2022年11月19日,一场飞来横祸,让男子命悬一线,先后历经我院重症医学科、神经外科惊心动魄的“夺命”大战和心胸外科的逆转接力,顺利实现生命续跑。
患者郭某,男,60岁,因严重车祸,伤及头、胸、腹等处,致全身多处器官损伤,创伤性休克、脑挫伤、创伤性蛛网膜下腔出血、颅底骨折、肺挫伤、右肾挫伤等明确诊断的损伤或病变多达16种,当即意识不清,鼻腔及外耳道可见性流血。
经重症医学科、神经外科、MICU·CCU等科室近20天的紧急抢救和稳定性治疗后,12月7日,又因双侧大量胸腔积液无法进行保守治疗,转入心胸外科。
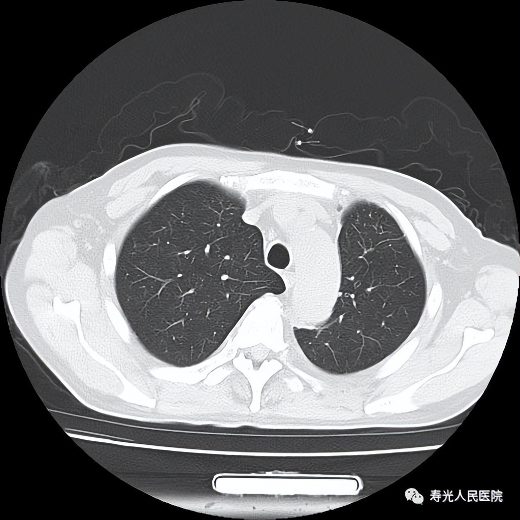
入科后,根据病情需要,即刻于右侧胸腔行微创引流术,左侧胸腔行闭式引流术,但复查胸部CT提示:左侧肺实变、不张。
肺实变是指任何原因致肺泡腔内积聚浆液、纤维蛋白和细胞成分等,使肺泡含气量减少、肺质地致密化的一种病变。若不及时进行手术治疗,必然会造成患者呼吸功能衰竭、左侧脓胸,危及生命。然而,患者存在多器官损伤、严重低蛋白血症,无法耐受常规开胸手术,遂决定实施胸腔镜微创治疗。
12月8日14时许,患者在心胸外科医师的主持下行全麻胸腔镜探查+血肿积液清除+纤维板剥脱+粘连松解术。由患者左侧第4肋间做约3cm切口进行探查,发现左侧胸腔内大量积血、血块,肺表面满布纤维板,粘连固定带包裹肺组织,导致左侧肺不能膨胀,故单纯胸腔闭式引流无法奏效。大量的血液渗入胸腔,也成为了患者胸闷、憋气和贫血的主因,手术期间,共吸引出积血约1000ml,占了人体正常血液量的三分之一。
此手术难度系数大。手术从14时起,到晚上21时方才结束,历时7个小时,给麻醉和手术医师在技术和体力上都带来了极大的考验。
而单纯的手术剥除纤维板仅仅是为患者侧肺膨胀创造条件,侧肺表面仍可能有看不到的纤维板,需要在胸腔内反复灌注尿激酶,以溶解纤维板。加之脑外伤的作用力,患者咳痰乏力,支气管、肺部出现大量积痰,反复行支气管镜吸痰治疗,每次吸出大量黄白色浓痰,每吸一次痰,患者的肺便恢复得更好一点。前后经过3次的胸腔内尿激酶灌注和4次的支气管镜吸痰治疗,复查胸部CT,患者肺组织膨胀好,恢复正常的咳痰功能。经心胸外科的专科治疗,患者恢复顺利,无下肢静脉血栓、褥疮、尿路感染等并发症的发生。
该患者,脑外伤加多器官损伤,合并重度肺实变,病情重,手术难度大,在科室全体医护人员的共同努力下,左侧肺实变及胸部损伤得以快速、成功救治,术后恢复良好,挽救了患者及其家庭,治疗效果满意。患者于2022年12月20日顺利出院,于2023年1月7日再次复查胸部CT,提示左侧肺恢复好,于2023年2月电话随访患者,已恢复基本劳动。
随着微创技术水平的提高,我院心胸外科微创手术应用日趋广泛,现90%的胸部手术均可通过微创完成,极大减轻了患者的痛苦,促进了患者的快速康复。心胸外科愿时刻保持与病患的信任与沟通,给最广大的病患带去最好的治疗效果。


入科时,患者双侧大量胸腔积液,左侧肺实变

出院时,复查胸部CT,恢复正常


胸腔镜下探查到的大量积血和纤维板块


胸腔镜手术切口
❖
Department introduction
科
室
介
绍
心胸外科专业创立于1996年,科室现有床位36张,医护人员25人,其中主任医师1名,硕士5名。治疗范畴包括肺癌、食管癌、贲门癌、纵隔肿瘤、胃食管反流性疾病、食管裂孔疝等胸部良恶性疾病的治疗以及冠心病、风湿性心脏瓣膜病、先天性心脏病等的外科治疗,同时还担负着全市人民的胸部外伤的急症急救工作,每年胸部手术近400台,开展手术难度和手术质量已达到省内先进水平,部分手术达到国家级水平,在临床实践中形成了自己的医疗特色和优势,是我市最大、实力最强的胸外科治疗的医疗、科研和教学的中心。
特色技术:
1、普胸外科疾病方面:所开展的肺癌、食管癌、贲门癌及纵隔肿瘤手术均与国内一流医院保持同步,手术的着力点已从“切除”转到手术后病人的生存率和生存质量,对于肿瘤病人,根据术中切除的范围和术后的病理情况,制定合理的综合治疗方案,做到科学施治;
2、胸部微创疾病方面:胸腔镜微创手术近几年得到了飞速的发展,一些传统的开胸手术,肺大泡切除、肺叶切除等均能够在胸腔镜下完成。我科自2005年率先在潍坊市开展胸腔镜微创手术,近几年胸腔镜手术已经占全部胸部手术的90%以上,目前所开展的胸腔镜微创手术包括:全胸腔镜肺叶切除术、全胸腔镜纵隔肿瘤切除术、慢性阻塞性肺气肿的肺减容手术、自发性气胸肺大泡切除术、胸外伤胸腔探查止血术,诊断性胸腔活检,其中胸腔镜肺叶切除术及纵隔肿瘤切除术已达到省内同级医院领先水平,手术和住院时间短、恢复快,创伤小、疼痛轻,疤痕小,真正在临床中践行了手术快速康复的理念。
3、心脏外科疾病方面:同样得到了快速发展,心脏瓣膜置换术及先天性心脏病矫治术等均能够常规开展,与北京及省内知名专家协作开展实施冠心病冠状动脉心脏不停跳搭桥术7年以来,共完成手术超过100例,均取得了与上级医院同等的效果,在保证了手术质量的同时,极大的方便了广大患者。
科室设备:
科室有体外循环机1台,微量注射泵5台、血氧脉搏监测仪1台、多功能监护仪6台、除颤仪1台、末梢血糖仪1台、吸痰器2台、 静脉输液泵2台,气压治疗仪,振荡排痰机等先进设备。
科研成果:
心胸外科全体医护人员不断学习,积极进取,近几年发表省、国家级、中华牌论文40余篇,完成潍坊市科研2项(二等奖),先后开展新技术,新项目数十项。
科室文化:
科室口号:用心守护健康。
服务理念:就医随心、收费放心、服务称心。
质量理念:精益求精、质量第一。
科室目标及远景:建设胸腔镜微创技术特色鲜明,医教研成绩突出,省内一流的心胸血管疾病诊疗中心。