
胃癌发生年龄段以50~60岁居多。胃癌具有起病隐匿、早期常因无明显症状而漏诊、易转移与复发和预后差等特点。胃癌的病因迄今尚未完全阐明,一般认为外界环境和饮食因素与胃癌的发生关系最为密切。

胃癌早期70% 以上病人无明显临床症状,中晩期可出现上腹部疼痛、消化道出血、穿孔、幽门梗阻、消瘦、乏力、代谢障碍以及肿瘤扩散转移而引起的相关临床症状。

晚期胃癌的治疗方法主要有外科姑息性手术切除治疗,姑息性化疗、放疗,以及近年来新兴的靶向治疗、免疫治疗等等,尤其是新兴治疗手段使得晚期胃癌生存期及生存质量有所提升。

但晚期相关肿瘤并发症,如癌性出血、幽门梗阻等,严重影响患者治疗,或者传统治疗手段无效情况下,介入微创治疗仍可帮助部分患者控制肿瘤、缓解相关症状,提供生活质量。

病例1
老年男性,胃癌晚期腹腔广泛转移,肿瘤侵犯导致幽门梗阻,胃部肿瘤溃烂出血。

针对患者具体病情,先予以行胃癌动脉栓塞止血,空肠营养管置入以便长期肠内营养支持、改善体质。

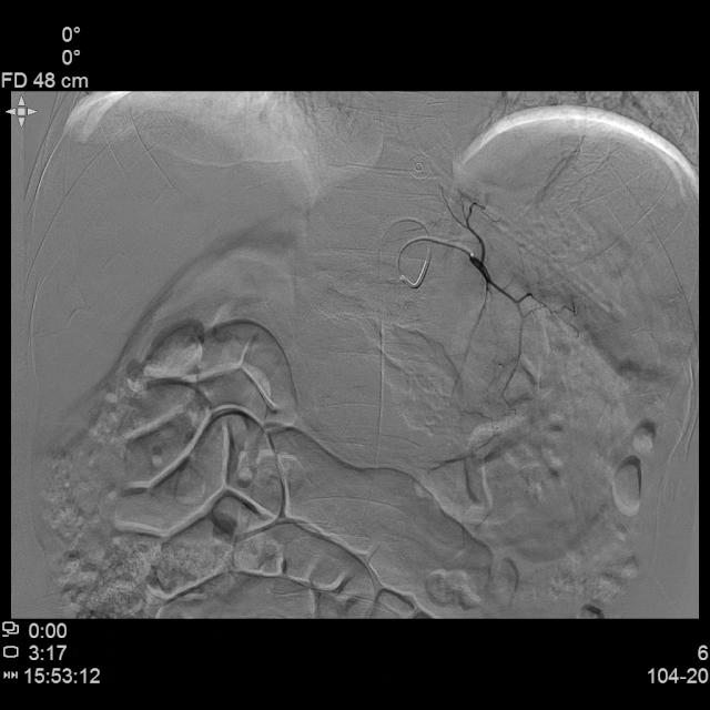
DSA造影显示胃左动脉分支肿瘤染色丰富

DSA造影显示胃网膜动脉分支肿瘤染色丰富
- 复查CT显示胃部肿瘤明显坏死

CT显示胃部肿瘤大片坏死灶
- 空肠营养管置入以便长期肠内营养支持

空肠营养管置入以便长期肠内营养支持治疗,改善体质
后续行胃部肿瘤区域化疗灌注治疗,病灶进一步缩小控制,腹痛、腹胀等临床症状缓解、改善。

CT显示胃部肿瘤明显缩小
病例2
老年女性,胃腺癌并肝多发转移,行6周期姑息化疗,病情得到控制良好(部分缓解)。

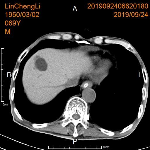
CT显示肝左、右叶多发转移瘤
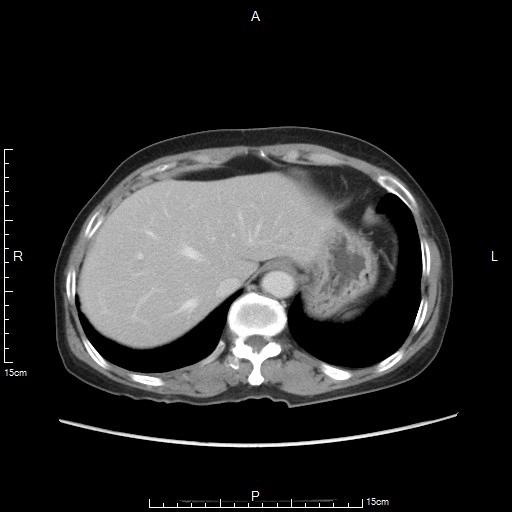
- CT显示肝左、右叶多发转移瘤较前明显缩小

CT显示肝左、右叶多发转移瘤较前明显缩小
- 后续行胃癌及肝转移瘤动脉化疗灌注+肝动脉载药微球栓塞

行胃癌及肝转移瘤动脉化疗灌注+肝动脉载药微球栓塞
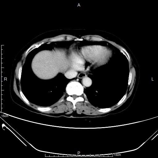
- 术后复查CT显示肝转移瘤明显坏死

CT显示肝转移瘤坏死
