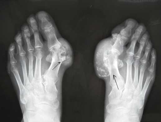
痛风是一种由于嘌呤生物合成代谢增加,尿酸产生过多或因尿酸排泄不良而致血中尿酸升高,尿酸盐结晶沉积在关节滑膜、滑囊、软骨及其他组织中引起的反复发作性炎性疾病。它是由于单钠尿酸盐结晶或尿酸在细胞外液形成超饱和状态,使其晶体在组织中沉积而造成的一组异源性疾病。

本病以关节液和痛风石中可找到有双折光性的单水尿酸钠结晶为其特点。其临床特征为:高尿酸血症及尿酸盐结晶、沉积所致的特征性急性关节炎、痛风石、间质性肾炎,严重者见关节畸形及功能障碍,常伴尿酸性尿路结石。
日常生活中我们该如何防治痛风,减轻疼痛呢?今天给大家推荐一种农村随处可见的草——猫须草。
猫须草 ,原名:肾茶,又名猫须公、牙努秒。属管状花目,唇形科多年生草本。茎直立,高1-1.5m,叶卵形、菱状卵形或卵状长圆形,苞片圆卵形,长约3.5mm,宽约3mm,花萼卵珠形,小坚果卵形,长约2mm,宽约1.6mm,深褐色,具皱纹。花、果期5-11月。

猫须草清凉消炎,可入药,主要用于治疗急慢性肾炎、膀胱炎、尿路结石和风湿性关节炎。
云乡猫须草是傣族二千余年所喜用的药草,人们也称猫须草(傣名:雅糯渺)为肾茶。猫须草肾茶的神奇疗效及保健作用,引起了我国及日本等发达国家科学家们的广泛关注,对于它所的有效成分及药理作用进行了广泛研究,揭示了其疗效卓著、保健功能神奇的奥秘。
云乡猫须草具有较强抗菌、消炎作用,可使肾小管破坏减轻,肾小球细胞结构病变减少,完整肾小球数目增加,对肾组织的损伤有保护和改善作用,能增加肾小球滤过和肾循环血量,促进毒性代谢产物的排除,降低体内血尿酸。

据云南中医学院附属医院、福建省中医药研究所临床试验,猫须草对尿路感染、急慢性肾炎、肾结石、尿路结石疗效明显,其中对尿路感染总有效率达95%。
适合人群
1、前列腺炎、前列腺增生、血尿酸高,尿频、尿急、尿不尽、尿等待者,尿少、尿黄、尿浊、泡沫尿者,痛风、肾虚腰酸、中老年及肾脏需保健者;
2、肾结石、膀胱结石、尿道结石、输尿管结石,1cm以上结石者,行体外震波碎石术后,喝饮肾茶,有助于碎石的排出且防止结石的复发,以及胆结石者。
特别提醒:请在专业医师指导下遵医嘱使用!