
图片来源网络
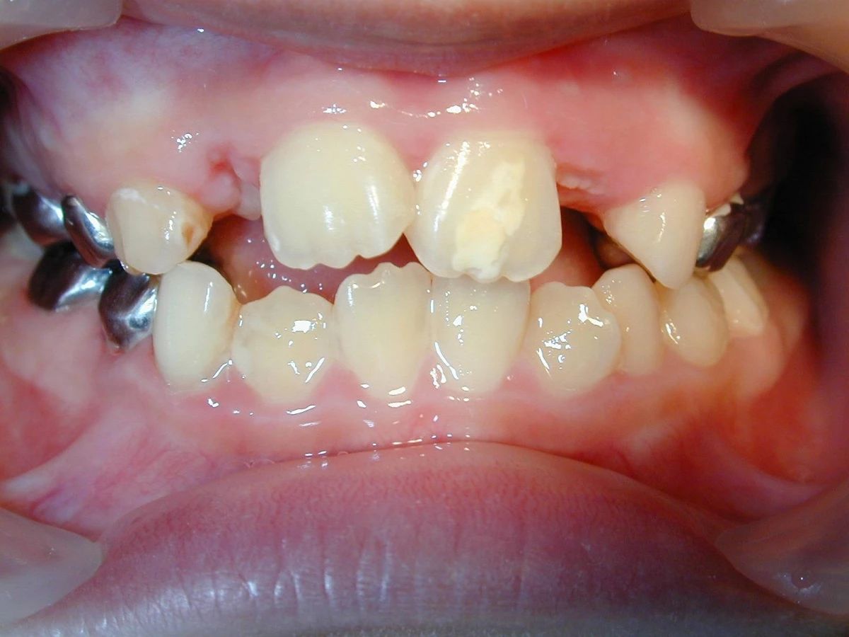
在牙科门诊里,有时会碰到一些妈妈来问:“娃娃换牙后,牙齿表面有黄白色的斑点,坑坑洼洼的不好看,这是怎么回事?”通常牙医会考虑是牙齿钙化不良,然后妈妈就会问吃钙片可以解决不?
其实大多数妈妈都不知道,孩子的牙齿发育主要有3个阶段:生长期、钙化期、萌出期。由此可见,早在孩子牙齿萌出之前,牙齿的钙化就已经基本完成。

图片来源网络
钙是牙齿发育过程中的重要元素,钙化度高,牙齿的抗龋坏能力就越强,反之就容易被细菌侵蚀而诱发龋齿。由于牙齿在萌出之前就已经基本完成钙化过程,所以等牙齿萌出后再大量口服钙片、补充维生素D之类的效果也是微乎其微,反而可能给身体带来巨大的负担。

图片来源网络
所以,在女性怀孕期间以及孩子出生后1年左右,家长就应该注意补充钙、磷、维生素等,以防孩子在萌出牙齿后出现钙化不良的情况。
一些孩子因为消化道疾病、肺炎、肾炎等会直接影响牙齿的生长发育,导致牙齿钙化不良,对于这一类孩子,应该加紧治疗全身性疾病。

图片来源网络
已经出现钙化不良的孩子容易发生龋齿,因此家长应该及时带孩子去看牙医,及时治疗;此外,乳牙的慢性根尖炎症及牙齿外伤也会影响恒牙釉质钙化形成,所以即使乳牙出现了问题,也应该带孩子去检查治疗。
不仅如此,孩子在日常生活中还应该养成“早晚刷牙,饭后漱口”的习惯,少喝或不喝碳酸饮料,合理使用含氟牙膏,在确诊病因之前先不要盲目补钙。
【关注微信公众号:cdzhkq,幸福生活,从齿开始~】