股骨头坏死(osteonecrosis of the femoral head),好发于青壮年,常分为创伤性坏死、非创伤性坏死和特发性坏死。创伤性股骨头坏死病因明确,占40%左右,股骨颈骨折、髋关节外伤性脱位、股骨头骨折均可直接损伤股骨头血供,导致骨坏死,坏死率与骨折复位的时间、移位的程度等密切相关。非创伤性股骨头坏死详细的病理机制仍不清楚,主要由长期或大剂量使用激素和饮酒引起,其他还有血液高凝、脂肪栓塞等。特发性股骨头坏死没有明确诱因。
一、临床表现
1、创伤性股骨头坏死为单侧,非创伤性股骨头坏死双侧多于单侧,可先后发病。
2、早期症状不明显,软骨下骨发生骨折前髋部多无疼痛,或轻度不适。
3、最早出现腹股沟或臀部隐痛,偶尔会放射至膝关节,或仅有膝关节前方疼痛。
4、关节软骨下骨折、塌陷多在2年内发生,与坏死病灶的大小和部位密切有关。范围大、靠近前上方的股骨头坏死容易塌陷变形,严重的导致患肢短缩,影呴关节功能,行走困难,可继发下腰椎退变或侧弯。
二、股骨头坏死常见诱发因素
1、长期酗酒史。流行病学研究表明在非创伤性股骨头坏死患者中,有30%~40%的患者存在大量饮酒史。乙醇引起股骨头坏死的具体机制尚不明确,目前普遍认为乙醇可以导致体内脂代谢异常,通过影响骨髓间充质干细胞成骨分化能力、凋亡等,造成股骨头坏死。
2、长期激素服用史。激素是股骨头坏死最常见的危险因素之一,但引起坏死的最小剂量尚存在争议。
3、髋部外伤史。髋部创伤是常见的病因,约占股骨头坏死的40%,其中股骨颈骨折为主要原因,其次髋关节脱位、转子间骨折或医源性致股骨头血供损伤是少见病因。
4、家族性股骨头坏死、特发性股骨头坏死比较少见。
三、临床检查
1、影像学检查
(1)X线检查
X线是诊断股骨头坏死的首选检查手段,常规拍摄髋关节正侧位片。早期股骨头坏死X线片可正常或显示股骨头外上方骨小梁稀疏;病情进展后逐渐出现密度增高、硬化带、囊性变等;晚期则出现股骨头塌陷、关节间隙变窄、Shenton's线不连续、骨关节炎改变等。硬化带和新月征是股骨头坏死X线特征性表现。在股骨头关节面塌陷变形早期上关节间隙不变或增宽后期随着骨关节炎加重关节间隙逐渐狭窄。

X线检查示右侧股骨头骨质密度不均匀
(2)MRI检查
MRI检查是早期诊断股骨头坏死最具特异性、灵敏度的检查方法。当怀疑有股骨头坏死,而X线片无明显异常时,应行MRI检查。诊断时可根据髋关节X线、MRI显示的坏死面积和塌陷程度进行ARCO分期。




冠状面及横断面MRI图像
MRI示双侧股骨头坏死,冠状面显示右侧股骨头坏死(图A、C),横断面显示双侧股骨头坏死(图B、D);T1加权像(图A、B)显示硬化带为低信号,T2加权像(图C、D)显示右侧骨坏死硬化带外围高信号的骨髓水肿,左侧无骨髓水肿。
(3)CT扫描
CT可以从冠状面和矢状面揭示微小病灶,有较高的分辨率,但没有MRI敏感,只有当股骨头内出现密度改变、骨小梁断裂才能显示。此外,CT多用于评价股骨头内坏死面积大小、判断有无软骨下骨折和早期塌陷。
(4)其他检查
一些侵袭性检查股骨头髓内压力测定、转子间骨髓造影、骨髓活检,现在很少应用。同位素、数字减影血管造影(DSA)、SPECT/CT或PET/CT,主要用于判断股骨头病变组织的性质和血供,目前存在一定分歧,未常规应用。
2、实验室检查
当怀疑髋关节感染或风湿免疫疾病时,髋关节间隙有无狭窄、血沉和C反应蛋白有无升高有助于鉴别,股骨头坏死大多数正常,少数股骨头塌陷初期、髋关节疼痛明显时,血沉或C反应蛋白可短暂轻度升高,但关节间隙多正常或增宽。
对于风湿免疫疾病用激素导致的股骨头坏死,因为原发疾病通常存在血沉和C反应蛋白增高,对是否存在感染需要结合临床表现、体征和实验室检查综合判断,如关节积液穿剌培养、原发病控制情况等。
四、鉴别诊断
股骨头坏死出现软骨下骨折和骨髓水肿与自发性软骨下不全骨折(subchondral insufficiency fracture, SIF)和骨髓水肿综合征(bone marrow edema syndrome, BMES)的鉴别诊断存在一定难度。由于其治疗和预后不同需要重视,仔细鉴别,明确诊断。
股骨头坏死与SIF的区别如下:SIF不存在双线征,软骨下骨折线的形态通常凸向关节面,而股骨头坏死在软骨下骨折线外面还存在双线征,是坏死骨和活骨反应界面,在MRI T1WI上为低信号,在T2WI上双线征为高信号与低信号平行相伴的条带表现,双线征通常凹侧朝向关节面,少数情况下有相反表现。其次,骨髓水肿在股骨头坏死只会出现在双线征的外侧,不会出现在内侧,相反,SIF骨髓水肿可以累及骨折线周围和软骨下。当影像学上出现软骨下骨折时,患者通常会有承重或活动疼痛。骨髓水肿综合征多不存在软骨下骨折和双线征。
五、股骨头坏死分期
股骨头坏死分期用于确定治疗方法。1973年Marcus首先根据病情变化规律,提出股骨头坏死的影像学分期方法。在此基础上提出多种分期方法,目前国际上常用的有Ficat-Arlet分期、ARCO(Association Research Circulation Osseous)分期、Steinberg分期和JIC(Japanese Investigation Committee)分期,其中以Ficat-Arlet分期和ARCO分期在骨科使用广泛。
1、Ficat-Arlet分期
1980年Ficat和Arlet综合分析股骨头坏死患者的X线表现、骨扫描和关节功能等方面的表现,提出Ficat-Arlet分期,一共分四期,于1985年进行了修订,增加0期。Ficat-Arlet分期不强调对坏死范围的测量和定量检查,简单有效,临床使用广泛。
0期,无临床症状和体征,X线及骨扫描正常,一侧坏死,另外一侧正常的髋关节称静息髋,可能有股骨头髓内高压、骨组织活检异常。
Ⅰ期,有症状和体征,但X线正常,MRI可见股骨头信号改变、骨髓水肿。
Ⅱ期,X线片已有骨密度降低、囊性变、骨硬化等表现,但股骨头形态正常。
Ⅲ期,X线片可见股骨头塌陷变扁,但关节间隙仍保持正常。
Ⅳ期,X线片可见关节间隙狭窄,髋臼有异常改变。



A.男性,71岁,双侧股骨头坏死,右侧Ⅰ期、左侧Ⅲ期。X线片示双侧股骨头形态可,右股骨头未见明显密度改变,左股骨头关节面下见局限性骨密度减低及增高区(A1)。MRI(T2加权像)示右股骨头内双线征,左侧不规则形混杂信号,坏死区远端骨髓水肿(A2、A3)。


B.男性,31岁,双侧股骨头坏死,双侧均为Ⅲ期。X线片示双侧股骨头密度不均、股骨头稍变扁(B1)。MRI(T1加权像)示股骨头内多发不规则信号带(B2),股骨头内凸向大转子的双线征(白色箭)和软骨下骨骨折(白色三角)。


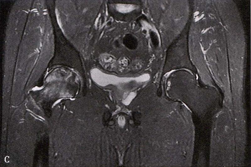
C.女性,89岁,右侧股骨头坏死Ⅳ期。X线片示右侧股骨头压缩变扁,右侧髂臼密度增高,关节内侧间隙狭窄、不均匀(C1)。MRI示右股骨头压缩变扁,右髋关节腔比较多积液(C2)。
2、ARCO分期
ARCO分期由国际骨循环研究协会(Association Research Circulation Osseous, ARCO)将骨坏死的定性和坏死区的定量综合一起提出的国际分期标准。
0期:骨髓活检证实股骨头坏死,其他检查项目正常。
Ⅰ期:核素骨扫描和/或MRI阳性。
Ⅰa MRI示股骨头坏死范围<15%。
Ⅰb MRI示股骨头坏死范围15%~30%。
Ⅰc MRI示股骨头坏死范围>30%。
Ⅱ期:平片异常(股骨头内密度改变、骨硬化线、囊性变、骨小梁稀疏紊乱);平片或CT无塌陷指征,核素骨扫描和MRI阳性,髋臼无改变。
Ⅱa MRI示股骨头坏死范围<15%。
Ⅱb MRI示股骨头坏死范围15%~30%。
Ⅱc MRI示股骨头坏死范围>30%。
Ⅲ期:新月征。
Ⅲa新月征范围<15%,或CT示股骨头塌陷<2mm。
Ⅲb新月征范围15%~30%,或CT示股骨头塌陷2mm~4mm。
Ⅲc新月征范围>30%,或CT示股骨头塌陷>4mm。
Ⅳ期:X线片显示股骨头变扁,关节间隙变窄,髋臼出现硬化、囊性变和骨赘。
ARCO 0期属于股骨头坏死的超早期,所有的影像学检查均无阳性表现,但患者股骨头内的确存在骨坏死病理变化,这种情况临床很难发现,偶可见于高危人群的检测或发现一侧股骨头坏死后对另一侧股骨头的穿刺活检。
六、股骨头坏死的治疗
常用的治疗方法可分为非手术治疗和手术治疗。应综合考虑患者的年龄、身体一般状况、单髋或双髋受损,选择最佳的治疗方案。
1、非手术治疗
非手术治疗适用于无临床症状的Ficat-Arlet Ⅱ期患者,病变范围越小,越容易修复。非手术治疗原则是积极治疗原发疾病,消除外源性致病因素,如乙醇、激素等,同时减少或避免负重,以利于股骨头的自身修复。治疗目标是重建或修复股骨头的血循环,促进坏死骨的修复,防止病情的进一步发展。
非手术治疗包括:①一般治疗,包括停止服用激素、戒酒等针对发病原因的治疗,以及牵引、减少或禁止负重、理疗、非甾体抗炎药等对症治疗,有助于减轻症状,促进修复。②药物治疗,微血管扩张药物为常用药,主要用于改善局部微循环;中药适用于早期或中晚期患者的配合治疗,以活血化淤为主。③也有学者尝试高压氧疗和介入治疗,对股骨头坏死有一定的治疗效果。非手术治疗中,应定期检查拍X线片,监测康复效果,直至病变完全愈合后才能重新负重。
2、手术治疗
目前,手术治疗是成人股骨头坏死的主要治疗手段,方法较多,具体手术方式选择取决年龄、分期、病程,可分为保头手术和关节置换手术两大类。保头手术包括髓芯减压加植骨、骨移植术、截骨术,关节置换包括表面置换术和全髋关节置换术。保头手术适应证为ARCO Ⅲa期以前的股骨头坏死,尤其是早期坏死,对年轻患者尽量考虑保头手术,对于塌陷明显,如无法修复,可考虑截骨术;若股骨头坏死变形范围大、髋关节间隙出现狭窄,选择关节置换手术。
(1)髓芯减压及植骨术:适用于股骨头坏死早期,股骨头外形完整,且无新月征时,ARCO Ⅰ~Ⅱ期。其操作简单,透视下环钻于大转子下通过股骨颈钻至股骨头软骨下4~5mm,取出骨栓,刮除坏死组织,肝素盐水冲洗后充填自体骨或异体骨。
(2)骨移植术:分为不带血管蒂和带血管蒂两种。不带血管蒂的骨移植术可用于ARCO Ⅱ、Ⅲa/b期,去除头内坏死骨,用自体松质骨和皮质骨填充,起减压、支撑和骨诱导作用。带血管蒂的骨移植术在ARCO Ⅲc期患者中尝试,填入带血运的皮质骨起支撑作用,其良好血运可满足股骨头血供,加速骨愈合。
(3)截骨术:适合年轻患者,对于关节面塌陷无法修复,病变尚未累及髋臼,可以进行转子间截骨,股骨颈旋转或内翻位固定,将股骨头完整的关节面用于承重。
(4)髋关节表面置换术:适合于年轻,Ficat-Arlet Ⅲ~Ⅳ期,坏死塌陷面积小,不影响表面置换股骨头固定的患者,由于磨损金属离子引起的组织反应,现在应用逐年减少。
(5)全髋关节置换术:主要用千Ficat-Arlet Ⅲ~Ⅳ期,即大面积的骨坏死和严重的关节面塌陷阶段,可据患者年龄、骨质情况、全身状况和活动量选择假体类型和固定方式。

诊疗流程
参考文献:《骨科学(第2版)》
主编:张英泽,翁习生
本节作者:阎作勤
声明:本文来源于专业期刊,由骨科在线编辑综合整理,如涉及版权问题请联系我们。