
先天性胎儿泌尿系统畸形是较常见的先天性畸形,类型也较多,轻者仅表现为一过性或生理性肾脏积水,可自然消退,严重者也可在出生后亦可呈进行性发展,导致严重后果,直接关系到围产儿预后,故产前诊断及处理至关重要。近年来随着影像学及生物化学的不断进步,对胎儿泌尿系畸形的检出率逐渐增高,其中超声作为产前检查最重要的手段,具有较高的临床价值。
胎儿泌尿系统畸形的发生率较高,约为0.15%~0.4%,占胎儿各系统畸形的15%~20%。国外文献曾报道过此类致畸因素,如遗传基因缺陷、环境因素、遗传因素、药物作用、接触放射线等,可引起染色体异常和精子畸形,进而影响受精卵的质量,导致胎儿畸形。国内也有研究表明,放射性因素直接影响胎儿发育致畸的发生率较高。孕妇口服磷酸氯喹可致胎儿马蹄肾,苯丁酸氯芥可致胎儿肾输尿管缺损。妊娠早期应用性激素可致胎儿外生殖器异常。营养缺乏如维生素A缺乏可导致泌尿生殖系先天性畸形。
胎儿泌尿系畸形是一种常见的先天性畸形,大致可分为两种:梗阻性疾病及囊泡性疾病,主要包括肾盂积水、多囊肾、肾脏发育不全、尿道梗阻、膀胱外翻、膀胱输尿管反流、泌尿系重复畸形等多种畸形,其中以肾盂积水和多囊肾病诊断率最高。
一、肾不发育
肾不发育,又称肾缺如,由于一侧或双侧输尿管芽不发育,不能诱导后肾原基使其分化为后肾,从而导致一侧或双侧肾缺如。肾不发育是一种致死性的先天性异常,因此,产前诊断非常重要。由于羊水过少,胎儿受压及活动受限,进一步导致典型的Potter综合征,如耳低位、眼距过远、小下颌畸形、扁平鼻、内眦赘皮、皮肤皱褶、四肢挛缩、足内翻畸形、短头畸形、肺发育不良等。
胎儿双肾缺如的超声表现主要有双肾缺如、胎儿膀胱未能显示、羊水过少。超声检查表现为孕20周后胎儿肾区仍无肾脏图像,盆腔、胎儿腹腔其他部位及胸腔内均不能显示胎儿肾脏图像。因为肾不发育、无尿液产生,故同时可伴有胎儿膀胱无回声区缺如和羊水过少,甚至无羊水。双肾缺如时,肾上腺缺乏肾脏的压迫与支撑而变得长而扁平,称为肾上腺“平卧”征,应特别注意不要将其误认为发育不良的肾脏,彩色多普勒超声可显示肾脏血流,而肾上腺血管则很少显像。如果不能显示肾动脉血流则支持双肾发育不全的诊断,而且彩色多普勒超声对于羊水过少伴胎儿生长受限患者显示肾脏也很有帮助。
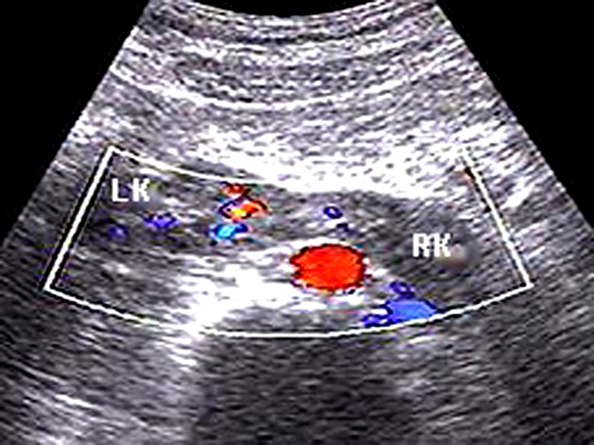
单侧肾缺如又称孤立肾。由于有对侧发育正常的肾脏而不出现羊水过少,胎儿膀胱亦可显示良好,发育正常的肾脏呈代偿性增大。肾脏缺如的一侧超声不能显示肾脏图像,但可显示肾上腺“平卧”征,彩色多普勒可显示该侧肾动脉缺如,而健侧肾动脉存在(图1)。诊断单侧肾缺如时,应特别仔细检查腹内尤其是盆腔内有无异位肾存在,在除外异位肾的情况下才能诊断单侧肾缺如。

图1 孕28周,胎儿一侧肾缺如,肾动脉血流未显示
双侧肾缺如是一种致死性胎儿畸形,发病率约为0.1‰~0.3‰,常合并心脏畸形、肺发育不良、骨骼肌肉及神经系统异常。无论是双肾缺如还是严重的肺发育不良,均可导致新生儿死亡,故一旦确诊建议终止妊娠。
单侧肾缺如如果不影响对侧肾功能及羊水量,未合并其他畸形,一般不影响胎儿生长发育,可正常生存,预期寿命亦不受影响。
二、异位肾
肾脏发育成熟后未达到正常的位置称异位肾。异位肾是一种相对常见的先天畸形,但此种畸形产前准确诊断者不多。异位肾分盆腔异位肾、交叉异位肾、胸腔异位肾。
盆腔异位肾多数比正常肾脏小,且往往有旋转不良。肾血管可来源于主动脉,亦可来源于髂总或髂外动脉,少数可合并一根或多根迷走动脉。输尿管较短,在同侧进入膀胱。异位肾可有肾盂积水、肾发育不良、多囊性发育不良肾等。
交叉异位肾是指一侧肾越过脊柱到对侧,也就是一侧有两个肾脏,而另侧肾缺如。两根输尿管开始在同侧,快到盆腔时则异位肾的输尿管仍回到另侧入膀胱。交叉异位肾可出现肾下极融合,也可无融合,少数可合并肾积水。左侧肾脏异位到右侧明显多于右侧肾异位到左侧者。
胸腔异位肾是指肾的全部或部分通过横膈进入胸腔纵隔内。胸腔异位肾的肾蒂和输尿管往往是正常的。
异位肾超声表现为一侧肾区正常肾脏未显示,同侧肾上腺呈“平卧征”,对侧肾脏较大。盆腔内异位时表现为盆腔内毗邻膀胱肾脏样或一实质性回声(图2A),盆腔异位肾发育不良或有肾积水、多囊性发育不良时,有其相应的表现。交叉异位肾对侧肾脏明显增大,常呈分叶状,多为下极融合,也可表现为完全独立的两个肾脏图像,多位于右侧(图2B),可显示两组集合系统图像。胸腔异位肾极少见,在胸腔纵隔内检出肾脏图像而正常腰部肾床区又无肾脏时,应考虑本病的可能。

图2A:孕20周胎儿肾脏(*)异位至盆腔;B:孕26周胎儿肾脏(R-K2)异位至右侧盆腔
单侧单纯异位肾预后较好,多数无症状,盆腔异位肾和交叉异位肾在出生后泌尿系统感染发生概率增高,如合并其他畸形,其预后可能不良。胎儿预后与其合并其他畸形的严重程度有关。
三、重复肾
重复肾是由于胚胎期输尿管芽顶部分化即将完成,其主干出现分裂所致,重复肾常结合为一体,较正常肾脏为大,两肾常上下排列,少有左右或前后排列者,亦少有完全分开者。上肾段较小,只有一个肾大盏,多伴有发育不良及肾盂积水,输尿管为盲端、狭窄或存在括约肌功能不全等造成该输尿管扩张,并引起同侧肾盂扩张,常合并输尿管末端囊肿(输尿管疝)。下肾段有两个肾盏,肾盂及输尿管正常。看来似乎是下段的肾脏是属于正常的肾脏,而上段的肾脏是属于异常或多余的肾脏。
胎儿重复肾的超声诊断标准:①肾上部有偏向一侧的肾盂积水; ②输尿管囊肿;③输尿管扩张。有这三点特征性表现即可诊断(图3)。输尿管囊肿是输尿管入膀胱段黏膜下的囊状扩张,其位置低于胎儿膀胱或接近于尿道,使超声难以观察到。这是因膀胱空虚,误认输尿管疝为膀胱(假阴性),而膀胱充盈时的压迫可使输尿管疝暂时消除。重复肾的输尿管扩张,既与发育异常的肾和(或)输尿管有关,也与输尿管疝有关。有合并症状时需与尿路梗阻鉴别。

图3 A:孕24周。肾盂扩张(*);B:肾脏下方显示双输尿管扩张(箭头)
不存在合并症时,胎儿重复肾属良性变异,可终生不被发现。有合并症时,可于出生后进行保守或手术治疗,预后较好。
四、马蹄肾
两侧肾脏的上极或下极相融合成马蹄肾,发病率为1/500~1000,男女比例为4:1。马蹄肾发生在胚胎早期,是两侧肾脏在脐动脉之间被紧挤而融合的结果。
马蹄肾多旋转不良,位置偏下。有时可见输尿管受压引起的肾积水。超声可见两侧肾组织在脊柱前方融合、连接(图4)。

图4足月胎儿马蹄肾,两侧肾脏在脊柱前方融合
马蹄肾多无症状,预后良好,合并其他畸形或压迫症状时需鉴别诊断。