老谢,53岁,塔吊工。

据谢夫人透漏,他平时身体很棒,能吃能喝,并且身轻如燕,上下塔吊如同猴子爬树。

阴历八月十四日下午,工人们下班早一些,都匆匆忙忙完工回家。
老谢只有等到最后,想着即将回家吃团圆饭,他的心里美滋滋的,拿起手机看起抖音,另一只手操作塔吊。

祸起萧墙太突然,当老谢的塔吊即将收工完成,突然感觉头疼头晕,右侧肢体无力,手机掉到塔吊箱。
这个时候,老谢言语不流利,已经没有气力喊病人帮忙,胳膊腿很快瘫痪,无法拾起手机。
老谢无奈的看着夕阳西下,虽然心里清楚,也没有任何办法,真的是叫天天不应,叫地地不灵。

晚饭时刻,一家人都在等待老谢,妻子耐不住,到工地上寻找,工人们都回家团圆,工地上空无一人。
谁也不会想到,此时的老谢还在半空中自救。
可伶的老谢,只有强忍悲痛,硬生生的挺下来。
第二天,工地照常上班,妻子继续寻找老谢,儿子去顶替老谢开工。
儿子上到塔吊箱,看到老谢在塔吊箱里面昏迷不醒,吓坏了,赶紧呼朋唤友,大家齐心协力,用料斗把老谢从塔吊箱里面接下来。

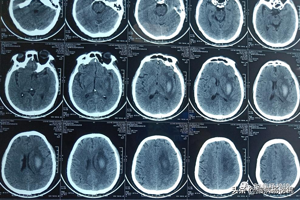
漯河市第一人民医院急诊颅脑CT,脑出血。

保守治疗六天,病情稳定。

保守治疗16天,血肿开始吸收。

保守治疗25天,血肿大部分吸收。转入漯河六院康复医学科。

发病两个月的片子,遗留软化灶。

老谢现在已经能够独立行走,继续康复中。

祝福老谢,感谢一院急诊科和神经内外科,感谢六院康复医学科。

启示:遇到突发事件,一定要冷静对待;一定要有活下去的希望;一定要学会自救。

漯河市召陵区中医院脑病科团队