作为常见的缺血性心血管疾病,冠心病需要重点预防,因为冠心病急性起病时,可引起心肌梗死,可显著增加死亡风险,而诊断冠心病的金标准是冠脉造影。那么,冠脉造影发现冠脉狭窄40%,能诊断冠心病吗?接下来,专科医生会告诉您答案。

冠心病又被称为冠状动脉粥样硬化性心脏病,它是由于各种病因引起冠脉狭窄,进而出现心脏供血、供氧减少所致,在初期主要表现为活动、情绪激动时胸痛,在医学上我们称之为心绞痛,而在运动时才出现的心绞痛,我们称之为稳定性心绞痛,此时说明冠脉病变并不重,通过合理、及时治疗可降低心肌梗死的发生风险;如果在休息时都可出现心绞痛,那就属于不稳定性心绞痛,相比较而言,后者出现心肌梗死的风险更高。因此,出现心绞痛的朋友应及时完善相关检查,明确是不是冠心病以及病情的严重程度。

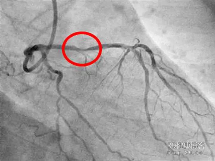
出现了胸痛,我们可以进行心电图检查,查心肌损伤酶谱,来了解心脏有无缺血损害,但这并不能了解冠脉病变的严重程度,若要明确是否存在冠心病,当前主要依靠冠脉造影进行检查。冠脉造影是诊断冠心病的金标准,它可清晰显示冠脉狭窄以及冠脉的狭窄程度,但并非冠脉造影一发现血管狭窄,就能诊断为冠心病,这时主要看血管的狭窄程度:如果冠脉狭窄程度达到50%,那么此时已经达到冠心病的这段标准。因此,如果冠脉狭窄只有40%,那么此时是不能诊断为冠心病的。

可能部分朋友会问:如果冠脉狭窄只有40%,需要药物治疗吗?当然需要。虽然当前不能诊断为冠心病,但已经出现了冠脉损害,若不给予干预,病变可持续加重,迟早有一天,会达到诊断冠心病的标准。而此时的干预措施,不一定需要采取药物治疗,主要干预冠心病的危险因素,包括控制体重,将BMI控制在24以内,每日坚持半小时中等强度有氧运动,比如慢跑、快走、骑车、游泳、打太极等,饮食坚持低盐、低脂、低胆固醇、低糖为主,而更重要的是合理治疗高血压、糖尿病、高脂血症等基础疾病。

当然,如果非药物治疗干预无效,或已经达到冠心病的诊断标准,那么此时就应该联合药物治疗。冠心病的药物治疗应以阿司匹林、他汀类药物为主,前者是抗血小板的药物,重在预防血栓形成,后者是稳定斑块的药物,重在延缓冠脉病变。他们均属于治疗冠心病的基石药物。长期服用可显著降低心肌梗死的发生风险。但值得注意的是,阿司匹林可引起胃肠道粘膜损害,可能出现腹痛、黑便等症状,而长期服用还可出现阿司匹林抵抗,可能降低疗效。他汀类药物虽然可延缓冠脉病变,但可能增加肝功能异常、肌肉损害、新发糖尿病等风险。

因此,部分朋友在治疗过程中需要调整方案,阿司匹林不耐受时可换用氯吡格雷,也可联用保护胃黏膜的药物,他汀不耐受时可更换他汀种类或调整为小剂量,与此同时,还可以联用通心络胶囊,该药也具有抗血小板、抗炎、稳定斑块等作用,而在标准治疗方案上联合使用,还有助于减轻阿司匹林抵抗,有助于改善冠心病患者的预后。相关研究发现,冠心病患者在标准治疗方案上联合使用通心络,可发挥1+1>2的效果,即中药+西药联合治疗,更有利于改善病情。

感谢阅读!