【提要】最近我们接诊了一位重度扁平胸患者。患者男性,20岁,前胸壁极度扁平,正常胸廓弧度消失。扁平胸患者经常合并肺大泡,这样的患者需要同时解决两个问题,不仅完成胸廓畸形的矫正,而且要消除导致气胸的隐患。

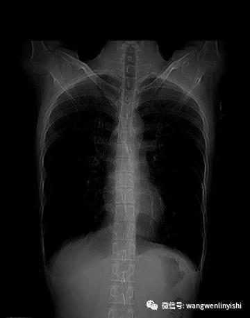
最近我们接诊了一位重度扁平胸患者。患者男性,20岁,前胸壁极度扁平,正常胸廓弧度消失。侧面看前后胸壁间距离明显缩短,且上下一致,脊柱生理弯曲消失,合并直背综合征。X线检查正位片提示胸廓较宽,肋骨水平;侧位片提示胸壁前后径缩短,胸骨与脊柱近似平行,生理弯曲消失,心脏和肺明显受压。

(X线正位片)

(X线侧位片)
此患者特征明显,诊断清楚,有明确的手术指征,需要手术治疗。这样的患者其实非常常见,由于危害明确,需要尽早手术治疗。但扁平胸手术的现状却不容乐观。很多人想当然地以为,扁平胸可以通过NUSS手术完成治疗。这其实是一种非常天真的想法,因为根本不懂NUSS手术操作的原理。我们在临床中遇到过很多扁平胸手术失败的案例,都是盲目实施NUSS手术造成的悲剧。
扁平胸如何才能矫形成功呢?关于手术技术的问题这里不赘述,在我们以往的文章中做过很多的介绍,有兴趣的朋友自己可以查阅。这里想谈的是合并症的处理问题。扁平胸经常合并一种特殊的肺部疾病,即肺大泡。肺大泡相当于一个小的气球,外表有很薄的膜,其中充满气体,泡的内部有小的气体通道与大气道相连。肺大泡本身非常脆弱,一旦破裂,将有大量气体进入胸腔,导致自发性气胸。气胸发生时,正常肺组织受到压迫,此时要想将外界的空气吸到肺内非常困难。空气进不去肺里,人就会缺氧,甚至可能窒息。
在很多人眼里,扁平胸本身不是严重的问题,即便合并了肺大泡也并不被认为是太严重的问题,但肺大泡一旦破裂问题就大了。此时患者面临的头等大事就是呼吸问题。呼吸问题得不到解决,人会分分钟窒息。窒息的感受和结果大家都知道,而此时再想重视可能就为时已晚了。尤其当患者在出差途中、在边远地区无法得到专业救治的时候,恐怕就真的危险了。这样的危险其实很多人都遇到过,其中的滋味谁遇到谁知道。
由此可以看出,对于扁平胸患者来说,胸廓自身的问题需要解决,合并肺大泡的问题更应该解决。这便为手术提出了更高的要求。理想的方法当然是同时完成两个问题的手术,这无疑为手术提出了更高的要求。
上述的患者是严重的扁平胸,我们尚未看到其CT检查的结果,但几乎可以肯定的是,肺大泡一定是存在的。对于这样的患者,我们常规的做法是先做肺大泡手术,同期完成扁平胸矫正。愿更多的扁平胸患者能得到合理的必要的满意的一期治疗,不仅让自己的胸部看起来更好看,更重要的是将肺内的“定时*弹炸**”彻底消除。
(王文林,广东省第二人民医院胸壁外科主任,微信:wangwenlinzhuren;公众号《胸廓畸形手术专家》:wangwenlinyishi)