文/磁石联盟
全文约:1900 字,阅读时间约为:五分钟
养犬困扰多,还看磁石说。
各位观众大家好,欢迎来到磁石联盟为大家带来的养犬科普。
前言
提起泰迪犬大家都会想到的是毛绒娃娃、泰日天、小可爱之类的萌宠形象;确实,作为贵宾犬的一种造型,泰迪犬作为新手入门犬被许许多多的家庭视为心头肉。

但是您知道吗,泰迪犬包括一些小型犬只有其独特的生理缺陷,有时候这种缺陷甚至需要通过手术来矫正。
这种缺陷就是——髌骨脱位
什么是髌骨脱位
髌骨脱位又称髌骨滑出,指髌骨在膝关节做伸屈运动时突然从滑车沟中脱出,可分内脱位或外脱位,临床上以内脱位多见。
病因分为先天性和后天性:
先天性:一般有膝关节发育缺陷或股骨滑车畸形;股骨远端与胫骨近端排列不良;胫骨近端旋转,使胫骨粗隆向内侧移位,通常是不可复型脱位。
后天性:的诱因多样,但多见于外伤,如跳跃、碰撞导致髌骨内外侧受力不均衡,因剧烈运动使股四头肌强烈牵拉或膝内外侧韧带、膝中直韧带撕裂等原因,一般通过专业治疗可以康复。

幼犬发生髌骨脱位的几率为7. 2% ,为所有先天性缺陷疾病中比率最高的,根据髌骨的位置可分为内侧性和外侧性脱位两种,内侧髌骨脱位多发生于小型品种的犬,外侧脱位在大型犬的发病比例较高。小型犬发生髌骨脱位的几率是大型犬的10~ 12倍,串串犬发生髌骨脱位的几率又比纯种犬低。

髌骨脱位的症状与分级
通过病犬的临床症状及患病成都可以将髌骨脱位分成四级。
★1 级:
大多无临床症状,但将腿伸展时,用手压髌骨则发生脱位,将手松开后髌骨会自然恢复,有时偶见有轻度跳跃式行走。
★2 级:
多数犬在起卧时,因膝关节弯曲,髌骨即发生脱位而患犬经常出现跳跃式破行,但多数可复原。
★3 级:
随着疾病的发展而导致股骨和胫骨变形,支持髌骨的韧带伸展及滑车沟变浅,此时症状更加严重,可出现明显的破行。用手将髌骨复原,当腿弯曲时立即脱出。
★4 级:
随着骨骼的进一步变形,患肢不愿负重,呈卷缩姿势行走。当双后肢均病变时,患犬以蹲坐姿势行走。

髌骨脱位的诊断
★问诊及视诊:对于髌骨脱位的诊断我们需要仔细询问主人该犬在家中的情况,是否有在病症发生前就有预兆,有很多狗狗在正式出现症状前就有比如突发性的跳跃式行走、单脚提起行走、跛行等等。

因为很多犬只在病程初期由于脱位不严重是可以自行恢复的,也有的犬只髌骨脱位是由于受到撞击、磕碰所致,譬如狗狗在家行动时碰撞到桌角或上下楼梯碰到其他坚硬物,这时髌骨会一瞬间滑出滑车沟,犬即刻就会出现跛行情形。
★影像学检查
通过X光线照射可以了解犬只的具体病情,是内侧还是外侧脱出,还可以了解脱出严重程度以各类信息,这是最有效也是最直接的诊断方法,可依此制定最终的确诊方案。
下面就将举一个髌骨脱位的病例来具体说明:
宠物名称:耀耀,品种:泰迪犬,性别:母,年龄:七岁,体重:3kg。
主述:几个月前从桌子上摔下后有单腿跳行的行为,最近发现后肢走路明显跛行,特此就医。
X射线检查:

影像学检查诊断为右后肢髌骨外脱位,与主人协商后决定进行手术。
★手术方案:
对于滑车沟未变浅、胫骨及股骨未发生畸形者:可将脱位对侧的韧带重叠缝合,以紧缩关节囊,使髌骨复位。
对于滑车沟变浅者:应进行滑车再造成形术。对胫骨嵴生长内旋者,可将胫骨嵴移向外移动1 cm~2 cm,并用1 枚~2 枚骨针与手术钢丝固定。
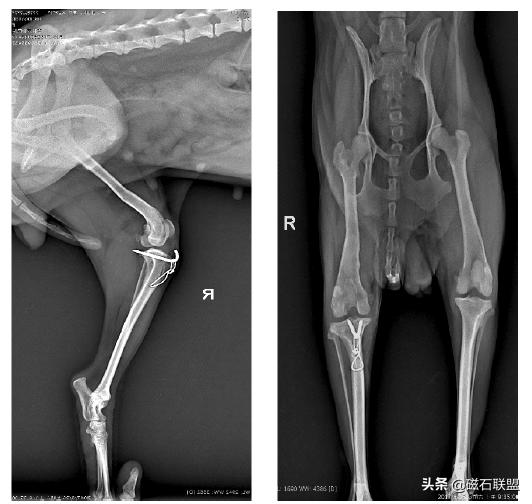
★术后影像

★愈后:
手术后2小时即恢复清醒,一个月后基本恢复正常行走,取出钢针后恢复较为良好。
如何预防、减轻髌骨脱位的情况
由于髌骨脱位是先天缺陷,没有办法能够杜绝,这里磁石给大家几点建议,可以有效减轻髌骨脱位的风险哦~
★不一定要选择纯种犬
纯种犬虽然更“好看”、“好听”,但是纯种犬的生理缺陷也更多、更明显。我们其实可以选择一些优质的串串犬,一样可以保证贵宾的外貌,而且基因更加优良。在选犬上减轻髌骨脱位的风险。

★限制行动,避免上下楼
我们知道,小型犬尤其是泰迪是特别活泼好动的,经常上蹦下跳,其实这样特别容易加快滑车沟的磨损。
尤其是当狗狗进入中老年时期,长期的上下楼、运动可能会加重狗狗的身体负担,引发髌骨脱位导致跛行甚至瘫痪。
我们可以在幼年期就开始限制狗狗的外出、运动时间,在上下楼的时候就辛苦一点,抱狗狗下楼吧~

★避免意外受伤、跌落
前文曾经说到,意外的受伤、撞伤、高处跌落等等一样会造成髌骨脱出甚至骨折等外伤,我们在平时养犬过程中一定要尽可能的避免狗狗在高处活动、从高处坠落。

后记
每一只狗狗都是我们铲屎官的心头肉,谁也不希望到了晚年它还需要经受病痛的折磨。
我们能做到的只有从现在开始,多关注一下它们,避免它们产生意外;让该来的晚点来,不该来的,不要来。
这是我们永远的追求。
