张珊(化名),女,62岁,因“左侧臀部疼痛1天,发现盆腔包块半天”入院。
超声检查:
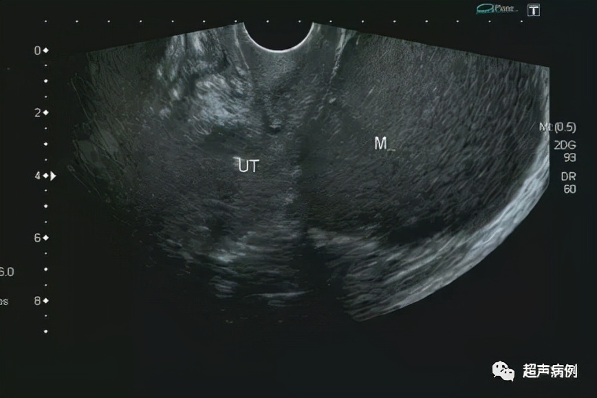
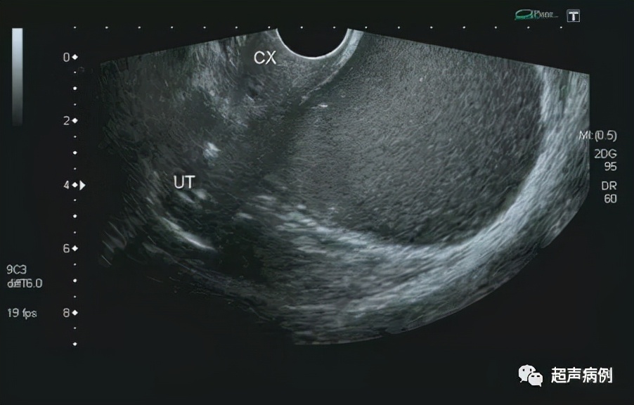
前位子宫,形态、大小正常
在子宫后方盆腔内查见一约10.4x9.7x7.3cm无回声区

形态规则,边界清楚,内透声差,呈毛玻璃样改变

内可见强回声分隔

CDFI:该无回声区内部及周边未见明显血流信号。
双侧卵巢显示不清。

病理诊断:卵巢囊性成熟性畸胎瘤

卵巢囊性成熟性畸胎瘤
畸胎瘤来源于原始生殖细胞,具有向体分化的潜能,由多胚层构成 ,偶见只含一个胚层成分,肿瘤组织多数成熟,少数未成熟;多数为囊性,少数为实性。
多发于卵巢,其次为*丸睾**,原发于性腺以外的畸胎瘤特别是沿人体中轴线的纵隔、腹膜后、骶尾部、胃肠道等部位少见。

按声像图特征分为六种类型。
1、类囊肿型:有完整光滑的包膜,内为液性无回声区。
2、类实质型:囊内充满均质点状回声,很难找到液性无回声区,边缘清楚光滑。
3、囊内面团征:囊内出现一个或多个强回声团,多为圆形,也有不规则形,可以贴附于囊壁上强回声后方声衰减。
4、囊内发团征:囊壁光滑,囊内可见圆形强回声团,其后方衰减并伴有明显声影。
5、囊内脂液分层征:囊内均匀或不均匀细小光点回声,光点密集时可漂浮在囊肿前部后部为无回声,呈明显的脂液分层状移动后二者相混。
6、囊内杂乱征:囊内见光点光斑光团伴有明显的声衰减或构成杂乱回声。

参考资料:
卵巢囊性成熟性畸胎瘤超声显像手术标本剖视与病理诊断对照研究,孙国英,王绍文等