你被医生“过度检查”过吗?“过度检查”真的普遍吗?我们如何界定“过度医疗”和必要检查?
老中医看病只需“望、闻、问、切”就能开方抓药;如今的医生诊断疾病却需要大量的检查和化验,尤其是一些新型检查项目往往价格不菲。这些检查是真有必要?还是“过度医疗”?我们普通人往往很难区分。
今天,张医生和大家聊一聊自己遇到的“过度检查”:
一、高血压患者竟然是“脑出血”?!
一位年仅30多岁的患者,因为高血压药物控制不佳前来看病。
该患者发现血压升高3年,最高可达190/100mmHg,平时间断口服硝苯地平缓释片,血压多在150/90mmHg左右。最近1周血压出现波动,吃药也难以控制,并且出现头晕的症状。

对于很多人来说,高血压只要吃吃降压药就好了。但是我们依然建议该患者住院。入院后我们并没有急于降压,而是优先安排了一系列检查,比如肾血管超声、肾上腺CT,除此以外又进行了头CT、头颈血管核磁等检查,仅这些项目就需要花费2000多元。
- 1.为何治疗高血压要需要进行这么多检查?
高血压在降压之前首先要明确病因。
高血压分两类:原发性高血压和继发性高血压。原发性高血压是由于年龄及各种不良因素导致动脉硬化引发的血压升高。这类高血压患者在改善生活习惯后,药物治疗效果往往不错。而继发性高血压是继发于多种疾病,通过神经体液因素引发血压升高,比如肾动脉狭窄、肾上腺腺瘤。这类高血压患者由于干扰血压的病变持续存在,药物治疗效果差,往往需要手术解决原发疾病后血压才能恢复正常。
进行肾血管超声、肾上腺CT等检查目的就是为了除外肾源性在内的高血压继发因素。
而进行头CT检查,是由于该患者高血压出现头晕症状,须除外脑血管事件,比如脑梗死或脑出血。如果出现脑梗死,则更不可贸然降压,不然而会加重脑缺血。
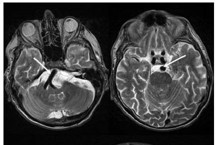
最终,住院检查提示肾上腺轻度增生,但并不能构成继发性高血压。但是,头CT结果却提示脑干部高密度影。

- 2.本以为发现了高血压的并发症,却找到了高血压病因
当我们认为该患者就是原发性高血压,并且找到了高血压的并发症时,进一步的核磁检查却*翻推**了我们的诊断。
高血压患者出现脑干高密度影,要首先除外高血压引发脑出血。我们立即对患者进行头颈血管核磁检查,以明确脑部血管病变。头颈血管核磁却提示,脑干部的高密度影并不是脑出血,而是椎基底动脉扩张,压迫脑干。
请神经科会诊,诊断为:椎基底动脉延长扩张综合征(VBD)。
(所椎基底动脉延长扩张综合征是一种少见且病因不清的椎基底动脉壁受累的疾病,动脉延长扩张继发邻近脑组织受压,部分患者由于脑干压迫,会神经发射性出现高血压。该病起病隐匿,并且研究相对较少,很容易漏诊。)
如此一来,患者脑部血管病变并不是高血压的“结果”,实际上却是高血压的“原因”。于是患者转入神经科进一步治疗。

二、医学越”进步“,检查越”过度“?
很多影视作品中,传统医学通过“望、闻、问、切”就能开方抓药,就能药到病除。但是,这仅仅是艺术加工。在当代医学检查及治疗的大发展的助力下,中国人平均寿命方从66岁(1980年)提高到77岁(2018年)。
可以见得,检查方法的进步直接导致疾病诊断效率的大幅提高,更好的“因病施治”。
毫不夸张的说,在椎基底动脉延长扩张综合征被明确之前,这类高血压患者都将进行单纯的药物治疗。而该疾病的各种并发症,诸如脑梗死或脑出血,都在悄无声息中威胁着人类健康,甚至发生猝死也无法发现真相。
三、我们为何需要更多、更先进的检查?
医学圈中有这样一句话,“医学只能治好90%的疾病”。看似先进的医学设备、看似发达的专业分工,其实并没有完全解开人类疾病之谜。
为了更好的探究疾病的根源,我们必须依靠各种检查一步步“抽丝剥茧”,但依然迫切需要更多“金标准”检查方法的出现,可随之而来的就是高昂的检查成本。
如何真正的消除患者对“进一步必须之检查”和“过度检查”的误解?既是对医学检查技术发展的考验,也是一个医学伦理的难题。

我是心血管内科张医生,如果喜欢我的科普文章,就请点赞吧!还可以转发这篇文章分享给身边有需要的朋友!关注我还可以看到更多心脏病的健康知识哦! #辟谣# #心血管疾病的真相#
(此处已添加医疗卡片,请到*今条头日**客户端查看)