很多患有龋齿的人群,都喜欢拖着不及时处理。到了后面牙齿烂到只剩牙根,出现口臭、饮食不便等实际影响的时候,再去关注。那么这时候,剩下的牙根该怎么办?

烂牙根要怎么处理?
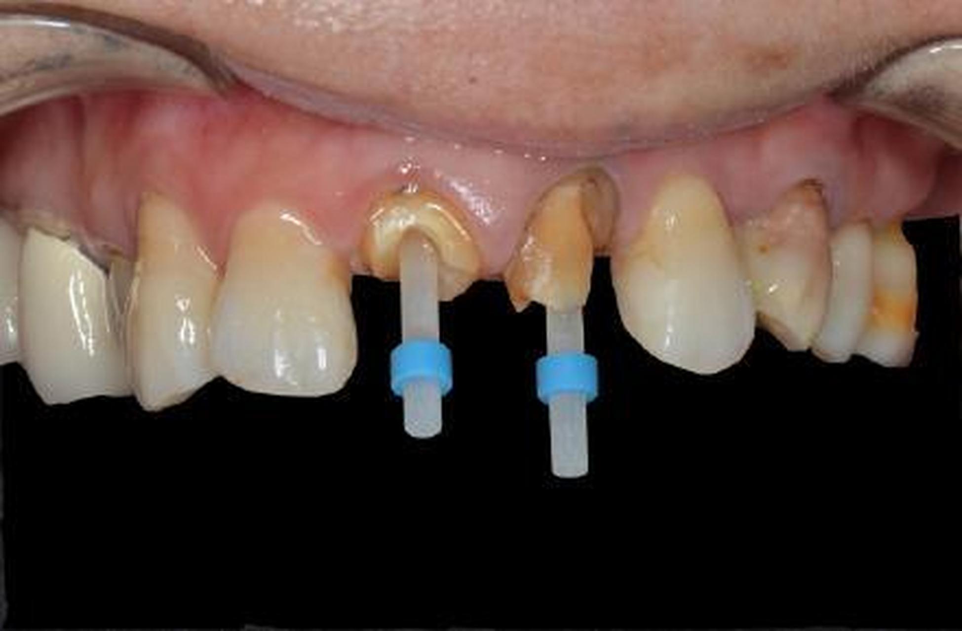
1、保留牙根法
首先,需要医生评估目前的牙根情况、长短,如果可以继续使用的话,可以先进行根管治疗,然后打桩后佩戴牙冠的做法,能够有效恢复牙齿的外观以及正常的功能。

2、牙根拔除法
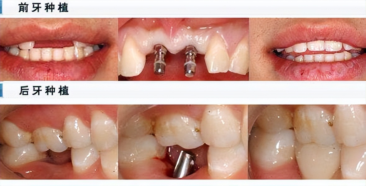
如果牙根无法保留了,建议及时进行拔除后进行缺牙修复。目前临床上常用的缺牙修复有3种,分别是:活动假牙修复、固定连桥冠修复、种植牙修复。
其中,活动假牙我是建议临时使用或者是无法进行固定修复的中老年人使用。

固定连桥冠修复的方式我则建议缺牙处两侧牙齿偏小或者需要戴牙冠的人群选择。

种植牙建议有条件的人群选择,这种修复方式是目前三者种恢复形态、功能最像真牙的缺牙修复方法。
