女性因为多了一套盆腔系统,无形中多出了很多隐患。卵巢就是其中一个方面。
卵巢对女性的重要性不用多说。如果卵巢出故障,不但影响正常的内分泌,而且影响生育。不过今天谈的不是功能性的问题,还是切切实实的器质性病变。简言之,卵巢上长了个肿物怎么办?
能长期养着吗?

要回答这个问题,首先要对卵巢上的肿物有所了解。因为,它可能的类型实在是太多了。不同类型的卵巢肿物,结合肿物的大小、生长速度、患者的年龄、生育要求等,处理方案都不相同。
卵巢肿物有哪些类型?
肿物,又叫占位,在医学上是个涵盖范围很广的词语。在卵巢这一块,分为囊肿和肿瘤两个大类。
囊肿,顾名思义,就是囊状物,有完整的包裹,里面有一堆液体。包括生理性的黄体囊肿,病理性的炎性囊肿、巧克力囊肿等。
肿瘤,不单纯是个“水囊”,它里面有实质性的成分,分为良性肿瘤和恶性肿瘤。
按照病理类型又分为:
上皮性肿瘤:浆液性、粘液性、子宫内膜样、透明细胞性等。
性索间质性肿瘤:颗粒细胞瘤,卵泡膜细胞瘤等。
生殖细胞肿瘤:畸胎瘤、内胚窦瘤等。
转移性肿瘤:库肯勃瘤,来自胃肠癌的转移。
卵巢的生理性囊肿,可以随着周期自然消退,比如月经干净后去复查超声,发现囊肿没了。但是,侵袭性比较厉害的巧克力囊肿,以及具有实质成分的肿瘤,大部分不会自动消失。可能会持续存在,缓慢生长,也可能短时间内就迅速增大,产生比较高的风险。
卵巢肿物一般要做什么检查?
首先要知道,很多人卵巢上长东西,是没有什么症状的。卵巢位置比较深,如果肿物不大,妇科查体有时候也不明确。那么,通常会做一些什么样的检查呢?
妇科彩超
超声是妇科领域应用最普遍的辅助检查。无创、简便、快捷,而且准确度也比较好。目前超声仪器都越来越精密了,而且彩色多普勒可以分析肿物周边的血流信号。一般来说,血流信号丰富杂乱,就要警惕一些。
血肿瘤标志物
抽血化验。卵巢上的肿瘤,因为病理类型不同,有些具有特异性的标志物。就拿最棘手的卵巢上皮性癌来说,它有两个常规的化验指标:CA125. HE4.
这两个指标对诊断卵巢上皮性癌的敏感性和特异性较高,不但用于诊断,术后随访以及化疗期间的监测,也常规用到。
不过凡事无绝对,肿瘤标志物并不是百分百准确的。比如CA125,不但能在卵巢癌患者的血中查到,在一些盆腔炎症的患者、子宫内膜异位症的患者身上,查血指标也是高的。所以,这个时候,就需要其它的辅助检查配合诊断了。

盆腹腔CT
它在卵巢肿瘤尤其是卵巢癌的辅助诊断上有不可替代的作用。能够比较清晰的看到卵巢肿物的位置、大小,与周围组织的关系、有没有腹膜转移等。在患者没有禁忌症的情况下,增强扫描会更加精准。
MR对肿瘤周围软组织、脂肪、出血等有比较好的识别,不过它的扫描范围有限,尤其是大量腹水的患者,准确性不如CT。
另外,目前应用越来越多的PET-CT,是一种非常先进的检查手段。可以检测出病灶的代谢情况,微小的病灶以及在全身范围内评估转移情况。不过它价格仍然较高,一般对于中晚期病号以及复发病号的应用意义较大。一般患者不常规推荐。
细胞学和穿刺活检
卵巢癌的进展速度是很快的,有些患者一发现就可能是晚期了。有一个突出表现是大量腹水。腹部膨起如鼓,能够感觉到液体颤动,俗话就是一肚子水,有个专门的术语称为液波震颤。
这种情况下,患者很可能病灶范围较大,或者多处转移,不能直接手术,而是要进行先期化疗。打化疗是要有依据可循的,不是说怀疑卵巢癌就行了,常规要有明确诊断。这个明确的诊断就是病理。
怎么取病理?一种是细胞学检查,把腹水抽出来,离心后寻找肿瘤细胞。这个方法有两个好处,一个是诊断,再一个放腹水对患者来说可以有效缓解胸闷、憋气等症状。
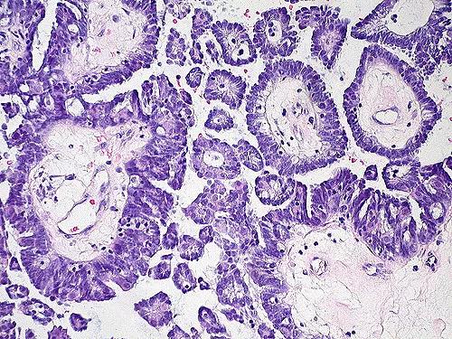
另一个方法是CT引导下穿刺活检。因为有时候在腹水里是找不到肿瘤细胞的,这种情况下需要在CT的监视下,在允许的可疑部位穿刺活检做病理。病理可能是这样的:

当然,不论是放腹水找瘤细胞,还是穿刺活检,都属于有创操作,是有风险的。需要综合评估权衡。
胃肠镜检查
前面也谈过,卵巢肿瘤有一类是转移性肿瘤。就是说原发病灶不是卵巢,而在别的器官上。但由于疾病进展,转移到了卵巢上。说实话,卵巢处在盆腹腔这个宽敞的空间里,是非常容易被转移和种植的。
比较常见的转移来自于胃肠道,比如库肯勃瘤,通常卵巢双侧都会有累及,恶性程度高。它的肿瘤标志物不是CA125,一般CA199反而会高。
这种情况下,就不能盲目的当成妇科疾病处理。如果CT等辅助检查怀疑消化道来源,就有必要做胃肠镜,避免误诊漏诊。
BRCA突变检测
这是一种最近获得突飞猛进发展的检查手段。BRCA1和BRCA2基因突变是乳腺癌和卵巢癌的易感基因位点。它可以用来评估卵巢癌的发病风险,目前也用在了靶点治疗。
什么意思呢?有些人是卵巢癌家族史的,如果她遗传了BRCA的基因突变,那么,发生卵巢癌的概率就会很高。
举个例子,安吉丽娜朱莉,为什么要预防性切除卵巢、输卵管、乳腺?就是因为她携带了BRCA突变,发生乳腺癌和卵巢癌的概率很高。
另外,目前针对BRCA突变的研究,已经上升到了治疗的领域。目前大火的PARP*制剂抑**,已经被FDA批准可以应用于携带BRCA突变的卵巢癌复发患者的维持治疗。这是一个重大突破。

卵巢上的肿物一直不处理会怎样?
这个问题其实挺棘手的。
还是那句话,凡事无绝对。要根据患者的心理诉求、生育要求、年龄、肿物的生长速度、影像学检查来综合评估。
一般来说,长的过快的、血流信号杂乱的、肿块里有不规则实质成分的肿物,不建议拖延。
拖延可能有这样一些风险:
肿块破裂。这个在夜班急症时经常碰到。患者突然肚子剧烈疼痛,面色苍白,甚至昏厥,赶紧手术,腹腔镜探查一看是一个囊肿破了,出血。
肿块扭转。个头大的肿物,重的密度不均匀的肿物,很容易在剧烈活动的时候扭转。它不像包块破裂一下子就剧烈疼起来。这个有时候疼痛是慢慢加重的。扭转了好几天才能感觉出来,往往手术时发现卵巢都缺血变黑了,连带着输卵管也遭殃。
发生恶变。这是最不希望看到的一个局面。卵巢上的肿瘤和子宫、宫颈上的都不一样,一来是组织学类型特别复杂,各种各样的都有。二来是卵巢本来没有防护罩,它处在一个自由活动的盆腹腔内,肿瘤很容易播撒到别的地方。这就是卵巢癌为什么特别容易转移的原因。早发现早治疗,对于卵巢癌来说,效果是不一样的。I期卵巢癌的5年生存率是90%左右,II期就降低到80%,而到了晚期,就只有30-40%。
所以,不忽视身体的不适很重要,定期查体是关键。
善待身体,行之有道。
