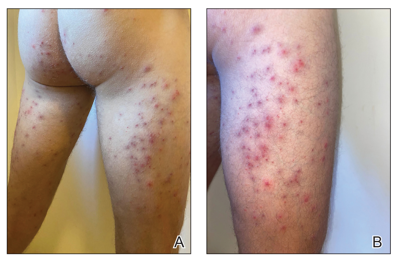
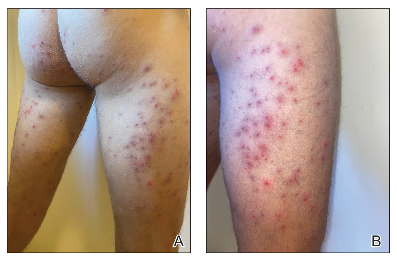
海水浴者皮炎或海水浴者发疹(Seabather's Eruption)是发生于某些海水浴者所特有的一种皮肤病,比较罕见,其原因至今尚未完全明了,有人提出,海水的压力可能是致病因素,其理由是皮疹的部位多发生在泳衣遮盖处,这些部位都是衣着的受压部位。还有人认为,是由于海水中某些动物的卵在游泳衣的压力下破碎,刺激皮肤所致。还可能与某些海水浴者的特殊体质有关。通常发生在离开海水数小时后,在泳衣遮蔽的位置,特别是受压边的部位,像腰部、臀部、胸部及乳罩出现皮肤瘙痒,随即出现水肿性红斑、丘疹或风团样的损害,2-3d后皮疹达高峰,严重者皮疹可泛发全身,出现头痛、畏寒、发热等全身症状。


海水浴者的皮炎是一种I型和IV型超敏反应,海水浴者的皮炎表现为大量分散、瘙痒、红色斑点和丘疹(尺寸为1毫米至1.5厘米),分布在暴露于海水后被皮肤褶皱、湿衣服或头发覆盖的区域。这种皮疹通常在出水后不久出现,在某些情况下可持续数周。延迟呈现的原因可能是,海洋生物被困在人类接触的皮肤和另一物体(如泳衣)之间,但在从水中取出后暴露于空气中之前,不会释放其预先形成的毒素,当生物死亡时,细胞裂解导致毒液释放。
局部皮质类固醇药膏和抗组胺药用于立即和延迟的皮肤反应。一般在1-2周内皮疹可自行消退。