肺癌是起源于支气管黏膜、腺体、肺泡上皮细胞的肺部恶性肿瘤。根据最新数据显示:肺癌是我国男性发病率最高、女性发病率第二位的恶性肿瘤,同时也是男性和女性死亡率最高的恶性肿瘤,给我国人民的健康造成了巨大的威胁。目前肺癌的治疗方法有很多,如手术、化疗、放疗、靶向及免疫治疗等,但每年肺癌患者的死亡率仍继续升高。

氢气,化学式为H2,是相对分子质量最小的物质;常温常压下,是一种极易燃烧的、无色透明、无臭无味且难溶于水的气体。环保又可再生的氢能源在能源局势紧张的今天备受关注。氢气在医学方面的作用近十多年来也受到了专家学者的关注,引发研究热潮。
徐克成教授团队在肿瘤领域进行了真实世界观察,发现氢氧气吸入对癌症患者有改善生活质量的作用,部分患者的肿瘤获得稳定或者缩小的变化,联合常规治疗效果更好,从而提出了氢气控癌的理念。广州复大肿瘤医院医疗一科钱伟博士在肺癌患者进行了氢气控癌的探索,5月12日受邀到工作室直播间与大家分享肺癌综合治疗辅以氢氧混合气吸入临床效果。

吸入氢气,通过呼吸系统的气体交换,把氢气摄入到身体的血液里,在吸入氢气的过程中,首先肺部就充满了一定浓度的氢分子,这些氢气会直接对肺部的细胞产生作用。钱伟博士分享临床上肺癌综合治疗联合吸氢案例,初步表明氢氧气吸入看来对肺癌患者的康复有助益。
一名69岁的男性患者因“刺激性咳嗽3月,胸闷气促1月”入院治疗。检查发现为左肺上叶鳞癌,双肺门、纵隔淋巴结继发恶性肿瘤,慢性阻塞性肺病。由于该患者无法手术,且不能耐受同步放化疗,为此在院接受免疫联合介入化疗,并同时吸入氢氧混合气3L/min,6-8hr/d;治疗后效果评价:肿瘤部分缓解,后继续免疫维持治疗,并吸入氢氧混合气康复至今。目前病情稳定,咳嗽咳痰、胸闷气促症状较前明显好转。

一位来自辽宁的肺腺癌患者,入院时出现呼吸困难,血氧饱和度下降至90%以下;CT检查发现右肺的80%均被炎症占据。无法行相应的抗肿瘤治疗,后吸入氢氧混合气(3L/min),让他病情出现“拐点”,患者呼吸困难缓解。后联合口服靶向药治疗至今。如今,患者正常生活与工作,肺部的病变已得到很好的控制。

一位66岁的肺部腺癌患者,基础疾病较多,心力衰竭Ⅲ级,一些传统治疗手段无法耐受,为此在院接受冷冻消融治疗。由于患者心功能较差,介入、靶向药等其他方法无法实施,于是他继续在家每天吸氢氧气6L/min,8hr/d,进行康复治疗。目前生存已有3年,病情稳定。


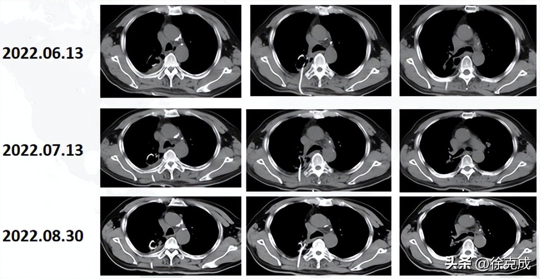
这位肺癌患者来院就诊的时候,肺上已经出现巨大空洞并伴随颅内转移,视力受到严重影响,生活质量极差,当地医院诊断其生存期只剩三个月。在复大接受四次介入治疗后,辅之以氢氧吸入,肿瘤标志物逐渐趋向正常,病变逐渐缩小。



初步的实践表明,氢氧气吸入看来对肺癌有“特”效,至少对某些无法获得“拐点”的患者。医学既要保守,又要积极探索。“氢氧气吸入”不属于当今《指南》的内容,但它对肿瘤的作用研究显示它具有抑制癌细胞增殖、提高抗肿瘤免疫功能及减轻放、化疗及靶向治疗的副作用等作用,值得进一步的研究与探索。
为什么吸入氢气能够缓解患者病情?氢气是如何控癌?肿瘤的生成和发展与慢性氧化应激和炎症有关。氧化应激引起炎症,慢性炎症又促进活性氧自由基产生,加剧氧化应激反应。而自由基是癌症发生的关键因素。
自由基作用于正常细胞,引起细胞核内DNA破坏,使其变成突变细胞;如果自由基得不到及时清除,继续作用于突变细胞,后者就可变成癌细胞。在癌症患者,促发自由基生成的因素更多,诸如:对癌症恐惧担忧、心理压力大、癌症本身释放“毒性”因子、接受过各种侵害性治疗,尤其放化疗、生活方式不确当,营养不平衡。
当然,自由基不都是坏的。身体新陈代谢中有适量自由基产生,这是内源性自由基,参与信息传递的生命活动,是机体不可缺少的活性信号因子。机体内有自动清除自由基的抗氧化系统,可以及时清除多余的自由基。
消除体内过量的自由基,不仅纠正各种功能障碍,而且可预防癌细胞生成和复发,具有病因治疗价值。氢气,自由基的“克星”。氢气是由两个氢原子组成的气体分子,化学性质相对稳定,是分子质量最小的气体。实验研究显示,氢气具有还原性,能直接选择性抑制羟基和过氧化亚硝酸盐等有害自由基,发挥调节基因表达、减少氧化应激、抑制促炎症性细胞因子等一系列作用。

通过清除自由基,氢气对人体内许多功能具有正面保护和调节作用,归结起来——
- 能够快速渗透组织和细胞;
- 调节抗炎和抗氧化活性;
- 诱导细胞保护性热休克蛋白;
- 改善线粒体功能;
- 调节内质网应激、免疫系统;
- 调节细胞死亡(细胞凋亡、自噬、细胞焦亡等)。
氢气的高度安全性、对癌细胞和对机体各系统的作用以及使用简便,使其可长期甚至终生应用。临床上,不少癌症患者多数失去了“常规”治疗的可能,但在“吸氢”这种看似十分简单的辅助治疗下竟然改善了,活下来了。但值得注意的是,氢气不是“主力”,是“辅力”。未来能否成为“治疗”手段,仍需要按照规定的程序,进行规定的试验和考核。