患者女,30岁,陕西省洛川县人。
一、李小勇脑脊液中心入院前病史
患者于2020年4月2日,在公司上班时突发头痛呕吐,急诊至陕西省西安市某二级医院,急诊查头颅CT检查示右顶叶脑出血破入脑室( 图-1 ),全脑血管造影示脑血管畸形(片子丢失);进行了开颅脑血管畸形切除术+去骨板减压术,术中留置引流外管;术后当天转入ICU继续治疗。

图-1: 2020年4月2日头颅CT
开颅术后次日即2020年4月3日,意识恢复,可简单言语,但左侧肢体偏瘫,仅可在床面平移,伴发热体温最高39.0℃;复查头颅CT示开颅术后去骨瓣状态,出血有减少,引流术后状态( 图-2 )。

图-2: 2020年4月3日头颅CT
开颅术后第2天即2020年4月4日,仍发热,给予腰椎穿刺释放血性脑脊液。
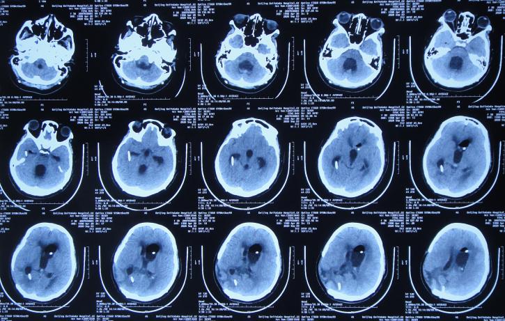
开颅术后第3天即2020年4月5日,因出血明显减少,拔除了脑室外引流管( 图-3 )。

图-3: 2020年4月5日头颅CT
开颅术后6天即2020年4月8日,因病情变稳定,由ICU转入普通病房,但仍每天间断发热。
开颅术后8天即2020年4月10日,患者出现骨窗脑组织膨出,仍间断发热,给予第1次腰大池置管引流术,每日引*脑流**脊液100-150ml,腰大池引流5天时间内,脑脊液引流管内出现絮状物。
开颅术后14天即2020年4月16日(腰大池引流术后6天),脑脊液细菌培养结果示肺炎克雷伯菌,对头孢曲松、头孢他啶及美罗培南等敏感,给予头孢曲松抗感染治疗。
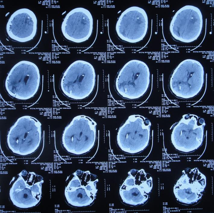
开颅术后15天即2020年4月17日(腰大池引流术后7天),查头颅CT示仍脑膨出( 图-4 ),因腰大池引流管堵塞,给予拔除并第2次重新置换腰大池。

图-4: 2020年4月17日头颅CT
第2次重新置换腰大池引流管后3天即2020年4月20日(开颅术后18天,腰大池持续引流10天),腰大池引流管再次脱出,于是第3次重新放置腰大池引流管。
第3次重新放置腰大池引流管后3天即2020年4月23日(开颅术后21天,腰大池持续引流13天),引流管第4次脱出,因仍间断发热改为每日腰穿1次,并鞘内注射药物。
开颅术后26天2020年4月28日(腰大池引流管第4次脱出后5天),复查头颅CT发现幕上脑室系统扩张( 图-5 );但因患者症状好转,可在搀扶下独立行走,未予处理。

图-5: 2020年4月28日头颅CT
开颅术后29天2020年5月1日(腰大池引流管第4次脱出后8天),发热症状变基本正常,在该院进行康复锻炼。
开颅术后40天2020年5月12日(腰大池引流管第4次脱出后19天),复查头颅CT示脑室持续扩大,轻度脑膨出( 图-6 )。

图-6: 2020年5月12日头颅CT
开颅术后49天2020年5月21日(腰大池引流管第4次脱出后28天),患者间断出现呕吐,骨窗脑组织膨出较前增加,复查头颅CT示脑积水脑膨出进一步加重( 图-7 )。医生建议转入上级的医院进行脑室腹腔分流术。

图-7: 2020年5月21日头颅CT
2020年5月28日(开颅术后56天),转住入上级的第二家陕西省某三甲医院,但住院8天时间内,3次化验脑脊液示蛋白高达700-800mg,无法进行脑室腹腔分流手术。
开颅术后64天即2020年6月5日(第二家医院治疗7天),因床位紧张于是第2次转回之前的第一家医院,继续间断行腰椎穿刺相关治疗。
2020年6月18日(开颅术后77天),虽化验脑脊液指标正常,但腰穿放液后出现头痛呕吐;复查头颅CT示幕上下脑室系统均扩张明显,脑膨出更重( 图-8 )。

图-8: 2020年6月18日头颅CT
2020年6月21日(开颅术后80天),病情变重:言语变少,左侧肢体活动变差且无法下地行走,查头颅MRI示脑积水脑膨出变更严重( 图-9 )。

图-9: 2020年6月21日头颅MRI
2020年6月23日(开颅术后82天),上午10点左右,出现意识变差,频繁头痛呕吐,急诊第2次转回第二家医院省级某三甲医院,查头颅MRI( 图-10 ),后急诊进行了左侧脑室外引流术。

图-10: 2020年6月23日头颅MRI
术后当天复查头颅CT发现左右侧脑室不通( 图-11 )。

图-11: 2020年6月23日头颅CT
2020年6月24日(开颅术后83天),进行了脑室镜下侧脑室造瘘术+三脑室底造瘘术。
造瘘术后次日即2020年6月25日,意识清楚,可配合眨眼。可简单言语,但仍左侧肢体活动障碍伴间断发热39.4℃,查头颅CT示骨窗张力明显减低( 图-12 )。

图-12: 2020年6月25日头颅CT
脑室镜下侧脑室造瘘术+三脑室底造瘘术后继续治疗10天时间内,3次复查头颅CT和MRI( 图-13、图-14、图-15 )脑室仍扩张,意识仍模糊,期间关闭脑室外引流管数小时后患者仍出现昏迷,且脑室扩大。

图-13: 2020年6月28日头颅CT

图-14: 2020年6月28日头颅MRI

图-15: 2020年7月1日头颅CT
经该院神经外科医生介绍后转至北京的李小勇脑脊液中心。
二、李小勇脑脊液中心治疗过程和结果
2020年7月5日(开颅术后外院两家医院治疗3个月仍无效)转至李小勇脑脊液中心。
入院时:意识模糊,可简单言语,鼻饲管固定在位,查体无法配合,刺痛后双下肢能动但双上肢更差:右侧肢体肌力偏瘫Ⅱ级,左侧肢体肌力偏瘫Ⅰ级,肌张力稍高;右颞顶部颅骨缺失,脑组织膨出,,左侧额部可见一外引流管,引流淡血性脑脊液,( 图-16 )。

图-16: 入院时
入院当天复查头颅CT示脑血管畸形术后改变,脑积水引流术后,脑膨出,右侧颞枕顶叶及左侧额叶脑水肿,严重脑室粘连( 图-17 );胸部CT示双肺肺炎(片子丢失)。

图-17: 2020年7月5日头颅CT
入院次日即2020年7月6日,进行了颞角外引流术,术后当天复查头颅CT示脑室内有2根管( 图-18 ), 脑脊液细菌培养示肺炎克雷伯菌(仍是外院开颅术后14天时查出的细菌,说明之前的细菌一直并未彻底消灭)。

图-18: 2020年7月6日头颅CT
入院治疗2天即2020年7月7日,仍意识模糊,不能遵嘱活动( 图-19 ),两侧引流袋引流出脑脊液颜色不同(脑室粘连不通)。

图-19: 2020年7月7日两侧引流袋脑脊液颜色不同
入院治疗3天即2020年7月8日,复查头颅CT示脑膨出减轻,但颞角仍扩张,有水肿( 图-20 ),肺片较入院时感染有减轻( 图-21 )。

图-20: 2020年7月8日头颅CT

图-21: 2020年7月8日肺片
入院治疗4天即2020年7月9日,病情有好转:意识变清楚,简单问答切题,双上肢还能遵嘱动,但抬不起( 图-22 )。

图-22: 2020年7月9日上肢能遵嘱动
入院治疗8天即2020年7月13日,两侧引流袋脑脊液一侧浑浊量多,一侧清亮量少( 图-23 )。

图-23: 2020年7月13日
入院治疗11天即2020年7月16日,病情又有好转:能主动与医生握手,入院时右侧肢体肌力偏瘫Ⅱ级和左侧肢体肌力偏瘫Ⅰ级的双下肢改善问能遵嘱弯曲和伸直( 图-24 );查头颅CT示脑室缩小,脑膨出消失,水肿进一步减轻( 图-25 )。

图-24: 2020年7月16日双下肢能遵嘱活动

图-25: 2020年7月16日头颅CT
入院治疗25天即2020年7月30日,进行了脑室外引流术,术后次日即2020年7月31日,查头颅CT示脑积水术后状态( 图-26 )。

图-26: 2020年7月31日头颅CT
入院治疗35天即2020年8月10日,复查头颅CT示左侧额角,第四脑室稍有扩大( 图-27 ),多次复查脑脊液细菌已彻底消失。

图-27: 2020年8月10日头颅CT
入院治疗40天即2020年8月15日,精神变差,呈嗜睡状态,食纳差,左侧额角引流管不通畅,骨窗压力高,复查头颅CT示左侧脑室及三脑室,第四脑室扩张( 图-28 )。

图-28: 2020年8月15日头颅CT
当天进行了脑室腹壁外引流管调整术,术后当天查头颅CT示脑室再次缩小( 图-29 )。

图-29: 2020年8月15日头颅CT
入院治疗42天即2020年8月17日,查头颅CT示水肿减轻,但侧脑室,第四脑室仍稍大( 图-30 ),但两侧的脑脊液颜色变透明清亮( 图-31 )。

图-30: 2020年8月17日头颅CT

图-31: 2020年8月17日
入院治疗54天即2020年8月29日,查头颅CT侧脑室,第四脑室仍有扩张( 图-32 )。

图-32: 2020年8月29日头颅CT
入院治疗59天即2020年9月3日,患者再次呈嗜睡状态,侧脑室腹壁外引流管引流不畅( 图-33 ),通管无效,考虑堵管。

图-33: 2020年9月3日头颅CT
当天急诊进行了脑室腹壁外引流管调整术( 图-34 )。

图-34: 2020年9月3日头颅CT
入院治疗63天即2020年9月7日,查头颅CT示骨窗变塌陷,脑室缩小,脑水肿变基本正常( 图-35 )。

图-35: 2020年9月7日头颅CT
入院治疗85天即2020年9月29日,进行了颅骨修补术,术后当天查头颅CT示颅骨修补术后状态( 图-36 )。

图-36: 2020年9月29日头颅CT
入院治疗112天即2020年10月26日,进行了脑室腹腔分流术,术后查头颅CT示脑室分流术后状态,有水肿( 图-37 )。

图-37: 2020年10月26日头颅CT
入院治疗117天即2020年10月31日,查头颅CT示水肿基本消失( 图-38 )。

图-38: 2020年10月31日头颅CT
入院治疗125天即2020年11月8日出院,出院时:病情好转为:意识清楚,能简单言语,能坐轮椅,四肢能遵嘱活动,但反应慢,不能自己吃饭,不能站立;查头颅CT示未见异常( 图-39 )。

图-39: 2020年11月8日出院时
三、出院后随访
出院后60天即2021年1月7日,微信随访家属发来视频:身体进一步改善,能自己吃饭了,言语变多,且能自己站立一会,反应也变快( 图-40 )。

图-40: 2021年1月7日能自己吃饭
出院后65天即2021年1月12日,家属再次发来视频:已能自己独立走路( 图-41 )。

图-41: 2021年1月12日能自己走路
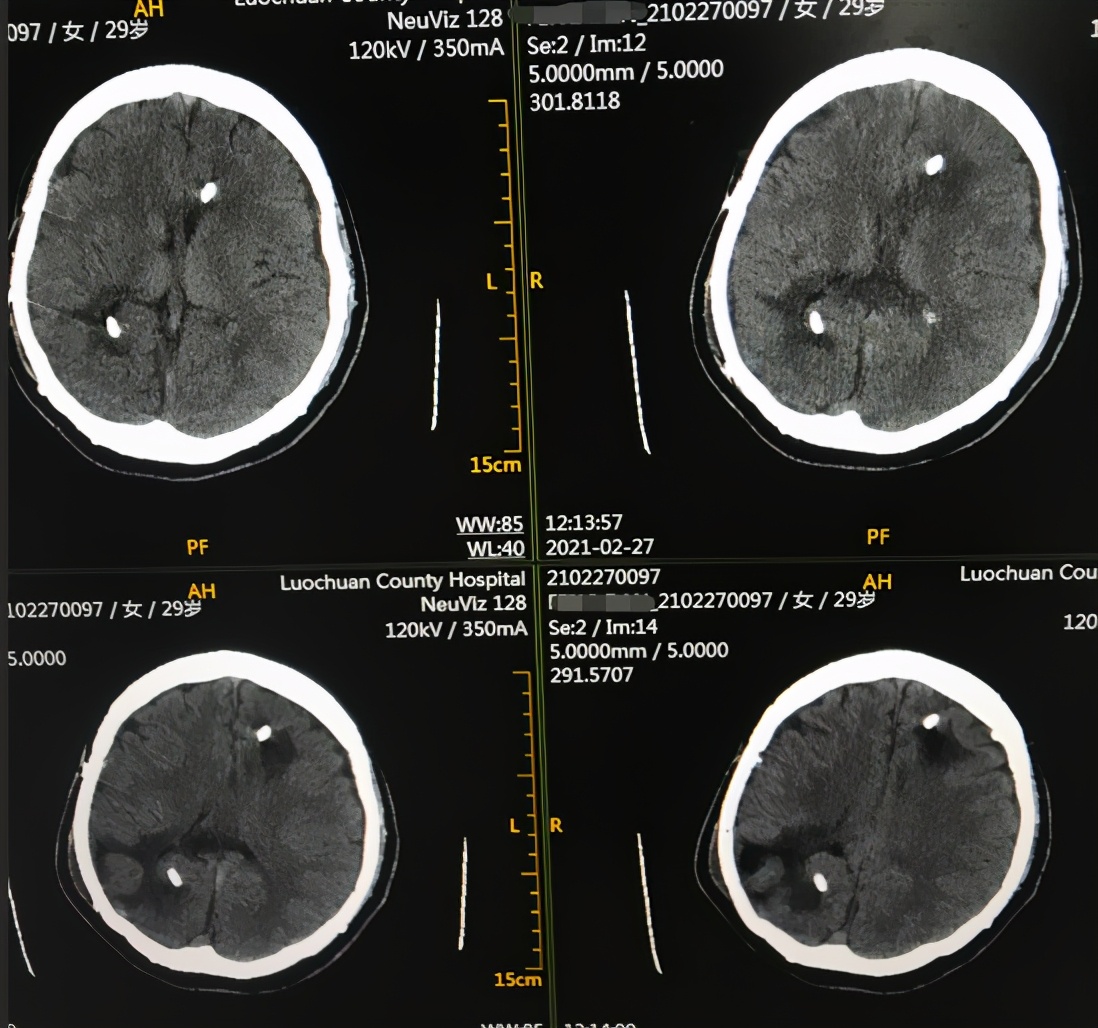
出院后111天即2021年2月27日,家属欢喜地发来视频:言语交流变正常,身体不断变好本人心情也常常很愉悦,时常自己唱歌( 图-42 ),当地医院查头颅CT未见异常( 图-43 )。

图-42: 2021年2月时常自己唱歌

图-43: 2021年2月27日头颅CT
出院后124天(4月余)即2021年3月12日,家属再次欢喜地发来视频:走路基本正常,言语交流变正常,且能做家务( 图-44 )。

图-44: 2021年3月12日身体基本正常
(完)