新十条优化措施出台后,哈尔滨医科大学附属第一医院进一步完善和优化防控措施,广大医务人员坚守岗位、不畏疫情、勇于担当,全力保障人民群众就医安全,满足人民群众健康需求。
近日,哈医大一院神经外科五病房梁洪生教授应用神经内镜成功为一名老年患者微创清除慢性硬膜下血肿,20分钟即可完成手术,次日便康复回家,实现现代外科微创精准治疗快速康复的目标。
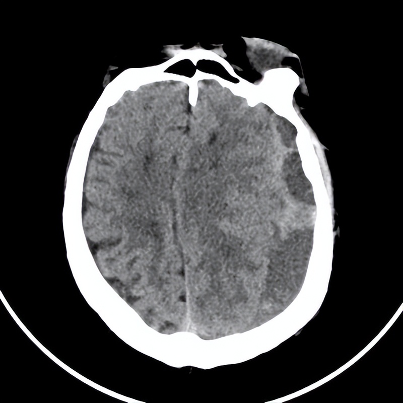
赵先生带着67岁的父亲赵大爷慕名来到哈医大一院神经外科五病房副主任梁洪生教授的诊室。起因两个月前,赵大爷不慎摔伤头部,当时没有重视。就诊前赵大爷出现走路不稳、情绪暴躁,来到医院检查发现左额颞顶枕硬膜下血肿,血量约100ml。赵大爷的儿子紧急找到梁洪生教授寻求帮助。入院以后,梁教授经过详细了解病史、查体、检查后,确诊赵大爷为慢性硬膜下血肿。

图一:左额颞顶枕硬膜下血肿
梁洪生教授表示:慢性硬膜下血肿是一种较常见的疾病。常规的治疗方法有药物治疗、钻孔引流术,对于一般患者来说治疗效果尚可,偶有复发。但赵大爷的硬膜下血肿波及范围较广,左侧额、颞、顶、枕部均有累及、呈分隔状,药物或单纯钻孔都无法快速彻底清除,并且病人已经出现半球受压征象、肢体瘫痪症状,近三个月出现脑梗的病史,术后护理困难,建议选择神经内镜对血肿一次性清除。梁洪生教授与赵先生沟通时提到:医生可以通过神经内镜利用小骨窗即可实现广泛血肿的清除,重要是在内镜直视下,可以确定出血点,是否有血肿残留等,具有创伤小、出血少、恢复快的优点。赵先生表示完全理解并认可这个治疗方案。

图二:梁教授术中应用神经内镜清除血肿
术中,梁洪生教授治疗团队在手术室及麻醉医生的配合下,井然有序地开展。小“窗口”快速进入硬膜下血肿腔,此时神经内镜发挥了直视的优势,将全部血肿间隔打通、准确且快速吸除,明确出血点给予精准电凝止血;清除血肿后在内镜360°全方位无死角地观察无活动性出血后置入引流管,整个手术仅用20分钟顺利完成。术后赵大爷意识情况明显好转,语言流利,肢体肌力完全恢复,术后复查头部CT显示硬膜下血肿完全清除,脑组织受压情况明显改善,手术获得圆满成功。

图三:神经内镜直视下清除血肿

图四:术后复查CT示血肿彻底清除
手术顺利完成,离不开手术团队的精心配合与患者及家属的信任,也充分体现了神经内镜在特殊情况下的微创与快速康复的优势。随着精准、微创的手术理念深入人心,神经内镜手术已成为现代微侵袭神经外科的主要发展方向之一,内镜血肿清除术的优势日益凸显。
梁洪生教授介绍,应用神经内镜辅助脑内血肿清除术与以往手术方式相比,具有创伤少、直视下操作、血肿清除彻底、恢复快等特点,避免了开颅手术大面积脑组织暴露和损伤,而且可以利用神经内镜的良好照明和扩大视野的作用,清晰找到活动性出血点(破裂血管),彻底止血。手术过程中,内镜可置入血肿腔内,全景化显露术野,可以有效清除血肿、避免血肿残留、减少复发,给患者带来更好的预后。
梁洪生教授表示神经内镜在脑内血肿、急慢性硬膜下血肿等神经外科疾病治疗中具有近距离清晰观察血肿,手术做到更加精细,损伤更小,患者术后康复迅速、痛苦少,疗效更好,特别是在新冠疫情的新形势下,缩短住院时间减少院内感染、优化医疗资源亦有一定帮助,已经越来越被广大医患所接受。

梁洪生 教授,主任医师,博硕士研究生指导教师,
哈尔滨医科大学附属第一医院神经外科五病房副主任,加拿大渥太华大学访问学者,哈尔滨医科大学星联岗位教师,哈医大一院首批杰出青年
从事神经外科工作近20年,擅长领域:脑肿瘤、颅脑创伤及脑血管病。
(胡仁杰 范照鑫)