前两天有位患友在网上留言问我,说他的亲属食管癌化疗后,患者出现发烧、呛咳、胸背部疼痛,我当时给他的回复是,赶紧做上消化道造影,排查一下是否是食管癌化疗后导致的食管破裂。用医学专业的说法,这是食管纵膈瘘。因为食管和胃液均有很强的腐蚀性,破溃到纵膈内形成纵膈炎,再腐蚀附近的气管和支气管就会导致食管-纵膈-气管瘘,患者在发烧、胸背部疼痛的基础上会出现喝水剧烈呛咳,进一步发展为肺炎、感染性休克、甚至是消化道大出血。
很不幸的是这个患友今天给我私信说,患者已经高烧不退,昏迷后转入ICU,现在是凶多吉少。食管癌一旦出现瘘口,需要尽快处理,第一步是进食水,但很多基层医院和不熟悉这个疾病的医院或医生,往往做不到第一线处理,一口稀饭、一口牛奶就让患者出现大问题。处理食管癌的并发症,往往有很多关键点要注意。
食管-纵膈-气管瘘是食管、纵膈、气管之间因病理因素形成的异常通道。常由食管、气管与纵隔的肿瘤局部侵袭、放化疗损伤等引起。临床常见表现有吞咽、进食水时出现刺激性呛咳,常伴咳嗽、咳脓性痰、胸闷、气短等肺部炎症。因患者一旦出现食管-纵膈-气管瘘,为预防肺及纵膈炎症扩散、加重,需立即禁食水,甚至连唾沫、口水都需吐出,无法下咽。进食、饮水、吞咽口水时都会不可避免地将进入食管的食糜、水漏进食管瘘道,再经瘘道流进气管,气管是一个清洁敏感的区域,一旦有异物进入气管,便会诱发气管不自主呛咳,从而把异物咳出,以免污染气管,引起感染。
这种自我保护性生理反射会让患者彻夜难眠,频繁咳嗽也可导致胸腹部肌肉持续酸痛胀痛,令患者痛不欲生。尤其对于食管或气管恶性肿瘤患者,发生食管气管瘘后,肿瘤的治疗往往会受到巨大影响,为了让瘘口尽快愈合,一切治疗肿瘤措施都要大打折扣。
食管气管瘘患者常因病情拖延、顽固性肺部感染、进食障碍、恶病质导致器官衰竭死亡。食管气管瘘治疗原则是一经诊断尽早封堵瘘口,重建消化道及呼吸道的正常结构,营养支持,控制感染。内科药物抗炎、化痰、静脉营养等对症支持治疗往往效果有限,外科手术进行气管食管瘘修补术难度较大,风险高,食管气管瘘患者往往全身营养状况差、合并症多而无法耐受。介入治疗可经鼻DSA引导下置入空肠营养管及脓腔引流管联合食管覆膜支架封堵瘘口,阻断消化液和食物进入瘘道及气管,防止腐蚀瘘道及气道,封闭良好者即可经口进食流质食物或联合经空肠营养管注入食糜,充分保证营养供给,改善体质,全方位促进瘘口愈合。
病例汇报
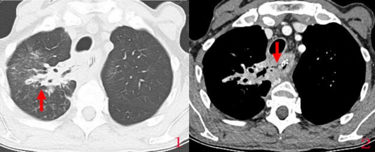
患者65岁,老年男性,以“发现食管癌4月余,进食水呛咳伴脓痰1月”入院。入院后完善血液学及影像学检查;行胸部CT见下图:

图1箭头示患者右肺上叶炎症明显;图2加强CT可见食管上段食管壁明显增厚伴强化,可见一裂隙瘘道影由贯穿食管和气管(箭头示);考虑为食管癌伴食管气管瘘。
发现病变后,首先要做的是隔绝瘘口,引流脓腔、增加营养措施。DSA下行食管覆膜支架置入+脓腔引流管置入+空肠营养管置入,见下图:

图1示食管回拉造影可见食管上段明显阶段性严重狭窄(红箭头),狭窄上方食管扩张明显,于狭窄上端可见一瘘口,造影剂沿瘘道经纵膈进入右肺上叶,瘘道清晰显影(黑箭头);图2示食道造影后,右主支气管显影(箭头示);图3示于瘘道置入猪尾巴导管(黑箭头)作持续负压抽吸脓液;食道覆膜支架后口服碘水造影瘘口瘘道消失,且造影剂顺利通过食管支架管腔,食管狭窄解除(红箭头)。
术后第一天,患者脸上露出了久违的笑容,咳嗽症状明显好转,自诉睡眠质量较前明显改善;逐渐增加饮水量无呛咳;术后第二天由饮水过渡至进食米粥,进食顺利,无呛咳,瘘道脓腔引流管负压抽吸未见脓液及食糜。介入方法不仅解决了患者困扰已久的呛咳难题,还解决了他的经口吃饭问题,夜间更是不用再担心被呛咳折磨得无法入睡,生活质量直线上升!隔绝瘘口后1-3月复查,可判定瘘口是否愈合,如果愈合可以拔出脓腔引流管、支架,让患者恢复正常饮食。