天气越来越热
“老婆,我头晕眼花。”
“是不是没休息好?”
“我晕得难受、没力气,只想躺着,不想吃饭!”
“难不成是高血压犯了,还是天热中暑啦?”
NO!NO!NO!

还有一种不多见的可能
脑血管变得“烟雾缭绕”
得了 “烟雾病”
这不
今年47岁的李哥(化名)
刚从鬼门关脱险
还给浙江大学医学院附属第一医院
神经外科的专家团队
送上了一面锦旗
烟雾病到底是个什么病?
专家强调
别看名字诗情画意,它却是个致命“狠角色”

“医生,我从不抽烟,为啥大脑会起烟雾?”
今年47岁的李哥来自江西上饶,身高1.74米,体重140斤。他和妻子1997年来杭州打工,一个做木工、一个卖服装,育有3个子女。
李哥木工活做得好,从不缺生意,生活上也十分自律。他不抽烟、少喝酒,前年查出来高血压,一直口服降压药控制。但是多年喜欢重口味的饮食习惯还是改不掉,顿顿必须辣椒酱下饭。
去年7、8月天气炎热,李哥带着老婆回江西老家探亲、休息。一天正午时分,他帮邻居做点木工活计,没做多久就头晕眼花、手脚发麻、四肢无力,但意识非常清醒,被邻居搀扶着送回家躺了躺,当晚又恢复了,李哥以为是中暑,并未放在心上。

但这种类似中暑一样全身无力、软绵绵的情况在日后一发不可收拾,时不时就要对李哥展开“偷袭”。吃饭嗦田螺时用力过猛,他突然 感觉眼前一黑 ,头晕得不行,一屁股坐到地板上;睡觉醒来突然感觉 半边身体麻麻的 ,好长时间缓不过来……不仅如此,他年纪轻轻记性却越来越差、反应也比原来慢半拍。
前不久,李哥在干活时 突然头晕 ,“当时正在给一户人家做榻榻米。”他说道,坐在地板上、他感觉天旋地转,抱着头缓了好一阵子才恢复过来。结果在回家路上,骑电瓶车时又晕了起来,人直接歪倒在地,好在只是皮外伤,但是李哥说话却开始 语序混乱、颠三倒四了 。

李哥的大女儿觉得父亲的病不能再拖了,立即将帮他预约了浙大一院神经内科的专家门诊。做完系统检查后,检查结果令他们全家“懵”了——除了高血压,李哥被诊断为“缺血型烟雾病”。李哥不禁疑惑:“我从不抽烟,怎么会得烟雾病?”
脑血管闭塞是主要表现,外科手术是最佳治疗方案
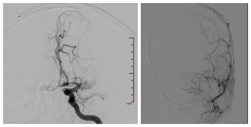
接诊的神经内科徐子奇副主任医师向李哥进一步解释:“烟雾病和抽烟没什么关系,烟雾病有两种情况,一种是先天发育所致,颅底血管的发育畸形,它没有病因,可能跟基因突变有关;另一种则是继发动脉硬化等疾病的烟雾病,又称为烟雾综合征。无论先天还是后天,作为一种脑血管疾病,是由于供应大脑血液的脑内大血管缓慢的狭窄闭塞,病变部位局部出现了代偿性扩张的新生小血管,在脑血管造影时,呈现出许多密集的小血管影, 形似吸烟吐出的烟雾 ,所以命名为烟雾病。” 很多人常不以为意的头晕眼花、手脚无力甚至是失语症,其实都是这种病放出的“烟雾弹”,都属于它的典型症状。

病情复杂,神经外科刘文超副主任医师参加了对李哥的会诊。专家仔细阅读了患者的脑血管造影图片,发现双侧颈内动脉末端均有典型的闭塞表现,颅底有弥漫性的烟雾样新生血管,结合患者的症状和头颅血管CT灌注成像结果进一步明确了“ 缺血型烟雾病” 的诊断。
刘文超副主任医师告知患者家属, 目前没有明确的药物能够逆转烟雾病的进展 ,李哥的脑缺血症状已经逐渐加重,如果不及时进行脑血管搭桥手术,不仅无法缓解李哥的头痛头晕、认知功能下降,李哥还 随时面临着脑缺血 和 脑梗死 的风险。紧接着,患者转入神经外科潘剑威主任医师的团队进行手术。
潘剑威主任医师介绍,烟雾病又叫Moyamoya病,根据症状分为出血型和缺血型, 患者很难通过药物缓解病症 , 最有效的方式就是通过外科手术解决 。目前,脑部血管搭桥是治疗烟雾病唯一有效的治疗方法,主要目的是把颅外的血供引流到颅内去,一方面改善脑缺血症状,也能缓解烟雾血管的出血风险,而脑血管搭桥手术又分为直接搭桥和间接搭桥, 直接搭桥 是把颅外头皮上的血管分离后直接吻合到脑组织里的血管上, 间接搭桥 是把头皮上富含血供的颞肌从颅骨表面剥离后,贴敷到大脑表面。

李哥脑部的供血显示
潘剑威主任医师团队综合评估后发现,李哥左侧额颞叶缺血最为严重,而这个部位也是 负责说话和右侧手脚活动的大脑最主要功能区 ,于是潘剑威主任医师为患者制定了符合他的个性化手术方案:左侧大脑半球直接搭桥和间接搭桥一起做。其目的在于,通过最优化的治疗路径,让患者颅内血管工作更顺畅,更科学,更安全。
5月下旬,浙大一院神经外科血管组潘剑威和刘文超医生为李哥开展了搭桥手术,用一根比头发丝儿还细的针线把直径仅仅1mm左右的大脑中动脉和颞浅动脉作了端侧吻合,同时还作了颞肌贴附手术,为李哥的脑组织血供提供了双保险。一周后,李哥说话不利索、头晕的情况明显好转。复查发现左侧大脑半球的血流量大大提高了,通过治疗一根细小的脑血管挽救了整个家庭。

生活中,出现哪类些症状要警惕烟雾病?
浙大一院神经外科主任詹仁雅教授为我们打了一个形象的比喻,如果将大脑的神经元比作庄稼,神经胶质组织就好比土壤,而脑血管就像是水渠。如果水渠逐渐淤塞,庄稼就会缺水,逐渐枯萎(缺血),严重时甚至直接枯死(梗死),这就是烟雾病引起脑缺血和脑梗死的过程。但是人体的大脑也很“聪明”,主渠道淤塞了,会自动地开辟一些细小的“副渠道”缓解下游的“旱情”,于是就在血管造影里面看到的 “烟雾状血管” 。

但是,这些烟雾状血管壁是很薄的,容易破裂出血。一旦破裂出血,就会引起脑子里的“洪涝灾害”,一样可以淹死庄稼,影响神经功能。
所以烟雾病的危害极大,严重者会出现生命危险,危害主要体现在大脑缺血和出血两个方面,大脑缺血(旱灾)的症状主要有短暂性脑缺血发作、脑梗死、偏瘫、癫痫等;大脑出血(涝灾)相关症状包括脑出血、头痛、呕吐、意识障碍等。

头晕不是老年人的“专利”, 年轻人的头晕更应该引起重视 ,烟雾病虽然发病率不高,但主要集中在东亚国家(根据流行病学研究,在日本和韩国MMD的发病率分别为0.94/100000和2.3/100000人)。
它有一定的 家族聚集性 ,通常和 基因遗传 相关,近年来在我国的发病率和患病率有逐渐上升的趋势,好发于儿童和青壮年。发病年龄呈明显的双峰分布,第一次高峰出现在5岁左右,第二次高峰出现在40岁左右。
那么,当身体发出以下这些警告,特别是儿童和青壮年尤其要注意,有可能是烟雾病正在对你的身体发出信号:
01
走路时瞬间腿没力气站不稳摔倒了
02
谈笑风生的时候突然说不出话来
03
劳累后常常半侧肢体或者一只手麻木
04
不明原因频繁、进展性加重的头晕、头痛
05
突然不认识字、看不懂钟表或叫不出熟悉人的名字