专家介绍:刘万军,主任医师,医学博士,研究生导师;上海交通大学医学院附属第六人民医院/东院; 骨科-关节外科主任医师,东院关节外科负责人,擅长疾病:1、髋关节置换、膝关节置换手术(股骨头坏死、严重骨折手术后髋关节炎、严重髋关节发育不良、严重类风湿性髋关节炎、髋关节僵直、严重老年骨质增生性膝关节炎引起的关节痛);2、髋膝关节翻修术;3、早期股骨头坏死的保髋手术;4、早期膝关节骨性关节炎的保膝手术;5、关节置换术后假体感染及术后骨折;6、各类骨关节疼痛疾病的微创治疗。
杨女士37岁,髋关节先天发育不良,由于平时症状不明显,未予特殊处理。但生完孩子后变严重了,走路疼,影响生活质量。
通过网络的搜索,杨女士了解到上海六院关节外科刘万军主任在髋关节置换领域口碑相传,不少类似患者表示经过刘万军主任的治疗现已恢复正常,生活质量得到了极大的改善。
杨女士看到病友们的网络评论后,笃定了非刘主任不治的信念。 遂前往上海六院刘万军主任的门诊就诊。

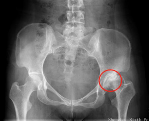
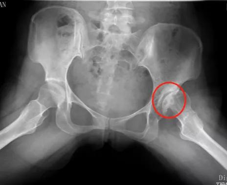
刘万军主任在听取了杨女士的病情描述后,细心安排其做了各项检查,经过检查,左髋臼发育浅,股骨头变扁,密度不均匀,关节面毛糙,关节间隙狭窄,髋臼上缘边缘硬化,关节半脱位。 诊断为:左髋关节发育不良,轻度扁平髋,继发骨性关节炎,关节半脱位。


刘万军主任一方面温和安抚患者焦虑的心情,另一方面通过丰富的临床经验告知杨女士 最有效的治疗方式——全髋关节置换术 。刘主任沉稳而又不失和蔼的语气让杨女士放下了心中的担忧,内心中充满康复的希望。
在短暂等待后,杨女士于得到上海六院临港院区的入院通知,隔天即办理了入院手续。
杨女士按照指引来到六院临港院区,住进老干部病房,对环境非常满意,更对医护人员的服务态度 赞不决口 ,感觉看病就像旅游一样!

术后杨女士疼痛立即消失,当天下地活动。并在刘主任的亲自的康复指导下,恢复 的 越来越好,第3天便康复出院了。杨女士信心大增,伴随多年犹如阴云般挥之不去的疼痛终于能告别了。看来关节置换找刘万军主任,是找对了!
专家科普
据刘万军主任介绍,髋关节是由髋臼和股骨头构成的,髋臼相当于一个“碗”,股骨头相当于一个“球”,日常活动中,这个“碗”将“球”包裹住,使它不会跑出去,而“球”在“碗”的包裹下,可以做各个方向的旋转。

先天性髋关节发育不良是指出生时髋关节发育不好,如髋臼发育太浅、髋臼对股骨头的覆盖减少、髋臼与股骨头的匹配关系不良等,发病率为1%~10%,多见于女性。该病与遗传因素有关,多胎、有家族史、胎位不正等是其危险因素。

髋臼这个“碗”变浅了,“球”必然有向“碗”外面跑的趋势,导致髋关节面长期负重受力不均衡,容易继发股骨头半脱位、脱位,以及髋关节炎等疾病。
如果在出生时即脱位的患儿,可以表现为臀纹不对称,下肢不等长。还有许多患者出生时虽然髋关节发育不良,但病情较轻,在儿童时期表现正常。而随着年龄的发展,这类人髋关节的磨损比正常人要快,通常在20~40岁的时候就出现了明显的髋关节症状而就医。
早期表现为髋关节的疲劳、酸胀、隐痛。当疾病进展时,疼痛加重,并出现跛行、静止时疼痛,由于股骨头向外上方移位,患肢变短。随着骨性关节炎的加重,关节的活动也逐渐受限。
对于刚出生的婴幼儿,可通过超声检查筛查髋关节发育不良,而对于成人髋关节发育不良患者来说,临床上最常用的为X线检查,主要表现为髋臼发育浅小,股骨头的负重侧间隙变窄等,必要时进行 CT和MRI检查。

对年轻病人、CroweⅠ和Ⅱ型病人,可采用各种保守治疗,包括减少负重、以车代步、减轻体重、服用非甾体类抗炎镇痛药物、理疗、休息等。髋臼周围、股骨近段旋转截骨术也可有效地改善功能,减轻症状。
在患者出现严重的髋关节疼痛和功能障碍,不能完成基本的日常生活动作时,需要进行人工全髋关节置换术,缓解疼痛,恢复关节活动功能。