#非常病例#
基本信息:女性,68岁
疾病类型:动脉瘤 蛛网膜下腔出血
治疗医院:天津*警武**特*医色**学中心(三甲)
治疗方案:侧脑室穿刺引流术 经导管颅内动脉瘤栓塞术
治疗周期:1月治疗效果:痊愈

动脉瘤栓塞治疗
一、初识患者
患者周某,女性,68岁,是一个朴实的农村大娘,平时身体很健康,没有高血压、糖尿病等基础疾病,这个年龄了还经常下地干农活。在一天下地种花生时突然出现头痛症状,逐渐加重,感觉自己的大脑要胀裂似的。家属急忙将大娘拉到当地县医院就诊,查头CT提示:“蛛网膜下腔出血”。患者在县医院急诊等待治疗时,症状越来越重,短时间内就出现了意识不清情况,伴有严重的恶心呕吐,把早晨吃的东西全都吐了出来。当地医院给患者下了病危通知书,建议患者转到上一级的医院继续治疗。患者家属不敢停留,立即呼叫救护车送往我院就诊。

动脉瘤破了
二、治疗过程
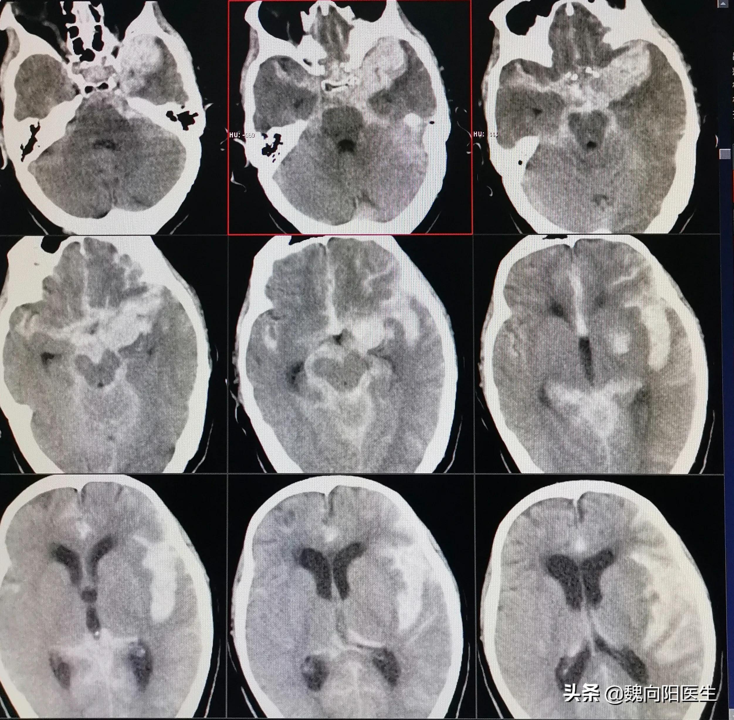
当送至我院后,再次复查头CT发现:“患者蛛网膜下腔出血较前增多,伴双侧侧脑室扩大”,且患者和昏迷状态更加严重,出现了呼吸困难情况,在急诊立即给予经口气管插管术,给予呼吸机辅助通气治疗。患者目前的意识状态逐渐加重,考虑是患者急性蛛网膜下腔出血并发急性脑积水导致,且脑积水情况进行性加重,立即给予侧脑室穿刺引流,改善脑室积水。诊断周某是自发性蛛网膜下腔出血,不排除患者出血原因是颅内动脉瘤破裂导致,因此建议立即行脑血管造影检查,明确发病原因,并给予有针对性的治疗。经患者家属同意后,立即联系介入导管室,给予全麻下脑血管造影发现:“小脑后下动脉动脉瘤”,经过分析考虑该动脉瘤为责任病灶,如果不处理该动脉瘤,则第二次出血风险高,且一旦再次出血后症状会更加严重,甚至危及生命。
再次与患者家属沟通后,给予经导管颅内动脉瘤栓塞治疗。
三、治疗时注意事项
患者家属往往不理解:为什么患者蛛网膜下腔出血少了,患者症状却越来越重?患者蛛网膜下腔出血后很容易导致急性脑积水,一般表现为记忆力、反应能力及认知功能明显下降。对于经导管动脉瘤栓塞术后的患者,属于微创手术,一般在股动脉穿刺,术后早期一定要股动脉穿刺处按压制动,避免过伸过屈,预防股动脉出血及假性动脉瘤发生。对于脑室穿刺置管引流的患者,一定要保持患者平躺,切记坐起或起立,以防脑脊液过度引流。

动脉瘤栓塞
四、治疗效果
经过近半月的脑室持续脑脊液引流,颅内蛛网膜下腔及脑室内血性脑脊液基本消失,急性脑积水症状得到了根本控制,患者意识症状也明显好转,也拔除气管插管,可以自主正常呼吸。等待到1月左右时,患者可以与人正常交流,并可下地缓慢行走。且患者未再发生蛛网膜下腔出血。
五、出院后注意事项
患者出院之后需要加强肢体功能康复训练,加强言语训练及记忆康复训练。需要定期复查头CT检查,以防迟发性脑积水发生。半年后复查脑血管造影检查颅内动脉瘤愈合情况。
六、医生感悟
对于本患者的诊治过程,我有如*体下**会 :自发性蛛网膜下腔出血是脑卒中一种,尝尝发病急骤,且病情严重,治疗不及时或不彻底会导致严重的后遗症,且致死率很高。90%以上的自发性蛛网膜下腔出血都是由于颅内动脉瘤破裂导致,针对蛛网膜下腔出血的治疗,一定要寻找出血原因,对于破裂的动脉瘤给予有针对性的治疗,以防再次破裂出血。对于出血量比较大蛛网膜下腔出血患者,早期容易并发急性脑室积水,如果此时不给予采取措施,很容易导致急性脑疝形成,危及生命。因此对于考虑存在急性脑室积水的患者一定要尽早的行侧脑室穿刺引流,以排除颅内多于的脑脊液及血液。
@魏向阳医生 温馨提示 :颅内动脉瘤就如同埋在大脑的地雷,随时有爆的风险。一旦破裂,后果不敢想象。
对于颅内动脉瘤,建议首选微创介入治疗——经导管栓塞治疗!
