
草皮趾是脚趾的极端创伤性背屈(过度背伸)损伤,导致跖板损伤,表现为第一跖趾关节(MTP)的关节囊韧带复合体扭伤或完全撕裂,关节不受限制的运动。
草皮趾常见于运动性损伤,见于橄榄球,足球、棒球等在草皮上的竞技运动项目受伤,故名草皮趾,特别是在人造草皮上,但在篮球等运动中也经常发生。
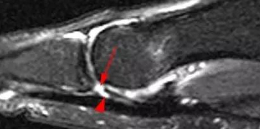
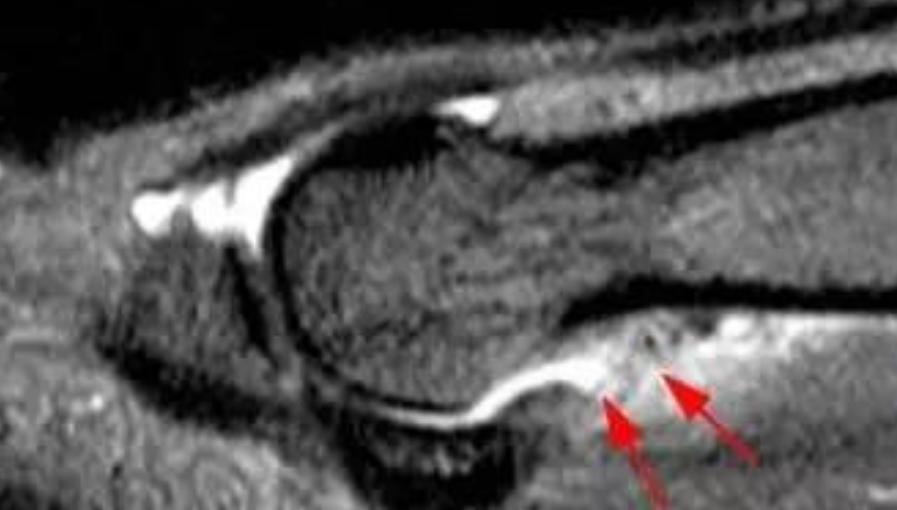
当足处于马蹄样状态,第1跖趾关节背伸时,向足跟方向的轴向负荷可造成该损伤。该损伤可导致足趾强烈背伸和向远端的牵伸,导致跖侧韧带和关节囊在跖骨颈处的损伤。相关的在第1跖骨头、近节蹲趾趾骨关节面的软骨损伤,也并不少见。有时会导致足趾的背伸脱位。
症状
在第1跖趾关节内侧和跖内侧的疼痛、瘀斑、肿胀最为常见。
对患趾病史询问和体格检查对诊断至关重要。医师需要对第1跖趾关节的肿胀、瘀斑、畸形进行详细检查。对关节背侧、跖侧关节需要进行触诊检查。并且通过内外翻应力试验和前后方的抽屉实验来检查关节的稳定性。另外还应该检查关节的活动度。背伸时的阻力减少也表明了跖侧结构的损伤。对蹲趾背伸、跖屈力量的评估可帮助检测相关的韧带。现在用MRI来评估草皮趾的损伤程度已越来越常见。


Anderson将草皮趾分为3级,对手术和非手术治疗的运动终止时间给出了相关推荐建议。1、2级损伤建议非手术治疗,3级损伤考虑手术治疗。
治疗:
保守和手术治疗(入路、技术、风险、后期治疗)各级损伤的初始治疗都是休息、冰敷、加压、评估和使用抗炎药物来减轻肿胀和疼痛。胶带或鞋的保护可持续到恢复体育活动,这个过程可持续到伤后6个月。我们根据分级来决定治疗措施。
1级损伤是指第一跖趾关节囊韧带复合体结构的牵拉或轻度撕裂,一般可以忍受疼痛,治疗需要制动,患足免负重2周。
2级损伤是第一跖趾关节足底关节囊韧带复合体的部分断裂,应用支具和石膏固定需要3周左右才能恢复。
3级损伤是第一跖趾关节足底关节囊韧带复合体的完全断裂,治疗需要10周左右的时间恢复,部分需要手术治疗。
总体来说草皮趾治疗效果并不满意,常见的并发症跨趾跖趾关节疼痛和关节僵硬。所以强调早期诊断和正确评估有利于帮助恢复功能。
预防
由于草皮趾的发生和人工草皮增加了表面摩擦、柔软轻便的鞋增加活动密切相关,因此避免这些因素是防止发生草皮趾的最好办法]。当然,继续这些高风险运动而设计增加前足稳定性的鞋是另一种预防办法。