAP致病原流行病学调查

这是刘又宁教授等人做的一项研究,很多医院参与其中,这项研究集中了全国好的医院、好的实验室,结果很肯定的证明了CAP中只有53.11%的病例能够从细菌、衣原体、支原体的角度找到病原体。
中国成人CAP病原谱和临床的流行病学调查

再看看胡必杰教授、何礼贤教授、魏丽教授等人进行的一项研究,同样是CAP病原谱,也有46%是未发现的病原体。
广州呼吸疾病研究所成人CAP的病毒病原学

这是广州呼吸疾病研究所在2009年做过的一项前瞻性观察实验,共收集了149例成人CAP患者,30.2%能够发现病毒阳性,尤其是Flu A占比较大。
美国成人需要住院的社区获得性患者的病原学

这篇文章发布在《新英格兰医学杂志》,汇总了大量的数据。在美国CAP中,病原学阳性率为38%,其中病毒(一种或以上)的阳性率占23%,细菌占11%,细菌+病毒为3%,真菌或支原体为1%。常见病原体排序为人鼻病毒(所有病例的9%),流感病毒(6%)和肺炎链球菌(5%)。所以病毒是少见还是多见?大家应该有自己的答案吧。
社区获得性肺炎的病原学和微生物检测方法的检出率—挪威3年的前瞻性研究
这项研究的病原体检出率为167(63%),69(26%)≥1种病原体,其中单纯细菌阳性:75(28%),单纯病毒阳性:41(15%),病毒+细菌:51(19%),细菌总阳性率:126(47%),病毒总阳性率:92(34%)。常见病原体排序为肺炎链球菌(30%),流感病毒(15%)和鼻病毒(12%)。如果把流感病毒和鼻病毒的百分比合在一起,占比就到27%了,所以病毒并不少见,尤其病毒-细菌共感染在冬春季节更常见。PCR提高病原体检出率(4/5)。
社区获得性肺炎中的病毒感染 - 系统性回顾和荟萃分析

这是2016年在欧洲进行的系统性回顾和荟萃分析,总共筛选1000多篇文章,最后31篇文章满足CAP中病毒病原体的分析标准。现在病毒检测的常用标本是鼻咽或口咽拭子,总体的病毒阳性率是24.5% (95% CI 21.5–27.5%)。但这个研究里面非常明确,如果取下呼吸道标本来做检测,阳性率为44.2% (95% CI 35.1–53.3%)。病毒-细菌共感染的病死风险明显增加(OR 2.1, 95% CI 1.32–3.31)。所以尽管细菌是常见的病原体,病毒也不少见,而且病毒和细菌有很多共感染的问题存在。这篇荟萃分析结果对我们临床的工作还是有非常重要的提示。
重症CAP需要机械通气患者下呼吸道病毒检出率
极少的研究专门针对需要机械通气的重症肺炎患者的病原学的问题。在这项研究,需要机械通气的CAP患者中,单纯细菌:21 (43%), 可能单纯病毒: 5 (10%),病毒+细菌:19 (39%),病毒总数: 24 (49%)。下呼吸道标本病毒阳性率:21 (81%),鼻咽部标本病毒阳性率:5 (19%)。虽然总样本量不多,但给我们的一个印象就是在重症肺炎需要机械通气的患者中,病毒的比例似乎最高。在我30多年的的临床工作中的体会,我认为这个领域很值得我们探讨。
院内获得性肺炎:有可能是呼吸道病毒吗?

发表在《CHEST》的文章中,24.1%的HAP能够发现病毒。其实我们在临床实践中也遇到过类似的情况,一个孕妇在病房出现呼吸道感染,接着另外7个同一个病房的孕妇都感染了。所以病毒也有可能导致HAP,并不是所有的HAP都是细菌感染。
三、呼吸道病毒与慢性气道疾病急性加重
呼吸道病毒感染—慢阻肺相关的气道炎症

慢阻肺急性加重过程中,病毒感染是急性加重和诱发整个气道炎症非常重要的因素,病毒感染后会诱发气道炎症,其相关的机制包括病毒感染直接的损伤、免疫应答相关的炎症,使慢阻肺气道炎症增加。
AECOPD中病毒检测(PCR)

研究报道中发现大约40~50%的AECOPD可能与病毒感染有关,包括GOLD指南中也非常明确提出呼吸道病毒感染是最常见的AECOPD的感染病原体,排在第一位。
广州市慢性阻塞性肺疾病急性加重的危险因素和表型研究设计和基线特征

我们过去在钟南山院士的指导下,与周玉民教授等人做了一项400例慢阻肺前瞻性观察研究,我们采用手机问卷每天监控病人的症状。一旦有症状加重后,马上取样,进行急性加重的呼吸道病原学检测。发现病毒的阳性率排在第一位,细菌的阳性率不如病毒高。

我们对这些AECOPD病人的气道炎症进行分析,确实发现有不同类型,尤其是第2组,痰里面中性粒细胞是中等度增高,IL-1β正常,但是CXCL10和CXCL11明显增高,这一组病例的病毒阳性率特别高。目前没有任何关于AECOPD时病毒如何检测、如何针对病毒进行治疗的前瞻性随机对照研究,但基本上肯定病毒是AECOPD中最常见的感染病原体。
哮喘与呼吸道病毒感染的相互影响

有很多人进行这方面的研究,过敏相关的炎症能够引起细胞黏附因子增加,而这个黏附因子刚好可以作为病毒感染的受体。病毒感染后引起上皮损伤,会引起一系列的炎症加重,形成恶性循环,互相影响。
呼吸道病毒诱发哮喘急性发作

不同国家、不同人群,呼吸道病毒流行情况存在差异。对于儿童的研究较多,成人的研究相对较少,但不等于没有。我们也需要多多关注。
国内呼吸道病毒与成人哮喘的研究

国内也有一些呼吸道病毒与成人哮喘的相关研究,包括河南、上海、甘肃、广东的研究。国内研究存在覆盖病毒种类少,检测方法单一等不足。仅有香港在儿童哮喘的研究比较全面,采用敏感性高的PCR方法检测,覆盖10余种呼吸道病毒。总体而言,发现呼吸道合胞病毒、腺病毒,还有其他的病毒感染导致哮喘发作的现象。
病毒感染的哮喘患者呼吸道症状比正常人严重

这是2002年发表在《柳叶刀》的一篇文章,哮喘患者合并鼻病毒感染时,与没有哮喘的鼻病毒感染者比较,在呼吸道症状的严重程度和持续期间方面,都明显加重和延长。

这是我的一位研究生廖华所做一项呼吸道病毒感染对门诊哮喘急性发作的影响的前瞻性研究研究。研究发现在34%的急性加重哮喘患者中检测到呼吸道病毒。感染了这些病毒的患者出现了更为突出和持续的咳嗽症状,表明呼吸道病毒与哮喘的急性加重有关。然而,哮喘发作的其他方面没有观察到显著性的区别。呼吸道病毒感染对严重哮喘加重以及儿童或老年人哮喘的潜在影响值得进一步研究。
支气管扩张患者病毒检出率和负荷

一般我们认为支气管扩张是与细菌感染相关的疾病,但是真的是这样吗?我们做这项研究前,主要是我们团队针对支气管扩张的病人,专门取做痰培养,细菌阳性率很低,只有37%,后来反复与实验室工作人员沟通,发现事实如此。

我们做的这项成人支气管扩张急性加重的临床评估及病毒感染在其发病中的作用研究发表在《CHEST》上,发现急性加重期病毒PCR阳性率和病毒拷贝数显著增加,而病毒阳性和细菌阳性同样能够加重气道炎症标志物增加。所以哪怕是一个以细菌感染为主的疾病,病毒导致急性加重的原因也不容忽视。
四、呼吸道病毒临床诊治体会
第一,我们一定要认识呼吸道病毒的常见性和重要性;第二,建立面向临床的检测平台。目前不少的医院通常依赖CDC检测呼吸道病毒,现在很难往前走。对于广东的政策而言,如果让CDC帮忙进行病原学检测,CDC必须负责被检测人的流行病学规律的调查,还有对他周围人随访,这样的工作量很大。如果我们进行鉴别诊断,只是怀疑,送检CDC检测也是不合理的,除非高度怀疑传染性的病毒感染才会送检;第三,重视抗病毒药物和合理选择应用,这方面可能在一些年轻医生中还没重视到这个问题;第四,临床与基础结合的呼吸道病毒研究。
呼吸道病毒检测—肺部感染与新发传染病
首先如果我们明确病因,那就可以指导治疗决策。我记得有一个肺炎的病人,除了对抗菌药物无效、肺部阴影不断增加以外,一般状态良好,但是9天总共用了6种抗菌药物,刚开始用氟喹诺酮类,后来用三大头孢加大环内脂类,最后使用万古霉素联合亚胺培南西司他丁钠。在这时临床医生问我还要不要再加抗真菌药物。如果假定是病毒感染,我们使用的药物都不会有效。后来检查出是病毒,就没必要使用这么多抗菌药物。其次,要实现病毒感染的早期诊断和治疗,因为后期治疗效果比较差,早治疗效果好。但如果没有病原学检测,也无法实现早治疗。还有,减少抗菌素的不合理使用、监控新发传染病、探索新的预防方法等,都需要有呼吸道病毒检查。
建立面向临床诊治的呼吸道病毒研究平台
广州呼吸疾病研究所临床病毒学组发展历程

要明确诊断就要有面向临床的检测方法。为了解决这个问题,SARS以后,我们就开始启动面向临床诊治的呼吸道病毒研究平台。
临床病毒学研究团队指导专家组

团队中有临床医生,也有病毒学专家,联合成研究团队,也是面向临床的工作。
具完备临床病毒学和抗病毒药理研究能力

建立一系列符合国家标准的面向临床检测和研究的平台,拥有病毒学相关的细胞、动物和分子平台(含P2和P3实验室),一般的基因检测,比如PCR检测,P2实验室足以,很多实验室都能满足这个条件。
广州呼吸健康研究院面向临床的的病毒检测项目

IDSA 2018年流感指南 - 流感病毒检测指征

这是IDSA 2018年流感指南,有关病毒检测,单纯看流感检测的指证就有很多,而在临床实践里面,我认为我们的病毒检测存在不足。
流感检测方法的选择

在指南中建议的流感检测方法有快速流感诊断测试(RIDTs)、免疫荧光检测、快速分子检测、逆转录聚合酶链反应(RT-PCR)检测、病毒培养和血清抗体检测,建议门诊以快速流感诊断检测为主。这次新冠肺炎出现后,国家科技部和各省的科技厅的应急项目都有快速检测方法学的研究。
流感检测、诊断与治疗流程

流感活跃期内流感病毒检测流程
整个流程里面要结合诊断和治疗的需要,所以要判断是否有流感的表现,如果有流感表现,对于住院病人来说,建议检测流感同时开始经验性抗病毒治疗。整个决策要结合临床,是否需要住院、是否存在高危因素等来决定我们的检测和用药的情况。
呼吸道病毒检测的体会
现在快速抗原检测不够敏感(现有试剂),我前几个月会诊的一个入住ICU的病人,有关他是否存在病毒感染,门诊进行了快速抗原检测,结果为阴性,我坚持还要做PCR检测,结果为阳性。PCR是标准的诊断方法。我请教过CDC专家,他们说抗原检测敏感性只是PCR检测的千分之一。咽喉拭子阳性率低于下呼吸道标本,尤其在禽流感病毒和现在的新冠病毒也是这个情况。恢复期抗体作为进一步论证诊断。这次新冠肺炎出现后,IgM可以在3~7天出现,对诊断有意义。病毒分离的阳性率低,只是重要的研究工具,不用于临床诊断。注意其他呼吸道病毒感染的可能性,我们不能只检测流感病毒或新冠病毒。
分子生物学诊断新技术涌现

现在有许多新的分子生物学诊断技术。这次因为新冠病毒,我们也进行了很多基础研究,有可以把标本放在里面全自动检测,1小时~1个半小时就能快速出结果的整合多重PCR的微流体系统技术(Film-Array& GeneXpert )。还有一些其他新型的诊断技术,比如芯片技术 (Verigene System&晶芯),基质辅助激光电离解析-飞行时间质谱技术(MALDI-TOF),傅里叶变换红外光谱技术(FT-IR),二代、三代测序,现场快速检测等。希望能够达到四高技术要求:高通量、高速度、高灵敏、高精确。但很多都在研究,作为临床医生,我和很多同事交流探讨过。研发新的检查技术不是我们临床医生的专长,我们不懂得如何研发,但这些方法进入临床,在临床应用过程中的特异性、敏感性、影响因素是临床医生需要考虑、需要进行研究的问题,我们必须在临床里面开展相关研究,才能够正确解读的检验结果,指导临床诊断。
全病程、多时点采样规范

大家逐渐会形成一个概念,全病程、多时点采样规范能够提高阳性率。如果为了减少检测的次数,我们之前做过把咽拭子和鼻拭子一起进行检测,不用分开做,阳性率比单一检测高,而且还是做一次检测,可节约成本。所以把多种标本同一时间进行检测,能够提高检测的阳性率。
呼吸道病毒检测与临床诊治的互动

我们要结合标本采集是否合适,标本运送是否按照标准进行,实验室检测是否及时,结果和临床是否相符,使呼吸道病毒检测结果一定要与临床诊治结合,这样才能提高我们检验水平和临床诊治水平。
社区获得性「肺炎」:经验性抗菌治疗与病原体的检测

我们再回到CAP。当初始抗感染治疗无效,这时病原学检查是否应该包括病毒?这是我个人的思考,是否正确可能还需要更多的研究。
COVID-19冠状病毒肺炎的鉴别诊断(第六版)

再来看看新冠肺炎第六版诊治方案,特别提出鉴别诊断,要与其他病毒引起的上呼吸道感染相鉴别,比如流感病毒、腺病毒、呼吸道合胞病毒等其他已知病毒性肺炎及肺炎支原体感染鉴别。因为现在好像出现新冠肺炎以后,诊断其他的病毒性肺炎比较少。所以我在这里提出如何与「非」COVID-19冠状病毒的肺炎鉴别,在诊治方案中要特别重视这个问题。
抗病毒药物的选择、剂量及疗程

在使用抗病毒药物的时候,我们要考虑抗病毒药物的选择、剂量、疗程以及特殊人群的应用,不同的病毒所需要的药物也不一样。
早期应用神经氨酸酶*制剂抑**降低病死率

对于流感而言,在《柳叶刀呼吸医学杂志》发表过一篇前瞻性对照研究,早干预、早用药能够减少重症和病死率。所以如果我们早诊断,对病人的预后是有影响的。
抗病毒治疗

十几年前抗真菌药物很少,现在有很多种抗真菌药物。现在也增加了一些抗病毒药物,但是种类不多,估计在未来10年后,可能会有多种类型的抗病毒药物出现。但我们需要重视不同病毒和相应的治疗药物的选择。我在查房的时候询问青年临床医生,是否检测了病毒?回答说:检查了,阴性的结果。认真审阅,检查的是病毒的抗体。呼吸道病毒感染的早期,应该检查抗原或者核酸,而抗体是后期才会阳性。关于抗病毒药物,不少的临床医师使用阿昔洛韦治疗急性的下呼吸道感染。但是阿昔洛韦是抗单胞病毒类的药物,对流感病毒无效。我在临床实践中看到过不少类似这样的问题。所以我今天想提醒大家共同关注不同的病毒在选择药物的时候进行思考。王辰院士牵头的有关瑞德西韦对新冠病毒的研究,我们还在期盼研究的结果,指导我们合理选择应用。
抗流感治疗-尽快使用
早期使用抗病毒药物,抑制病毒的复制和致病。在疾病的后期,病毒载量已经不高,甚至是已经阴转,但肺损伤已经形成。因此在后期使用抗病毒药物的效果不如早期的明显。所以疑诊或确诊的病人需要立即开始治疗,无论是否有疫苗接种史。比如因流感住院的病人,病情严重或持续进展的门诊病人,有流感相关并发症高风险的门诊病人,包括有慢性病或免疫功能低下的病人,小于2岁的儿童或大于65岁的老人,以及孕妇或产后2周内的产妇都应尽快使用抗病毒药物。
抗流感治疗-建议使用
对于怀疑或确诊流感,出现流感并发症的风险低的人群,这类人可能几天就会好转,很多人觉得不应该使用抗病毒药物。但是在IDSA 2018指南中明确提出,对于以下人群来说,如果存在下述情况,建议给予抗流感病毒药物治疗:①门诊病人:起病≤2天;②有症状的门诊病人:其家庭中需要接触人群中,有流感相关并发症高风险的人,尤其是有严重免疫功能低下者;③医疗保健人员:其负责看护的病人中有流感相关并发症高风险者,无论是否有疫苗接种史。
建立全面生命支持的重症病例救治平台

图为广州呼吸疾病健康研究院ICU中抢救重症病毒性肺炎
病毒性肺炎威胁生命的最常见的是ARDS,也会有多器官功能衰竭。所以要建立全面生命支持的重症病例救治平台很重要,是降低病情的重要措施。
按照病情的分级呼吸支持选择

按照病情不同严重程度进行分级的呼吸支持。早期会进行氧疗或者高流量吸氧,病情进展、呼吸困难明显的时候可以尝试无创通气,重症病人需要气管插管有创通气机械通气。
这是我们当时抗非典的时候,同事给病人做鼻罩无创通气的真实的图片(中),我们当时使用鼻罩CPAP比较多。没有一项前瞻对照研究告诉我们使用哪种模式、哪种面罩更好,但是我们考虑使用鼻罩CAPA的主要原因,第一,这种病人使用无创通气是持续使用的,可能用几天甚至一两周,鼻罩的无创通气的依从性是最好的;第二,由于CPAP不需要人机同步,所以持续24小时使用鼻罩CPAP作为首选,但是我们没有循证医学依据。
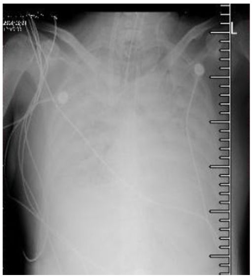
重症H1N1病例——全方位的生命支持

图:广州呼吸健康研究院呼吸与危重症医学科提供
这是广州呼吸健康研究院呼吸与危重症医学科收治的一个两肺白肺、H1N1的病人。这个病人最后单用呼吸机无法支持,只能用ECMO全方位支持,治疗这样的重症病人难度非常大。

最后经过一个月ECMO,两个月有创通气,顺利拔管康复出院。

这样的病例在条件比较好的医院是有机会存活的,而且远期康复的效果通常是不错的。出院的时候肺部还有很多纤维灶,但过半年、一年可以恢复得很好,能够正常运动、正常工作。所以对于这样的病例,我觉得全方位的生命支持,降低病死率,而且远期效果比较好。
开展临床——呼吸道病毒*联学**合研究(广州呼吸健康研究院)

广州呼吸健康研究院在钟南山院士牵头下开展临床与呼吸道病毒研究团队合作,做了很多项工作,在2018年获得广东省科技进步一等奖。这样的临床与研究相结合的工作,具有重要的临床和学术价值。
2009-2010年广州地区急性呼吸道感染的病毒病原体监测(>2000份)

首先,我们有病毒病原体检测平台和监测哨点。本实验室对2009-2010年广州地区的急性呼吸道感染的病毒病原学检测显示,病毒阳性率高达30%。在H1N1流行的时候,基本都是Flu A,我们由此可知Flu A正在流行;当Flu A慢慢减少,Flu B出现,我们知道流行过去。
H7N9患者治疗和康复的经过

这是广东首例H7N9的病人,如何进行临床诊断、康复以及整个过程中人体的免疫应答有什么区别对我们理解疾病非常重要,对临床诊治决策也很重要。
H5N6病例成功救治的临床过程

这是全球首例H5N6存活的病例。整个过程在广州呼吸健康研究院,最后被《新英格兰医学杂志》收录发表。
鼻病毒和疱疹病毒共感染一例
男性,14岁,「反复发热、咳嗽、咳痰20天」为主诉入院,平常身体很好。
现病史:20余天前无明显诱因出现发热,体温38.3℃,伴有咳嗽,咳少量白色泡沫痰,遂于当地医院就诊,予退热对症处理(具体不详)后体温可降至正常,但仍有咳嗽,之后发热症状反复出现,体温波动在37-38.5℃之间,遂于另一家医院就诊,查白细胞及中性粒细胞升高。可能是从鼻病毒开始,因为正常体内也有单疱病毒,但在免疫力低下的时候才会致病。胸部CT提示双肺肺炎,予抗感染(具体不详)后效果不佳,气促较前明显,遂于2018-8-28转入ICU治疗,予无创呼吸机辅助通气、抗感染(哌拉西林舒巴坦+万古霉素+莫西沙星+克拉霉素)、激素(甲强龙40mg/d)等治疗后效果仍不佳,发热较前加重,最高体温39.2℃,伴有明显气促,外周血氧86%。
病原学检查:细菌:G-杆菌、鲍曼不动杆菌,真菌:白色假丝酵母菌,病毒:鼻病毒、单纯疱疹病毒。
T细胞免疫指标

由于鼻病毒会有明显的T淋巴细胞异常,尤其是CD4+/CD8+2,提示CD4+T细胞在病毒刺激下没有成功激活,免疫系统受到抑制,并且CD4+/CD8+2也是鼻病毒感染人的典型特征。我与传染病学的专家交流过,他们说很多重症病人,包括SARS的病人,T淋巴细胞计数和HIV阳性病人几乎一样。所以免疫功能低下的状态下,有些潜在体内的病毒,比如单疱病毒、巨细胞病毒等都可致病。
影像学检查:主要表现:双肺弥漫性间质性病变。

病毒学与固有免疫学指标

这个病人病情严重,后来由于发现病毒的时候重视病毒感染的治疗,最终病人好转,康复出院。
动态监测病程病毒载量 - 临床治疗决策的参考

在这种前提下,病毒学团队和临床团队共同合作对提高诊断、判断和治疗的成功率很重要,所以我们现在也在与基础团队合作,除了动态监测病程病毒载量、评估病人的氧合指数、观察炎症介质谱的变化等,可作为指导临床治疗决策的参考。
流感NA引发细菌感染的可能机制

还有一个大家特别感兴趣的问题,很多研究是关于病毒感染后合并细菌感染的可能机制。从临床角度来讲,哪怕我们能够探索出一些标记物,如果出现某种标志物,就能够知道合并细菌感染,对临床也很重要。在这个领域,非常期盼有更多的能够用于临床的研究结果。
人流感病毒或其他病毒的动物模型(树鼩)

使用雪貂、猴子的成本太大,这个研究使用的是树鼩,它不是耗子。树鼩能够感染从人分离到的流感病毒,但可惜它不能形成重症肺炎。呼吸道病毒感染的动物模型研究很重要。
抗病毒药物(化学药和中药)研发技术平台

化学药和中药里面是否存在抗病毒药物的成分,也需要很认真、很细致的研究。这是我的一位博士后李菁做的研究,从板蓝根中就能分离出2000多个单体,通常中药是十几种中药合在一起,会有多少个成分?我觉得这个领域特别值得深入探讨。
早在华南地区发现过流感耐药株

细菌会耐药,病毒也会耐药。临床中分离出的病毒有无耐药也是基础与临床相结合的研究,然后才能指导我们未来合理选择抗病毒药物的问题。
国际化的交流与合作

广州呼吸健康研究院过去在陈凌主任推动下,每两年会开展基础与临床结合的流感国际论坛,我认为这个论坛能带来很多新的内容,对我们临床医生了解更多的病毒具有指导意义。
呼吸道新发突发传染病(病毒)的诊治策略

早期诊断、早期干预、重症预警、重症治疗都是临床的研究课题。比如有些实验室研究出检测方法,临床要通过临床研究去判断它的特异性、敏感性、阳性预测值、阴性预测值,如何建立标准的筛查流程,早期应用抗病毒药物如何优化应用、效果如何,重症病人有没有标志物,病毒载量、炎症介质谱的变化规律等。重症预警病例,如果没有早期干预,有比较大的概率会发展为危重症,需要机械通气。我们在这个时候去探索特殊的治疗方法,尤其是抗病毒血浆治疗等。希望阻止此类病人发展为真正的危重症患者,我认为这方面特别值得探讨。
合理恰当的呼吸支持——降低病死率的重要因素

重症救治需要全方位的生命支持,这方面也需要很多研究,包括这次新冠肺炎,什么时候使用无创通气、什么时候进行气管插管、什么时候上ECMO,我觉得这个领域真的需要我们合理恰当的使用呼吸支持。只有通过严格的临床循证医学研究,才能明白怎样才是合理恰当的呼吸支持的选择。
总结
我希望通过与大家共同回顾分享这些研究结果,能够达成一种共识。呼吸道病毒是常见的下呼吸道感染的病原体;临床实践中需要重视呼吸道病毒的检测和诊治,不是只有细菌才会导致肺炎;新发的呼吸道传染病是威胁人类健康、社会稳定的重要因素;早发现、早诊断、早干预可能是防控和降低重症病例与病死率的关键;对于流感或其他的病毒检测现在已经有诊断的方法和流程,合理应用病毒检测方法和抗病毒治疗有重要的意义;尽管很多轻症的呼吸道病毒感染病例可能是自限的,但我们需要及时认识重症患者,利用危重症患者救治平台(有救治ARDS经验的团队)是降低病死率的关键;开展基础与临床相结合的呼吸道病毒研究,科学探索,这样的研究结果指导我们临床诊断与治疗,能够让我们做事情有根有据,才能提高真正的能力和效果。
致谢

答疑与讨论
王一民:我汇集了网友的一些问题想请教您。第一个问题,给病人进行病毒检测,比如采集鼻咽拭子,上呼吸道标本能否代表病人存在下呼吸道感染的证据?PCR检测是否过于敏感?
陈荣昌:我们做过正常志愿者的病毒检测,阳性率有10%左右。常见的是鼻病毒、偏肺病毒、流感病毒。现在还没建立拷贝数的界限值,但是发病的时候,拷贝数、阳性率都比正常高。目前的做法是临床表现与检查结果综合来考虑,并不是说正常人查不出病毒。另外,我们做过下呼吸道标本与上呼吸道标本的比对,如果是做诱导痰取下呼吸道标本和上呼吸道标本进行同步对比,我们发现鼻病毒的阳性率是一致的,没有区别;但是流感病毒有区别,下呼吸道标本的阳性率更高。为此,我们不断地请教病毒学专家,他们给我们的建议是,需要考虑病毒受体的分布规律,受体在哪里分布多,在哪里检测的阳性率就比较高。所以尤其是新冠病毒的受体主要分布于下呼吸道的肺泡上皮细胞上,病变从肺泡附近开始,而上呼吸道的受体相对少,所以上呼吸道的症状相对较轻,是与病毒受体的分布规律相一致的,所以,此类病人,下呼吸道标本的病毒检测的阳性率高于上呼吸道标本。
王一民:因为很多基层医生可能恰恰是因为这次新冠肺炎才开始接触核酸检测,才开始接触分子生物学。有很多检测结果与临床不匹配的问题存在,想请教陈教授,这时候对于基层医生而言,应该更偏重临床的评估,还是围绕病原学检测作为检测的金标准?
陈荣昌:我先讲讲SARS期间。刚开始没有检测手段,也不知道是什么病原体,主要是依靠临床诊断。当时我们五个专家同步会诊,意见达成一致来确诊为SARS或排查SARS,意见不统一的定义为疑似SARS。后来有了检测手段后要论证这个方法,其实五个专家联合诊断的准确率为90%以上。所以一定是以流行病学、临床表现、影像学、检验(病毒检测、辅助检查等)来综合来判断。我们也发现有些取样的问题,PCR结果为阴性就排除了,这是很危险的。
王一民:现在我们看到很多文章也在思考这样的问题,文中提到一个概念,叫做基于临床症候群的病原学检测,包括试剂、试剂盒这样的工具,我们能否把病人更好的分层检测?比如轻症病人、在门诊的病人,如果不需要病原学检测,我们就给予经验性治疗;如果病人需要病原学检测,我们就采集鼻咽拭子这样的方法;如果住院病人相对病情较重,我们尽可能早期采集下呼吸道标本。您怎么看待这样的分层或者基于病人的症候群的病原学检测?
陈荣昌:我同意这个观点,尤其对于住院病人来说,尽可能取下呼吸道标本做病原学检测,对于新冠肺炎的诊断比较好,现在也有证据证明下呼吸道标本的阳性率要高很多。另外,临床的情况千差万别,尤其是我们觉得临床不像,PCR检测又是阴性,相对来讲,处理方案会有所不同;临床高度怀疑的,尤其是聚集性病例或者接触病人后起病,哪怕PCR检测为阴性,也一定要先隔离。当时在SARS的时候,只要有一个专家认为不能排除,就先把病人隔离,我认为我们当年的做法也适用于新冠肺炎,只要不排除,先进行隔离。
王一民:有很多基层医生在咨询病毒方面的检测。他们觉得刚开始的时候,医院里面只有抗体检测,甚至只有关于IgM抗体的检测,没有核酸检测。但是现在借助新冠肺炎的机会,微生物检测平台也在逐渐提高,于是可以进行核酸检测,他们也想丰富一下病原学检测平台。在这方面您有没有更好的建议,微生物检测平台在不同级别的医院应该开展哪些检测?比如二级医院收治的病人相对较轻,是不是进行简单快速的PCR检测就足够;如果三级医院或者是以呼吸科、感染科为中心的医院,病原学检测是否会更加完善、更加丰富?有抗体检测、抗原检测、多重PCR检测方法等。您有什么建议?
陈荣昌:目前基层可用的方法就是抗原检测方法,因为不需要标本前处理。有一个叫做CRISPR方法,正在探索不需要标本前处理的检测技术,也是一个基因诊断,可以在40分钟内给出结果,但这个方法不少标准的PCR检测,需要与标准PCR进行对比研究,评估其结果的一致性,我们正在做研究方案。大家觉得PCR检测需要很复杂的仪器,在不久的将来会是很简单的、全自动的仪器,现在已经有企业生产出简单全自动的PCR仪,正在论证它与标准PCR的一致性的问题。如果通过了一致性评估,这个仪器用于临床检测,只需要半个办公桌大小的位置放置仪器,放进去标本就能全自动完成检测。此类的设备估计很快就会进入临床实践中。所以我们目前先使用现有的技术,在未来我觉得全方位的病毒检测应该不是很遥远的事情,而且方法会很简单。
王一民:因为基层医生可能刚开始进行核酸检测或分子检测,还不是很熟练,临床医生的解读也没那么熟悉,因为它不像解释痰培养的结果那么容易,现在就是看阴性和阳性,有时候很难拿捏尺度。比如,在刚刚开始诊断新冠病毒的时候,经常出现两次阴性,最后一次是阳性,最终确诊;最近我们有看到消息,病人出院时两次阴性,回家后过一段时间在隔离期间给病人检测的时候,又变成阳性;还有,在这次新冠肺炎中针对新冠病毒有三个靶点,包括EGFR基因编码的靶点、包膜蛋白的靶点、核衣壳蛋白的靶点,当三个靶点只有一个阳性,实验室怎么解读?我们发现的这些问题,有些来自于技术方面的实验室的问题,有些是基层医生的解读的问题。对于这方面,您有什么建议?
陈荣昌:我个人认为PCR技术会存在假阴性、假阳性,所以每个医院要开展自己的研究,一家医院的研究结果不一定适合另一家医院,因为使用仪器不同、环境不同、操作人员不同、采样方法正确性不同,所以每个医院都有针对自己医院的情况来论证自己医院这个方法的特异性和敏感性,才能够指导临床诊治。我举一个比较成熟的例子,PCR作为结核的诊断,我最早审阅的一篇某个结核病医院的稿件,痰菌阳性组,PCR的阳性率为60%;阴性对照组阳性率为40%。这样的检测结果,几乎无法用于诊断,特异性、敏感性都不够。但是随着方法的改良,广州呼吸健康研究院的PCR实验室是接受国家的「飞行质检」的。我们这么多年没有出现过对「飞行质检」标本的错误报告。所以,在我们那边做出来PCR为阳性,诊断的正确率超过90%;如果反复做PCR、取深部痰液或组织进行PCR检查都是阴性,基本上都能排除。但是一个方法除了方法本身以外,整个团队在实施过程中有没有做好质控等很多细节的问题也很重要。总体而言,不能够以一次结果来决定,比如现在出院了,有些人的PCR检测又从阴性转为阳性了,需要综合临床评估,症状是否有反复、有没有新发的病灶,是正的阳性还是假阳性?是否有传染性?这都是非常重要的问题,需要通过临床研究来回答的问题,我觉得这是很值得综合CDC、临床和实验室来共同面对的问题,需要依靠研究数据,才能给出一个有科学依据的答案。
王一民:目前没有明确的抗病毒药物的情况下,大家会非常关心经验性治疗的问题,您刚才也提到了经验性治疗,对于病毒的经验性治疗,根据目前的资料您有什么推荐?
陈荣昌:我认为现在新冠肺炎的抗病毒治疗,建议大家遵循第六版诊治方案。因为我们任何一个人面对一个新发的疾病,都不可能刚开始就有很好的经验或者体会,第六版诊治方案充分体现了我们最新的研究结果。我们正在期盼瑞德西韦的研究,能够尽快给我们结果和指引。另外,对于重症还未到危重症的时候,能不能用恢复期血浆进行治疗也是很值得探讨的问题。所以我期盼新的研究来指导我们抗病毒药物的选择。
王一民:谢谢陈教授。还有最后一个问题,我个人也特别关注这一点,您刚才在很多文献中介绍了一些慢性气道疾病,比如慢阻肺、哮喘、支气管扩张等,发现它们的急性加重确实与病毒有密切关系。不知道还有没有更进一步的研究关注病毒不光与慢性气道疾病有关,影响到什么程度?是否影响到病人急性加重的次数?影响到病人住院的不良预后的情况,甚至于病人的一些不良结局,或者影响死亡等情况?
陈荣昌:现在十分缺乏这个领域的研究。到目前为止,社区获得性肺炎、慢阻肺急性加重、哮喘急性发作、抗病毒药物的应用都是没有指南的。要写到指南里面必须有前瞻性随机对照研究的依据。所以对于这个领域,我一直在呼吁我们应该有更深入的基础与临床结合的研究来指导临床实践。从我十几年参与这项工作和关注这个领域,我估计未来应该会逐渐通过研究解决这样的问题。
王一民:谢谢陈教授。您能否最后再总结一下您今天介绍的内容?
陈荣昌:呼吸道病毒是呼吸道感染的常见病原体,包括肺炎,占30%左右的比例。尤其重症病人中,概率有可能不低或者更高。建立面向临床的呼吸道病毒检查平台,比如取痰进行多重PCR检测,对判读呼吸道病毒感染很重要。以后二代、三代测序可能会很便宜,而且可以同时多多种病毒的检测。以后病原学检测有可能会变成常态。如果明确有病毒感染的病人,尤其是规范反复使用抗菌药物治疗无效的肺部感染病人,病毒有可能是一个重要原因。我们及时考虑到病毒和针对性的检查、治疗,应该是我们解决这类病人重要的问题。现在很多新的传染病都是呼吸道病毒,包括SARS、MERS以及现在的新冠肺炎,所以我们在这方面的监测,对未来可能出现新发传染病的监控是有意义的。我们非常感谢武汉的同道,在发现一家几口同时得肺炎,做病毒检测能够及早发现新型冠状病毒肺炎,贡献很大。在未来,大家进行更多的研究,尤其是基础与临床结合的研究,临床医生应该在这个领域有说话的地方,因为研究人员把检验方法做出来了,在临床的符合率有多少,阳性预测值、阴性预测值是多少都是临床医生的事情。所以临床医生要在这个领域起更大的作用,我们希望大家共同关注呼吸道病毒问题,共同为呼吸道病毒的研究和临床诊治水平的提高做贡献。谢谢大家。
专家介绍

陈荣昌
主任医师、教授、博士生导师;国务院特殊津贴专家、卫生部有突出贡献青中年专家;深圳呼吸疾病研究所所长;广州呼吸健康研究院前任院长;中华医学会呼吸病学分会前任主任委员;中华医学会呼吸病学分会慢阻肺学组组长/慢阻肺联盟主席 等;主要从事呼吸力学与机械通气、呼吸与危重症医学、慢性阻塞性肺疾病等领域的工作。
感谢赛诺菲巴斯德对本次直播的大力支持!
感谢江西青峰药业对本季直播的大力支持!
本文完
未经许可,请勿转载
本文由《呼吸界》编辑 大奔 整理、*今条头日**排版,感谢陈荣昌教授的审阅修改!
@新型肺炎 @*今条头日**青云计划 @头条健康 @健康真相官