今天给大家分享一些磨玻璃肺结节,重点是手术时机的把握,希望对某些受磨玻璃肺结节困扰的朋友有启发。
病例1,磨玻璃肺结节1.1cm,微浸润腺癌
这是一位49岁男子,体检发现磨玻璃肺结节3个月,长径1.1cm,结节内可见血管穿行:

细看中间图,蓝色箭头处有个黑色小空泡征,别紧张,这是一支小气管的断面,通过右图绿色箭头可以看到,黑色树枝状的小气管贴着磨玻璃结节的边缘路过。
一般来说,纯的磨玻璃结节不会转移,切除后不复发,年轻人>1.0cm可以考虑手术切除,老年人可以放宽到1.5cm(注意,这里指的是纯磨玻璃结节)。
这位男子比较年轻,随访3个月结节没有明显变化,选择胸腔镜手术楔形切除,病理是微浸润腺癌,手术费用5万多,报销大约50%。这个手术费用,不同地区存在一定差异。
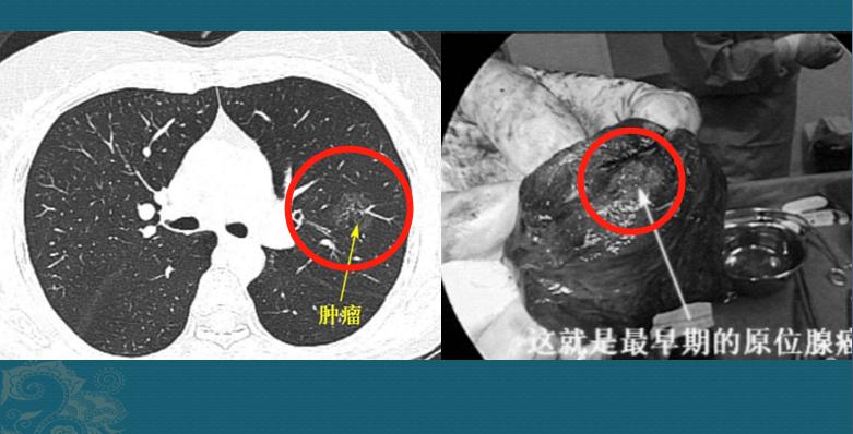
病例2,磨玻璃结节2.6cm,原位腺癌
这是一位50多岁的女士,体检发现左肺磨玻璃结节,2.6cm手术病理原位腺癌:

朋友们没看错,2.6cm,原位癌,≤3cm,癌细胞完全贴壁生长,无间质、血管和胸膜浸润;如果肿瘤被完整切除,5年生存率为100%。
当然了,有时候即使在显微镜下仔细观察病理,也难以区分某些原位癌(AIS)和微浸润癌(MIA),但治疗效果是一样的。
有个知识点要注意,纯磨玻璃结节如果>3.0cm,不属于微浸润,要归类于浸润性腺癌,分期为T1a。如下图:

本图片来自山东肿瘤医院黄勇教授
这是一位49岁男子,体检发现右肺纯磨玻璃结节,边界清晰,形态不规则,最大径3.9cm,浸润性腺癌,影像分期属于T1a。
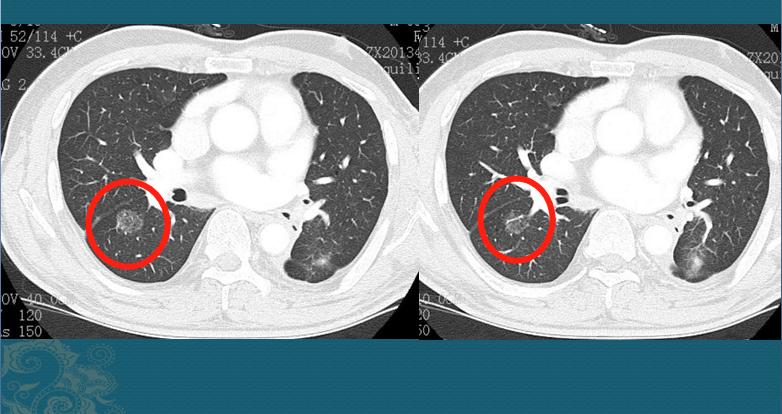
病例3,肺结节9mm,微浸润腺癌
这是一位45岁女士,体检发现3mm微结节,8个月后复查,增大到9mm,我们知道,随访增大的磨玻璃结节要列入高危结节,治疗应更积极一点,她做了胸腔镜楔形切除手术,病理是微浸润腺癌:

纯磨玻璃肺结节,大多数生长缓慢,属于惰性病灶。但确实有上图这种比较擅长短跑的结节,所以对于首次发现的肺结节,第一次复查间隔都要短一点(3-6个月),避免错过!一般一年内发现增大超过2mm的纯磨玻璃结节,多为微浸润腺癌。如下图:

本病例来自山东肿瘤医院黄勇教授
这位女士左下肺磨玻璃结节,9个月的时间增大了3mm,手术病理是微浸润腺癌,已经治愈!
好,看到这里,想必有些朋友会说,磨玻璃肺结节生长速度不一致,何不积极一点,发现了就开刀切除以免后患不是更好?
别忘了,磨玻璃肺结节也有良性的!花了钱,少了肺,结果是个良性的,冤不冤?冤啊!我们最后举个例子:
病例4,磨玻璃结节2cm,炎性结节
这是一位59岁男子,体检发现右肺磨玻璃结节,可见血管穿行,医生建议随访观察一下,他太紧张,左邻右舍还有网上的各种肺结节信息了解一大通后,强烈要求手术,结果开出来是个良性的炎性结节:

虽然也是有惊无险,毕竟花了钱,还少了一小片肺脏,有点亏。这类良性的肺结节,并不少见!
简单总结:
豪大夫最近收到很多读者留言咨询磨玻璃肺结节,有些胆子偏小的朋友总想早一点手术开掉,以免夜长梦多。
别慌,这几年随螺旋CT的广泛普及,对肺结节的研究也越来越深入和规范,影像专家和胸外科专家们指定了规范的指南,并广泛推广,大家尽量多听从当地医生的指导即可。总的原则是,既要揪出生长速度快的坏结节,也不能错杀良性结节,以免费钱还伤身。

我是影像科豪大夫,分享小病例,传递正能量,欢迎关注!
#超能健康团# #湖南医聊超能团# #清风计划#