文章转自“医学影像学习笔记”。
特别声明【本微信所有转载文章系出于传递更多信息之目的,且明确注明来源和作者,不希望被转载的媒体或个人可与我们联系,我们将立即进行删除处理】
神经性骨关节病
- =神经营养性关节病=Charcot关节炎
- =因痛感神经+本体感觉异常,导致的退行性+毁损性创伤性关节炎
- 病因:先天性
- 脊髓脊膜突出
- 先天性痛觉丧失=无痛觉症
- 家族性自主神经功能异常(Riley-Day综合征)
- 遗传性感觉和运动神经病(Charcot-Marie-Tooth病,进行性神经性肌萎缩病)
- 后天性 中枢神经病
- 脑或脊髓损伤
- 脊髓空洞症(1/3患者):肩、肘
- 神经梅毒=运动共济失调(15%~20%患者):髋部、膝部、踝及跗骨
- 脊髓肿瘤/感染
- 脊髓外压
- 多发性硬化
- 酒精中毒
- 周围神经病
- 糖尿病(最常见病因,尽管发生率低):足中段,跗跖关节(中间楔形骨及第2跖骨底部最先受累),跗骨间关节,距跟关节、跖趾关节,踝
- 周围神经损伤
- 周围神经肿瘤
- 麻风病(Hansen病)
- 脊髓灰质炎
- 其他
- 硬皮病,Raynaud(雷诺)病,Ehlers-Danlos综合征
- 类风湿关节炎,牛皮癣
- 神经淀粉样变性浸润;肾上腺皮质功能亢进
- 尿毒症
- 恶性贫血
- 医源性
- 长期使用镇痛药
- 关节内或全身类固醇注射
- 助记:DS6
- D 糖尿病(Diabetes)
- S 梅毒(Syphilis)
- S 类固醇(Steroid)
- S 脊髓损伤(Spinal cord injury)
- S 脊柱裂(Spina bifida)
- S 脊髓空洞症(Syringomyelia)
- S 硬皮病(Scleroderma)
- 病理生理:
- 源于脊髓或周围神经的本体感觉丧失伴感觉缺乏
- 神经创伤学说=正常保护性感觉反馈丧失引起反复损伤
- 神经血管学说=神经刺激丧失导致交感神经感觉缺乏而引起血管扩张、充血,这促进骨质再吸收+软骨下骨质变脆
- 病理:
- 萎缩型(最常见)关节破坏,碎片的再吸收(破骨细胞+巨噬细胞吞噬骨质+软骨碎片),关节周围骨吸收/截肢状,关节积液伴发疾病:脊髓空洞症,周围神经病变,还有糖尿病部位:上肢非持重关节鉴别诊断:截肢术,脓毒性关节炎
- 肥大型(仅感觉神经受累):关节破坏、骨碎裂、关节周围骨碎片骨样硬化、骨赘(早期,形成较大)鉴别诊断:重度骨关节炎
- 混合型
- 两者共性关节结构破坏,大量长期性关节血性积液
- 无创伤史
- 关节肿胀和发热伴正常白细胞和血沉(可合并感染)
- 通常关节无痛感;1/3患者表现疼痛但对深部疼痛和本体感觉反应的减退
- 关节改变常先于神经功能障碍
- 滑膜积液:常表现为黄色/血性,脂质晶体(来自骨髓)
- √ 持续性关节积液(首发症状)
- √ 关节间隙狭窄
- √ 软组织内斑点状钙化(=滑膜钙化)
- √ 硬化的软骨下骨碎裂
- √ 关节周围无骨质疏松(有感染时除外)
- √ 晚期出现“袋中骨”现象(=关节周围明显变形)
- 助记:6Ds
- D 软骨下骨质密度增高(=骨硬化)
- D 退变(=骨质损伤后企图修复)
- D 骨关节面破坏(边缘锐利类似于外科截肢)
- D 畸形(跖骨头“铅笔尖”变性)
- D 碎片(游离体)
- D 脱位(非外伤性)
- √ 关节半脱位(关节周围软组织松弛)
- √ 快速进行性骨质吸收
- √ 关节肿胀(液体、肥厚性滑膜炎、骨赘、半脱位引起)
- √ 骨折:愈合伴不规则骨痂形成
- MR:
- T1WI和T2WI显示骨髓内信号减低(骨硬化改变所致)
- 肩
- 病因:脊髓空洞症,脊髓外伤伴截瘫
- 肩部扪及肿物(积液所致)
- 肱骨近端截肢表现
- 脱位
- 大量关节积液
- 关节囊、峰下--三角肌下滑膜囊内骨性游离碎片
- 鉴别诊断:软骨肉瘤
- 手和足
- 病因:麻风病(外伤和继发细菌感染所致)
- 鹰爪手、鹰爪趾
- “棒棒糖杆”样跖(指)骨表现/逐渐变细的指骨(骨向中心萎缩所致骨变短、变窄)
- 鉴别诊断:冻疮、恶性贫血、硬皮病、脊髓空洞症、运动性共济失调、家族性感觉神经病
- 脊柱(6%~21%)
- 病因:外伤性脊髓损伤、梅毒的不适当治疗、淀粉样变、对疼痛先天性不敏感、糖尿病
- 部位:胸腰段的连接处、腰椎
- 椎间隙变窄
- 椎骨、椎间小关节溶骨性病变/硬化
- 半脱位
- 突然屈曲
- 脊柱侧凸
- 棘突旁软组织钙化
- 终板较大鸟嘴状骨赘形成
- 多发性骨质碎片、并超出椎体边缘进入椎旁周围肌肉和椎管内
- 鉴别诊断:脊椎骨髓炎、转移瘤、肉芽肿炎
- 足和踝
- 病因:长期难以控制的糖尿病、梅毒
- 软组织肿胀、发热、红斑
- 部位:通常由中足开始
- 血管钙化
- 半脱位(起始于第2跖跗关节)
- 跟骨后结节撕脱性骨折
- 第2趾骨头软骨下骨折
- 距(骨)舟(骨)的移位伴中足骨病变
- 鉴别诊断:骨髓炎、脓毒性关节炎(通常局限于一个关节)

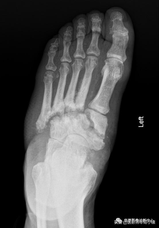
左足跖跗关节神经性骨关节病,第2~5跖跗关节及跗舟关节骨质破坏,破坏区周围可见碎骨片,跖骨间可见血管钙化。左足第1~2跖骨基底部及对应跗骨间可见Lisfranc脱位。


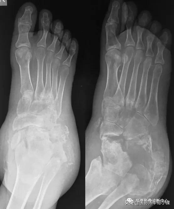
跟骨破坏,距骨舟骨关节脱位,近端跗骨吸收,跗关节紊乱,软组织肿胀,动脉钙化。

局灶性胸椎后凸是由于严重的结构改变,累及相邻椎体并伴有前屈。
- [1](德)德纳特著.医学影像学诊断与鉴别诊断[M].北京:人民军医出版社,2013:125-126.
- [2]radiopaedia.org