
医脉通编译整理,未经授权请勿转载。
病例资料
患者男性,57岁。无既往病史和手术史。主因就诊前一天右下腹疼痛就诊。患者自述腹痛发作突然且为剧烈疼痛,最初疼痛位于中腹部,疼痛出现当天恶化并转移至右下腹部。患者否认存在任何腹痛相关的发热、寒战、呕吐、腹泻、排尿困难和其他胃肠道症状。
患者入院时生命体征和实验室检查均正常。腹部检查显示右侧髂窝压痛并伴有肌卫。
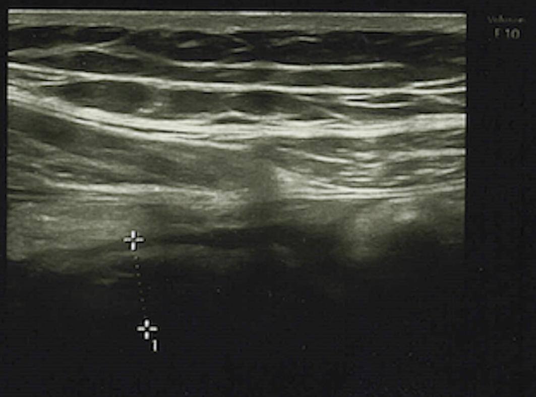
腹部超声检查显示回盲隐窝积液,阑尾直径10mm并伴有阑尾周围炎症,提示急性阑尾炎(图1)。

(图1 超声检查)
随后患者接受腹腔镜阑尾切除术,术中发现右侧髂窝处有适量浆液性液体并进行抽吸。似乎未见阑尾炎症(图2)。盲肠附近可见一坏死肠脂垂约20 x 20 mm大小(图3),隧将其和阑尾一同切除。术后确诊为肠脂垂炎。术后患者接受静脉补液、止痛治疗并应用抗生素预防感染,于术后第3日顺利出院。

(图2 箭头示正常阑尾的腹腔镜视图)

(图3 切除前坏死性肠脂垂 术中视图 )
分析讨论
肠脂垂于1543年在解剖学上首次被描述,是由结肠肠壁浆膜及其包含的脂肪组织聚集而成,沿结肠带两侧分布,在乙状结肠和盲肠较多,成人大约50~100枚(长度 0.5-5 cm)。肠脂垂外面为腹膜所包裹,有时因肥胖等因素导致内含的脂肪过多,肠脂垂肥厚,在腹壁疝、粘连或不当活动等情况的诱发下,可发生扭转,使终末血管闭塞导致局部缺血引起炎症和周围水肿,称为肠脂垂炎。
急性肠脂垂炎可发生于任何年龄,多见于肥胖的中年男性患者。起病突然,腹痛剧烈,呈持续性,部位固定且局限,患者可准确定位,伸展腹部时疼痛加重,患者可伴有腹膜刺激征,但全身炎症反应多不严重,一般不伴有明显的发热或白细胞升高,也没有外科急腹症常伴有的恶心、呕吐、腹泻等胃肠道症状。患者疼痛一般位于左下腹或右下腹,这主要是因为病变多发生于肠脂垂较多的乙状结肠或盲肠,临床常误诊为憩室炎或阑尾炎。
肠脂垂炎患者腹痛检查通常柔软、无腹胀,可有或无可触及肿块以及肌紧张。实验室检查通常在正常范围内,如存在异常,多数为非诊断性的。
在腹部压痛最明显部位进行超声检查可发现椭圆形、不可压缩的、紧贴结肠壁的、强回声实性团块,彩超提示无中央血流。CT 表现为结肠旁卵圆形低密度脂肪团块,与结肠壁相连,周围伴有炎症改变。诊断肠脂垂炎最理想的方式为CT增强扫描,其灵敏度和特异性均超过90%。虽然与肠脂垂炎相关的症状通常在发病后的几天到几周内小时,但典型CT表现可能持续6个月。肠脂垂炎的MRI检查表现为椭圆形肿块,T1和T2加权成像显示脂肪组织信号强度,增强T1加权成像显示环形增强。
肠脂垂炎作为自限性疾病,不会引起肠壁的缺血,一般无需手术,确诊后多以保守治疗为主,主要选用非甾体抗炎药(NSAIDs),一般无需应用抗生素治疗。经过对症治疗后,多数患者1周左右症状可消失或明显减轻,病灶最终可消失、变小或钙化。如果保守治疗不能改善症状或有并发症发生则需要进行手术治疗,可采取腹腔镜下切除术。虽然肠脂垂炎的腹痛发生率较高,但其预后通常较好,很少复发。
肠脂垂炎存在诊断不足的情况,CT和超声检查的应用减少了误诊的可能,保守治疗仍为首选,若疾病复发或发生并发症,则需要进行手术干预。本例患者提示将其纳入急性腹痛鉴别诊断的重要性。

参考资料:
1.Akubudike J E, Egigba O F, Kobalava B (January 20, 2021) Epiploic Appendagitis: A Commonly Overlooked Differential of Acute Abdominal Pain. Cureus 13(1): e12807. doi:10.7759/cureus.1280.
2.Nadida D,Amal A,Ines M,et al.Acute epiploic appendagitis:radiologic and clinical features of 12 patients[J].Int J Surg Caserep.2016.28:219-222.
3.秦幸茹,闫浩,任莹.肠脂垂炎的CT诊断[J].中国临床医学影像杂志.2016.27(5): 349-351.